Suppr超能文献

靶向 MuSK 的 Ig 样 1 结构域的激动性抗体的开发和鉴定。

Development and characterization of agonistic antibodies targeting the Ig-like 1 domain of MuSK.

机构信息

Department of Human Genetics, Leiden University Medical Center, Einthovenweg 20, 2300 RC, Leiden, The Netherlands.

Department of Neurology, Leiden University Medical Center, Leiden, The Netherlands.

出版信息

Sci Rep. 2023 May 8;13(1):7478. doi: 10.1038/s41598-023-32641-1.

Abstract

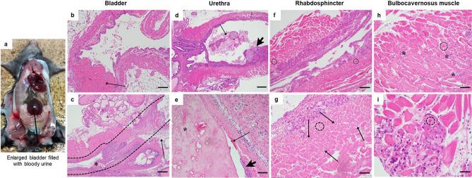
Muscle-specific kinase (MuSK) is crucial for acetylcholine receptor (AChR) clustering and thereby neuromuscular junction (NMJ) function. NMJ dysfunction is a hallmark of several neuromuscular diseases, including MuSK myasthenia gravis. Aiming to restore NMJ function, we generated several agonist monoclonal antibodies targeting the MuSK Ig-like 1 domain. These activated MuSK and induced AChR clustering in cultured myotubes. The most potent agonists partially rescued myasthenic effects of MuSK myasthenia gravis patient IgG autoantibodies in vitro. In an IgG4 passive transfer MuSK myasthenia model in NOD/SCID mice, MuSK agonists caused accelerated weight loss and no rescue of myasthenic features. The MuSK Ig-like 1 domain agonists unexpectedly caused sudden death in a large proportion of male C57BL/6 mice (but not female or NOD/SCID mice), likely caused by a urologic syndrome. In conclusion, these agonists rescued pathogenic effects in myasthenia models in vitro, but not in vivo. The sudden death in male mice of one of the tested mouse strains revealed an unexpected and unexplained role for MuSK outside skeletal muscle, thereby hampering further (pre-) clinical development of these clones. Future research should investigate whether other Ig-like 1 domain MuSK antibodies, binding different epitopes, do hold a safe therapeutic promise.

摘要

肌肉特异性激酶 (MuSK) 对于乙酰胆碱受体 (AChR) 的聚集以及神经肌肉接头 (NMJ) 的功能至关重要。NMJ 功能障碍是几种神经肌肉疾病的标志,包括 MuSK 型重症肌无力。为了恢复 NMJ 的功能,我们生成了几种针对 MuSK Ig 样 1 结构域的激动型单克隆抗体。这些抗体激活 MuSK 并诱导培养的肌管中 AChR 的聚集。最有效的激动剂部分挽救了 MuSK 型重症肌无力患者 IgG 自身抗体在体外的肌无力效应。在 NOD/SCID 小鼠的 IgG4 被动转移 MuSK 型重症肌无力模型中,MuSK 激动剂导致体重迅速减轻,而肌无力特征没有得到挽救。令人意外的是,MuSK Ig 样 1 结构域激动剂导致大部分雄性 C57BL/6 小鼠(而非雌性或 NOD/SCID 小鼠)突然死亡,可能是由于泌尿系统综合征所致。总之,这些激动剂在体外的重症肌无力模型中挽救了致病性效应,但在体内没有挽救。在一种被测试的小鼠品系中,其中一种激动剂导致雄性小鼠突然死亡,这揭示了 MuSK 在骨骼肌以外的器官中存在一种意想不到且尚未解释的作用,从而阻碍了这些克隆的进一步(临床前)开发。未来的研究应探讨其他结合不同表位的 MuSK Ig 样 1 结构域抗体是否具有安全的治疗前景。

https://cdn.ncbi.nlm.nih.gov/pmc/blobs/ec20/10167245/b5fda0f02acd/41598_2023_32641_Fig1_HTML.jpg

文献AI研究员

20分钟写一篇综述,助力文献阅读效率提升50倍。

立即体验

用中文搜PubMed

大模型驱动的PubMed中文搜索引擎

马上搜索

文档翻译

学术文献翻译模型,支持多种主流文档格式。

立即体验