Suppr超能文献

《世界卫生组织血液淋巴系统肿瘤分类第5版——更新后的分类与新概念》中的大B细胞淋巴瘤

Large B-Cell Lymphomas in the 5th Edition of the WHO-Classification of Haematolymphoid Neoplasms-Updated Classification and New Concepts.

作者信息

Kurz Katrin S, Ott Michaela, Kalmbach Sabrina, Steinlein Sophia, Kalla Claudia, Horn Heike, Ott German, Staiger Annette M

机构信息

Department of Clinical Pathology, Robert-Bosch-Krankenhaus, 70376 Stuttgart, Germany.

Department of Pathology, Marienhospital, 70199 Stuttgart, Germany.

出版信息

Cancers (Basel). 2023 Apr 13;15(8):2285. doi: 10.3390/cancers15082285.

Abstract

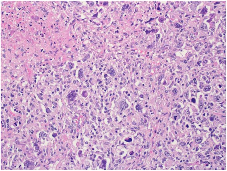
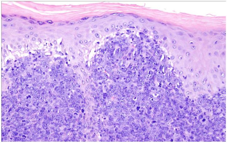
The family/class of the large B-cell lymphomas (LBCL) in the 5th edition of the World Health Organization (WHO) classification of haematolymphoid tumors (WHO-HAEM5) features only a few major changes as compared to the 4th edition. In most entities, there are only subtle changes, many of them only representing some minor modifications in diagnostic terms. Major changes have been made in the diffuse large B-cell lymphomas (DLBCL)/high-grade B-cell lymphomas (HGBL) associated with and and/or rearrangements. This category now consists of and rearranged cases exclusively, while the double hit lymphomas now constitute genetic subtypes of DLBCL, not otherwise specified (NOS) or of HGBL, NOS. Other major changes are the conceptual merger of lymphomas arising in immune-privileged sites and the description of LBCL arising in the setting of immune dysregulation/deficiency. In addition, novel findings concerning underlying biological mechanisms in the pathogenesis of the different entities are provided.

摘要

在世界卫生组织(WHO)血液淋巴系统肿瘤分类第5版(WHO-HAEM5)中,大B细胞淋巴瘤(LBCL)家族/类别与第4版相比仅有一些主要变化。在大多数实体中,只有细微变化,其中许多仅代表诊断术语上的一些小修改。在与 和 以及/或者 重排相关的弥漫性大B细胞淋巴瘤(DLBCL)/高级别B细胞淋巴瘤(HGBL)方面有重大变化。这一类别现在仅由 和 重排的病例组成,而 双打击淋巴瘤现在构成DLBCL、未另行特别说明(NOS)或HGBL、NOS的基因亚型。其他主要变化包括免疫豁免部位发生的淋巴瘤在概念上的合并,以及免疫失调/缺陷情况下发生的LBCL的描述。此外,还提供了关于不同实体发病机制中潜在生物学机制的新发现。

https://cdn.ncbi.nlm.nih.gov/pmc/blobs/bdcf/10137297/8292a33e9203/cancers-15-02285-g001.jpg

文献检索

告别复杂PubMed语法,用中文像聊天一样搜索,搜遍4000万医学文献。AI智能推荐,让科研检索更轻松。

立即免费搜索

文件翻译

保留排版,准确专业,支持PDF/Word/PPT等文件格式,支持 12+语言互译。

免费翻译文档

深度研究

AI帮你快速写综述,25分钟生成高质量综述,智能提取关键信息,辅助科研写作。

立即免费体验