Suppr超能文献

与椎动脉夹层相关的颅外可逆性脑血管收缩综合征:一例报告。

Extracranial reversible cerebral vasoconstriction syndrome associated with vertebral artery dissection: A case report.

作者信息

Yoon Miyeon, Kim Taewon

机构信息

Department of Neurology, Incheon St. Mary's Hospital, The Catholic University of Korea, Incheon, Korea.

出版信息

Brain Circ. 2022 Dec 6;8(4):222-224. doi: 10.4103/bc.bc_58_22. eCollection 2022 Oct-Dec.

Abstract

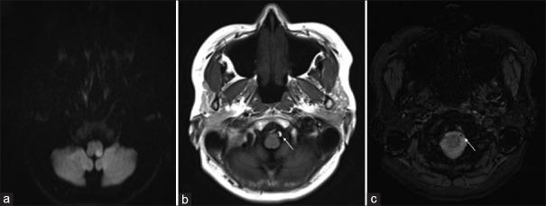
In the present vignette, we describe a lateral medullary infarction developed immediately after strenuous straining owing to constipation in a 42-year-old female. There was a dissection in left vertebral artery V4 segment. Computed tomography (CT) angiography revealed beaded appearance of cervical V2 and V3 segments of bilateral vertebral arteries. A follow-up CT angiogram performed about 3 months later showed resolution of vasoconstriction and normalization of vertebral arteries. Reversible cerebral vasoconstriction syndrome (RCVS) is usually known as an intracranial pathologic condition. Extracranial RCVS is very rare. Therefore, the diagnosis of RCVS could be challenging when its location is extracranial, particularly when comingling vertebral artery dissection (VAD) is present because of their similar vascular luminal morphology. Physician should be vigilant about the possibility of a concomitant presence of RCVS and VAD, even in extracranial vessels.

摘要

在本病例中,我们描述了一名42岁女性因便秘用力排便后立即发生的延髓外侧梗死。左椎动脉V4段存在夹层。计算机断层扫描(CT)血管造影显示双侧椎动脉颈段V2和V3段呈串珠样改变。约3个月后进行的随访CT血管造影显示血管收缩消失,椎动脉恢复正常。可逆性脑血管收缩综合征(RCVS)通常被认为是一种颅内病理状态。颅外RCVS非常罕见。因此,当RCVS位于颅外时,尤其是合并椎动脉夹层(VAD)时,由于它们相似的血管腔形态,RCVS的诊断可能具有挑战性。即使在颅外血管中,医生也应警惕RCVS和VAD同时存在的可能性。

https://cdn.ncbi.nlm.nih.gov/pmc/blobs/c882/10167846/b665dcf53c69/BC-8-222-g001.jpg

相似文献

1
Extracranial reversible cerebral vasoconstriction syndrome associated with vertebral artery dissection: A case report.
Brain Circ. 2022 Dec 6;8(4):222-224. doi: 10.4103/bc.bc_58_22. eCollection 2022 Oct-Dec.
3
Reversible cerebral vasoconstriction syndrome with multivessel cervical artery dissections and a double aortic arch.
J Stroke Cerebrovasc Dis. 2014 Feb;23(2):e141-3. doi: 10.1016/j.jstrokecerebrovasdis.2013.08.013. Epub 2013 Oct 6.
5
Pediatric Case of Life-Threatening Stroke Caused by Reversible Cerebral Vasoconstriction Syndrome with Spontaneous Cervical Internal Carotid Artery Vasospasm: A Case Report.
J Stroke Cerebrovasc Dis. 2021 Oct;30(10):106036. doi: 10.1016/j.jstrokecerebrovasdis.2021.106036. Epub 2021 Aug 12.
8
Reversible cerebral vasoconstriction syndrome and bilateral vertebral artery dissection presenting in a patient after cesarean section.
J Neurointerv Surg. 2014 Jan;6(1):e5. doi: 10.1136/neurintsurg-2012-010521.rep. Epub 2013 Feb 5.
9
Reversible Cerebral Vasoconstriction Syndrome Following Exposure to Oleoresin Capsicum "Pepper Spray".
J Stroke Cerebrovasc Dis. 2021 Oct;30(10):106006. doi: 10.1016/j.jstrokecerebrovasdis.2021.106006. Epub 2021 Jul 26.
10
Reversible cerebral vasoconstriction syndrome and cervical artery dissection in 20 patients.
Neurology. 2013 Aug 27;81(9):821-4. doi: 10.1212/WNL.0b013e3182a2cbe2. Epub 2013 Jul 24.

引用本文的文献

文献AI研究员

20分钟写一篇综述,助力文献阅读效率提升50倍。

立即体验

用中文搜PubMed

大模型驱动的PubMed中文搜索引擎

马上搜索

文档翻译

学术文献翻译模型,支持多种主流文档格式。

立即体验