Suppr超能文献

蛋白质丢失性肠病作为系统性红斑狼疮在斯里兰卡资源有限环境中的首发表现:一例报告

Protein-Losing Enteropathy as the First Presentation of Systemic Lupus Erythematosus in a Resource-Limited Setting in Sri Lanka: A Case Report.

作者信息

Ramesh Ramanathan, Suganthan Navaneethakrishnan, Selvaratnam Gowry, Anushanth Uthayakumar, Vijitharan Vadivel

机构信息

Medicine, Teaching Hospital-Batticaloa, Batticaloa, LKA.

Medicine, University of Jaffna, Jaffna, LKA.

出版信息

Cureus. 2023 Mar 24;15(3):e36619. doi: 10.7759/cureus.36619. eCollection 2023 Mar.

Abstract

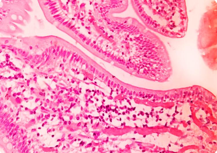
Protein-losing enteropathy (PLE) is one of the rare gastrointestinal manifestations of systemic lupus erythematosus (SLE), which can manifest several years before the diagnosis of SLE. PLE should be suspected in patients with hypoalbuminemia in the absence of urinary protein loss and normal liver functions without any other manifestations of malnutrition. Due to the non-specificity of the imaging and histological findings, it is difficult to diagnose PLE in resource-limited settings. Thus, it is underdiagnosed. We report the case of a 38-year-old Sri Lankan (South Asian) female who is a diagnosed patient with hypothyroidism and has presented with worsening generalized body swelling and ascites for two months. She had hypoalbuminemia without proteinuria. Thus, the clinical diagnosis of PLE was suspected. The diagnosis of SLE was suspected because of significant alopecia, high titer (1:1000) antinuclear antibody (ANA) positivity, and hypocomplementemia. Though confirmatory tests such as Tc-99 albumin scintigraphy and stool alpha-1 anti-trypsin were not available in our resource-limited setting, the diagnosis of the SLE-associated protein-losing enteropathy was made as the patient fulfilled the European Alliance of Associations for Rheumatology (EULAR) criteria for SLE and also by excluding all the other possible causes of PLE.

摘要

蛋白丢失性肠病(PLE)是系统性红斑狼疮(SLE)罕见的胃肠道表现之一,可在SLE诊断前数年出现。对于无尿蛋白丢失、肝功能正常且无其他营养不良表现的低白蛋白血症患者,应怀疑患有PLE。由于影像学和组织学检查结果缺乏特异性,在资源有限的环境中很难诊断PLE。因此,该病常常被漏诊。我们报告一例38岁的斯里兰卡(南亚)女性病例,该患者已确诊甲状腺功能减退,出现全身肿胀和腹水加重两个月。她有低白蛋白血症但无蛋白尿。因此,临床怀疑为PLE。由于严重脱发、高滴度(1:1000)抗核抗体(ANA)阳性和补体低下,怀疑患有SLE。尽管在我们资源有限的环境中无法进行Tc-99白蛋白闪烁扫描和粪便α-1抗胰蛋白酶等确诊检查,但由于该患者符合欧洲抗风湿病联盟(EULAR)SLE标准,且排除了PLE的所有其他可能病因,故诊断为SLE相关的蛋白丢失性肠病。

https://cdn.ncbi.nlm.nih.gov/pmc/blobs/766d/10122749/85de0b52f880/cureus-0015-00000036619-i01.jpg

文献AI研究员

20分钟写一篇综述,助力文献阅读效率提升50倍。

立即体验

用中文搜PubMed

大模型驱动的PubMed中文搜索引擎

马上搜索

文档翻译

学术文献翻译模型,支持多种主流文档格式。

立即体验