Suppr超能文献

不稳定 C1 骨折伴侧块受累的治疗:后路 C1-C2 螺钉-棒固定融合术。

Management of Unstable C1 Fractures Involving the Lateral Mass: Posterior C1-C2 Screw-Rod Fixation and Fusion.

机构信息

Department of Orthopedics, General Hospital of Southern Theatre Command of People's Liberation Army (PLA), Guangzhou, Guangdong, China (mainland).

出版信息

Med Sci Monit. 2023 May 17;29:e938600. doi: 10.12659/MSM.938600.

Abstract

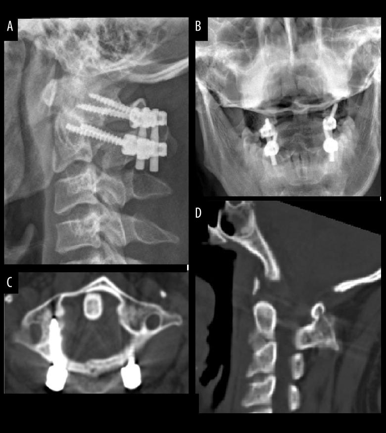
BACKGROUND Although most unstable C1 fractures can be effectively treated either by conservative treatment with external immobilization or by surgical procedure of C1-ring osteosynthesis, those fractures involving the lateral mass are likely to lead to traumatic arthritis and persistent neck pain. Specific reports of treatment of unstable C1 fractures involving the lateral mass are still scarce. We therefore present this report to evaluate the effectiveness of posterior C1-C2 screw-rod fixation and fusion for unstable C1 fractures involving the lateral mass. MATERIAL AND METHODS From June 2009 to June 2016 in our hospital, 16 cases were diagnosed with C1 fractures involving the lateral mass and treated by posterior C1-C2 screw-rod fixation and fusion from June 2009 to June 2016. The patients' clinical data were retrospectively analyzed. Preoperative and postoperative images were taken to evaluate cervical sequence, location of screws, and bone fusion. Neurological status and neck pain levels were evaluated clinically on follow-up. RESULTS All patients underwent surgery successfully. The mean follow-up duration was 15.3±4.9 months (range 9-24 months). All patients obtained satisfying clinical outcomes with good neck pain alleviation, appropriate screw placement, and reliable bone fusion. None of the patients developed vascular or neurological complications during the operation or follow-up. CONCLUSIONS Posterior C1-C2 screw-rod fixation and fusion is an effective management for unstable C1 fractures involving the lateral mass. This operation can provide reliable stabilization and satisfactory bone fusion.

摘要

背景

虽然大多数不稳定的 C1 骨折可以通过保守治疗(外部固定)或 C1 环骨合成术进行有效治疗,但涉及侧块的骨折可能导致创伤性关节炎和持续的颈部疼痛。涉及侧块的不稳定 C1 骨折的具体治疗报告仍然很少。因此,我们报告了评估后路 C1-C2 螺钉-棒固定和融合治疗涉及侧块的不稳定 C1 骨折的疗效。

材料和方法

在我们医院,自 2009 年 6 月至 2016 年 6 月,16 例诊断为涉及侧块的 C1 骨折患者,采用后路 C1-C2 螺钉-棒固定和融合治疗。回顾性分析患者的临床资料。拍摄术前和术后图像以评估颈椎序列、螺钉位置和骨融合情况。在随访时对神经状态和颈部疼痛水平进行临床评估。

结果

所有患者均成功接受手术。平均随访时间为 15.3±4.9 个月(范围 9-24 个月)。所有患者均获得了满意的临床结果,颈痛缓解良好,螺钉放置适当,骨融合可靠。在手术和随访期间,没有患者发生血管或神经并发症。

结论

后路 C1-C2 螺钉-棒固定和融合是治疗涉及侧块的不稳定 C1 骨折的有效方法。这种手术可以提供可靠的稳定性和满意的骨融合。

https://cdn.ncbi.nlm.nih.gov/pmc/blobs/7ba1/10201994/1d52af926fa5/medscimonit-29-e938600-g001.jpg

文献AI研究员

20分钟写一篇综述,助力文献阅读效率提升50倍。

立即体验

用中文搜PubMed

大模型驱动的PubMed中文搜索引擎

马上搜索

文档翻译

学术文献翻译模型,支持多种主流文档格式。

立即体验