Rehman Sara, Naveed Muhammad Atif
Department of Radiology, Shaukat Khanum Memorial Cancer Hospital and Research Centre, Lahore, Pakistan.
J Cancer Allied Spec. 2020 Jan 5;6(1):307. doi: 10.37029/jcas.v6i1.307. eCollection 2020.
Breast cancer is the most common malignancy in women. It frequently metastasizes to bones, lungs and liver. Although rare, skin metastasis may also take place. It may also be the presenting feature of initial or recurrent breast cancer. The assessment of recurrent metastatic disease involving skin after mastectomy can be challenging because of the benign-appearing clinical presentation. The purpose of this case series was to explore the clinical and radiological presentation of skin metastasis in patients of breast cancer.
This is a retrospective case series of breast cancer patients with skin lesions on chest and abdomen at the time of initial presentation, or post-treatment such as, after mastectomy or breast conservation therapy; who underwent various radiological investigations including mammography, ultrasound scan, computed tomography (CT) scan and magnetic resonance imaging from 1 May 2018 to 30 September 2019 at Shaukat Khanum Memorial Cancer Hospital and Research Centre, Pakistan.
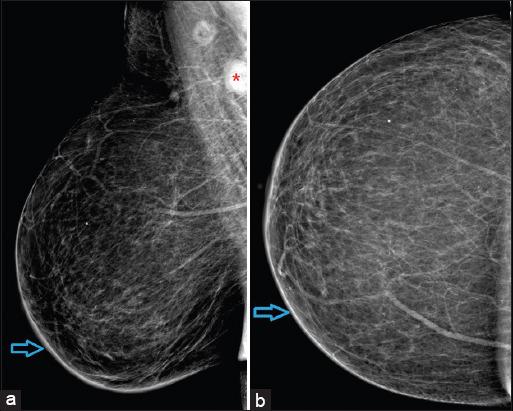
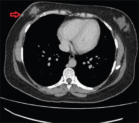
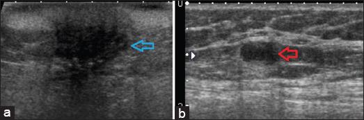
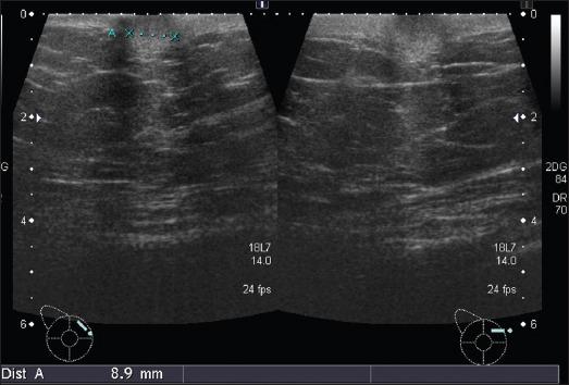
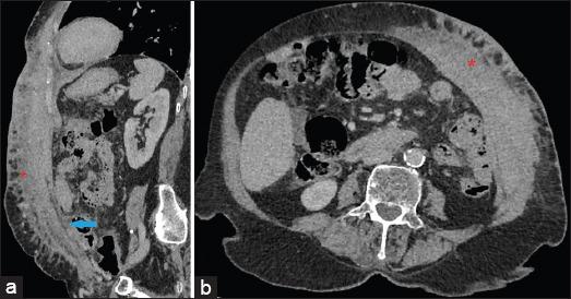
A total of eight cases were identified, out of which seven were females. The most common presentation consisted of the presence of metastatic nodules which were seen in 62.5% (five out of eight) of the patients. Other features consisted of erythematous or plaque-like skin thickening on clinical examination, increased density with indistinct margins seen on a mammogram and diffuse oedematous changes in the skin with small irregular mass or infiltration into subcutaneous tissues were visualised on ultrasound and CT studies.
Skin metastasis from breast cancer most commonly presents as nodules, although rarely they may present as plaques or diffuse skin thickening. Awareness of diverse manifestations of skin metastasis is of utmost importance in early diagnosis and management.
乳腺癌是女性最常见的恶性肿瘤。它常转移至骨骼、肺和肝脏。虽然罕见,但皮肤转移也可能发生。它也可能是原发性或复发性乳腺癌的首发特征。由于临床表现看似良性,对乳房切除术后涉及皮肤的复发性转移性疾病进行评估可能具有挑战性。本病例系列的目的是探讨乳腺癌患者皮肤转移的临床和影像学表现。
这是一项回顾性病例系列研究,研究对象为在初次就诊时或在乳房切除术或保乳治疗等治疗后胸部和腹部有皮肤病变的乳腺癌患者;这些患者于2018年5月1日至2019年9月30日在巴基斯坦沙卡特汗姆纪念癌症医院和研究中心接受了包括乳腺X线摄影、超声扫描、计算机断层扫描(CT)和磁共振成像在内的各种影像学检查。
共确定了8例病例,其中7例为女性。最常见的表现为转移性结节,见于62.5%(8例中的5例)的患者。其他特征包括临床检查时出现红斑或斑块样皮肤增厚、乳腺X线摄影显示密度增加且边缘不清、超声和CT检查显示皮肤弥漫性水肿改变伴小的不规则肿块或浸润至皮下组织。
乳腺癌的皮肤转移最常见表现为结节,尽管很少表现为斑块或弥漫性皮肤增厚。认识皮肤转移的多种表现对于早期诊断和治疗至关重要。