Suppr超能文献

一名患有主动脉缩窄的小儿心脏移植受者的后部可逆性脑病综合征

Posterior reversible encephalopathy syndrome in a pediatric heart transplant recipient with coarctation of aorta.

作者信息

Das Bibhuti B, Ghaleb Stephanie, Moskowitz William, Arya Sandeep, Taylor Mary

机构信息

Department of Pediatrics, Division of Cardiology, University of Mississippi Medical Center, Jackson, MS, USA.

Department of Pediatrics, Division of Critical Care, University of Mississippi Medical Center, Jackson, MS, USA.

出版信息

Ann Pediatr Cardiol. 2022 Sep-Dec;15(5-6):518-522. doi: 10.4103/apc.apc_235_21. Epub 2023 Mar 1.

Abstract

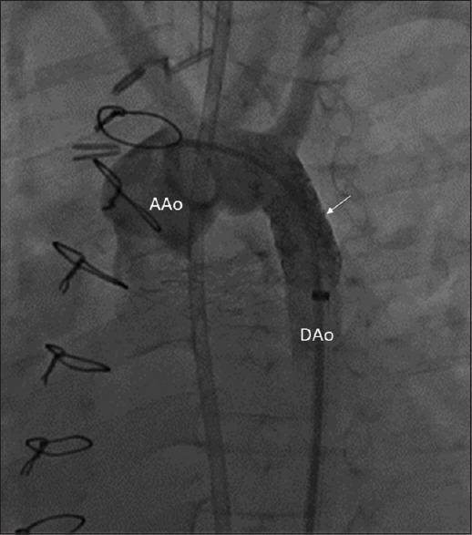
Posterior reversible encephalopathy syndrome (PRES) is a clinical-radiographic syndrome reported in children with hypertension due to renal diseases, immunosuppression after solid organ transplant, cytotoxic agents for chemotherapy, and many others rare instances. We described PRES in a 6-year-old child with hypertension secondary to an incidental postoperative coarctation of the aorta after heart transplantation (HT). Her blood pressure was well controlled with amlodipine during the outpatient visits and home monitoring of blood pressure, but she had hypertension when presented with neurological symptoms. This case's unique feature is that although PRES has been described after pediatric HT, this is the first case report due to a postoperative coarctation of the proximal descending aorta related to scarring from previous multiple sternotomies leading to inadvertent external compression of the aorta with scar tissue. We discussed the risk factors associated with hypertension before PRES and the correlation of brain magnetic resonance imaging findings with clinical outcomes.

摘要

后部可逆性脑病综合征(PRES)是一种临床影像学综合征,见于患有因肾脏疾病导致的高血压、实体器官移植后的免疫抑制、化疗用细胞毒性药物等情况的儿童,以及许多其他罕见病例。我们描述了一名6岁儿童,其在心脏移植(HT)后因偶然发生的主动脉缩窄而继发高血压,进而出现PRES。在门诊就诊以及家庭血压监测期间,她的血压通过氨氯地平得到了良好控制,但在出现神经症状时她患有高血压。该病例的独特之处在于,尽管PRES在小儿心脏移植后已有描述,但这是首例因先前多次胸骨切开术形成瘢痕,导致近端降主动脉术后缩窄,瘢痕组织意外对主动脉造成外部压迫而引发的病例报告。我们讨论了PRES发生前与高血压相关的危险因素,以及脑磁共振成像结果与临床结局的相关性。

https://cdn.ncbi.nlm.nih.gov/pmc/blobs/3160/10158466/c560642221f4/APC-15-518-g001.jpg

文献AI研究员

20分钟写一篇综述,助力文献阅读效率提升50倍。

立即体验

用中文搜PubMed

大模型驱动的PubMed中文搜索引擎

马上搜索

文档翻译

学术文献翻译模型,支持多种主流文档格式。

立即体验