• 文献检索
  • 文档翻译
  • 深度研究
  • 学术资讯
  • Suppr Zotero 插件Zotero 插件
  • 邀请有礼
  • 套餐&价格
  • 历史记录
应用&插件
Suppr Zotero 插件Zotero 插件浏览器插件Mac 客户端Windows 客户端微信小程序
定价
高级版会员购买积分包购买API积分包
服务
文献检索文档翻译深度研究API 文档MCP 服务
关于我们
关于 Suppr公司介绍联系我们用户协议隐私条款
关注我们

Suppr 超能文献

核心技术专利:CN118964589B侵权必究
粤ICP备2023148730 号-1Suppr @ 2026

文献检索

告别复杂PubMed语法,用中文像聊天一样搜索,搜遍4000万医学文献。AI智能推荐,让科研检索更轻松。

立即免费搜索

文件翻译

保留排版,准确专业,支持PDF/Word/PPT等文件格式,支持 12+语言互译。

免费翻译文档

深度研究

AI帮你快速写综述,25分钟生成高质量综述,智能提取关键信息,辅助科研写作。

立即免费体验

采用多参数眼眶磁共振成像(MRI)评估格雷夫斯眼眶病的活动度。

Evaluation of activity of Graves' orbitopathy with multiparameter orbital magnetic resonance imaging (MRI).

作者信息

Cheng Jingyi, Zhang Xiuying, Lian Jianxiu, Piao Zhenyu, Zhou Lingli, Gou Xinyi, Chen Chuhan, Chen Lei, Jiang Ke, Cheng Jin, Ji Linong, Hong Nan

机构信息

Department of Radiology, Peking University People's Hospital, Beijing, China.

Department of Endocrinology, Peking University People's Hospital, Beijing, China.

出版信息

Quant Imaging Med Surg. 2023 May 1;13(5):3040-3049. doi: 10.21037/qims-22-814. Epub 2023 Feb 6.

DOI:10.21037/qims-22-814
PMID:37179934
原文链接:https://pmc.ncbi.nlm.nih.gov/articles/PMC10167472/
Abstract

BACKGROUND

When quantitative magnetic resonance imaging (MRI) is used to assess the activity of Graves' orbitopathy (GO), the examination is generally focused on a specific orbital tissue, especially the extraocular muscles (EOMs). However, GO usually involves the entire intraorbital soft tissue. The aim of this study was to use multiparameter MRI on multiple orbital tissues to distinguish the active and inactive GO.

METHODS

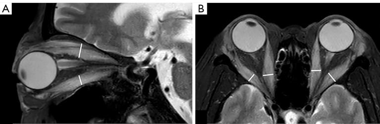
From May 2021 to March 2022, consecutive patients with GO were prospectively enrolled at Peking University People's Hospital (Beijing, China) and divided into those with active disease and those with inactive disease based on a clinical activity score. Patients then underwent MRI, including sequences of conventional imaging, T1 mapping, T2 mapping, and mDIXON Quant. Width, T2 signal intensity ratio (SIR), T1 values, T2 values, and fat fraction of EOMs, as well as water fraction (WF) of orbital fat (OF), were measured. Parameters were compared between the 2 groups, and a combined diagnostic model was constructed using logistic regression analysis. Receiver operating characteristic analysis was used to test the diagnostic performance of the model.

RESULTS

Sixty-eight patients with GO (27 with active GO, 41 with inactive GO) were included in the study. The active GO group had higher values of EOM thickness, T2 SIR, and T2 values, as well as higher WF of OF. The diagnostic model, which included EOM T2 value and WF of OF, demonstrated a good ability to distinguish between active and inactive GO (area under the curve, 0.878; 95% CI: 0.776-0.945; sensitivity, 88.89%; specificity, 75.61%).

CONCLUSIONS

A combined model incorporating the T2 value of EOMs and the WF of OF was able to identify cases of active GO, potentially offering an effective and noninvasive method to assess pathological changes in this disease.

摘要

背景

当使用定量磁共振成像(MRI)评估格雷夫斯眼眶病(GO)的活动情况时,检查通常聚焦于特定的眼眶组织,尤其是眼外肌(EOMs)。然而,GO通常累及整个眶内软组织。本研究的目的是利用多参数MRI对多个眼眶组织进行检查,以区分活动期和非活动期GO。

方法

2021年5月至2022年3月,北京大学人民医院(中国北京)前瞻性纳入连续的GO患者,并根据临床活动评分将其分为活动期疾病组和非活动期疾病组。患者随后接受MRI检查,包括传统成像序列、T1 mapping、T2 mapping和mDIXON Quant。测量EOMs的宽度、T2信号强度比(SIR)、T1值、T2值和脂肪分数,以及眶脂肪(OF)的水分数(WF)。比较两组之间的参数,并使用逻辑回归分析构建联合诊断模型。采用受试者工作特征分析来检验模型的诊断性能。

结果

本研究纳入了68例GO患者(27例活动期GO,41例非活动期GO)。活动期GO组的EOM厚度、T2 SIR和T2值以及OF的WF值较高。包含EOM T2值和OF的WF的诊断模型显示出良好的区分活动期和非活动期GO的能力(曲线下面积,0.878;95%CI:0.776-0.945;敏感性,88.89%;特异性,75.61%)。

结论

结合EOMs的T2值和OF的WF值的联合模型能够识别活动期GO病例,可能提供一种有效且无创的方法来评估该疾病的病理变化。

https://cdn.ncbi.nlm.nih.gov/pmc/blobs/b461/10167472/f5f63f1978e2/qims-13-05-3040-f4.jpg
https://cdn.ncbi.nlm.nih.gov/pmc/blobs/b461/10167472/aacf60660878/qims-13-05-3040-f1.jpg
https://cdn.ncbi.nlm.nih.gov/pmc/blobs/b461/10167472/781da8c0d7b3/qims-13-05-3040-f2.jpg
https://cdn.ncbi.nlm.nih.gov/pmc/blobs/b461/10167472/21cb2aa008ec/qims-13-05-3040-f3.jpg
https://cdn.ncbi.nlm.nih.gov/pmc/blobs/b461/10167472/f5f63f1978e2/qims-13-05-3040-f4.jpg
https://cdn.ncbi.nlm.nih.gov/pmc/blobs/b461/10167472/aacf60660878/qims-13-05-3040-f1.jpg
https://cdn.ncbi.nlm.nih.gov/pmc/blobs/b461/10167472/781da8c0d7b3/qims-13-05-3040-f2.jpg
https://cdn.ncbi.nlm.nih.gov/pmc/blobs/b461/10167472/21cb2aa008ec/qims-13-05-3040-f3.jpg
https://cdn.ncbi.nlm.nih.gov/pmc/blobs/b461/10167472/f5f63f1978e2/qims-13-05-3040-f4.jpg

相似文献

1
Evaluation of activity of Graves' orbitopathy with multiparameter orbital magnetic resonance imaging (MRI).采用多参数眼眶磁共振成像(MRI)评估格雷夫斯眼眶病的活动度。
Quant Imaging Med Surg. 2023 May 1;13(5):3040-3049. doi: 10.21037/qims-22-814. Epub 2023 Feb 6.
2
Quantitative assessment of extraocular muscles in Graves' ophthalmopathy using T1 mapping.使用T1映射对格雷夫斯眼病的眼外肌进行定量评估。
Eur Radiol. 2023 Dec;33(12):9074-9083. doi: 10.1007/s00330-023-09931-3. Epub 2023 Jul 19.
3
Dixon MRI-based quantitative parameters of extraocular muscles, intraorbital fat, and lacrimal glands for staging thyroid-associated ophthalmopathy.基于狄克逊MRI的眼外肌、眶内脂肪和泪腺定量参数用于甲状腺相关性眼病的分期
Insights Imaging. 2024 Jun 9;15(1):136. doi: 10.1186/s13244-024-01693-w.
4
Application of Multiparameter Quantitative Magnetic Resonance Imaging in the Evaluation of Graves' Ophthalmopathy.多参数定量磁共振成像在 Graves 眼病评估中的应用。
J Magn Reson Imaging. 2023 Oct;58(4):1279-1289. doi: 10.1002/jmri.28642. Epub 2023 Feb 13.
5
[Short-tau inversion-recovery (STIR) sequence magnetic resonance imaging evaluation of orbital structures in Graves' orbitopathy].[短tau反转恢复(STIR)序列磁共振成像对格雷夫斯眼眶病眼眶结构的评估]
Arch Soc Esp Oftalmol. 2011 Nov;86(11):351-7. doi: 10.1016/j.oftal.2011.06.010. Epub 2011 Sep 9.
6
Correlation of signal intensity ratio on orbital MRI-TIRM and clinical activity score as a possible predictor of therapy response in Graves' orbitopathy--a pilot study at 1.5 T.眼眶 MRI-TIRM 上的信号强度比值与临床活动评分的相关性作为格雷夫斯眼病治疗反应的可能预测指标——1.5T 的初步研究
Neuroradiology. 2010 Feb;52(2):91-7. doi: 10.1007/s00234-009-0590-z. Epub 2009 Sep 15.
7
Imaging of disease activity in Graves' orbitopathy with different methods: comparison of (99m)Tc-DTPA and (99m)Tc-depreotide single photon emission tomography, magnetic resonance imaging and clinical activity scores.采用不同方法对格雷夫斯眼眶病疾病活动度进行成像:(99m)锝-二乙三胺五乙酸和(99m)锝-去铁草胺单光子发射断层扫描、磁共振成像及临床活动度评分的比较
Nucl Med Commun. 2005 May;26(5):407-14. doi: 10.1097/00006231-200505000-00003.
8
The usefulness of quantitative orbital magnetic resonance imaging in Graves' ophthalmopathy.定量眼眶磁共振成像在格雷夫斯眼病中的应用价值。
Clin Endocrinol (Oxf). 2001 Feb;54(2):205-9. doi: 10.1046/j.1365-2265.2001.01220.x.
9
Usefulness of two-point Dixon T2-weighted imaging in thyroid-associated ophthalmopathy: comparison with conventional fat saturation imaging in fat suppression quality and staging performance.两点 Dixon T2 加权成像在甲状腺相关眼病中的应用:与常规脂肪抑制成像在脂肪抑制质量和分期性能方面的比较。
Br J Radiol. 2021 Feb 1;94(1118):20200884. doi: 10.1259/bjr.20200884. Epub 2020 Dec 22.
10
Utility of multi-parametric quantitative magnetic resonance imaging of the lacrimal gland for diagnosing and staging Graves' ophthalmopathy.泪腺多参数定量磁共振成像在格雷夫斯眼病诊断及分期中的应用价值
Eur J Radiol. 2021 Aug;141:109815. doi: 10.1016/j.ejrad.2021.109815. Epub 2021 Jun 8.

引用本文的文献

1
Effectiveness of intravenous glucocorticoids in active thyroid eye disease patients with low clinical activity scores.静脉注射糖皮质激素对临床活动评分低的活动性甲状腺眼病患者的疗效。
Endocrine. 2025 Jul 24. doi: 10.1007/s12020-025-04367-9.
2
The diagnostic performance comparison between T2 mapping and Dixon against the activity of thyroid-associated ophthalmopathy: a systematic review and meta-analysis.T2 映射与 Dixon 成像在甲状腺相关眼病活动度诊断效能上的比较:一项系统评价与荟萃分析
Front Endocrinol (Lausanne). 2024 Dec 12;15:1502296. doi: 10.3389/fendo.2024.1502296. eCollection 2024.
3
The value of signal intensity ratios of orbital tissue to white matter of orbital MRI in evaluating graves' orbitopathy.
眼眶MRI中眼眶组织与白质的信号强度比值在评估格雷夫斯眼眶病中的价值。
Int Ophthalmol. 2024 Dec 17;45(1):14. doi: 10.1007/s10792-024-03385-2.
4
Whole-orbit-based multiparametric assessment of disease activity of thyroid eye disease on Dixon MRI.基于全眼眶的多参数评估狄克逊 MRI 甲状腺眼病的疾病活动度。
Int Ophthalmol. 2024 May 3;44(1):213. doi: 10.1007/s10792-024-03138-1.