• 文献检索
  • 文档翻译
  • 深度研究
  • 学术资讯
  • Suppr Zotero 插件Zotero 插件
  • 邀请有礼
  • 套餐&价格
  • 历史记录
应用&插件
Suppr Zotero 插件Zotero 插件浏览器插件Mac 客户端Windows 客户端微信小程序
定价
高级版会员购买积分包购买API积分包
服务
文献检索文档翻译深度研究API 文档MCP 服务
关于我们
关于 Suppr公司介绍联系我们用户协议隐私条款
关注我们

Suppr 超能文献

核心技术专利:CN118964589B侵权必究
粤ICP备2023148730 号-1Suppr @ 2026

文献检索

告别复杂PubMed语法,用中文像聊天一样搜索,搜遍4000万医学文献。AI智能推荐,让科研检索更轻松。

立即免费搜索

文件翻译

保留排版,准确专业,支持PDF/Word/PPT等文件格式,支持 12+语言互译。

免费翻译文档

深度研究

AI帮你快速写综述,25分钟生成高质量综述,智能提取关键信息,辅助科研写作。

立即免费体验

结节性基底细胞癌综合征的 F-FDG PET/CT 表现:系统评价与 1 例新病例报告。

F-FDG PET/CT findings in nevoid basal cell carcinoma syndrome: a systematic review and a new case report.

机构信息

Department of PET/CT, Qingdao Central Hospital, No 127. SiLiu Nan Street, ShanDong Province, Qingdao City, 266042, China.

Department of Burn and Plastic Surgery, Qingdao Central Hospital, ShanDong Province, Qingdao, 266042, China.

出版信息

BMC Womens Health. 2024 May 28;24(1):310. doi: 10.1186/s12905-024-03145-5.

DOI:10.1186/s12905-024-03145-5
PMID:38802808
原文链接:https://pmc.ncbi.nlm.nih.gov/articles/PMC11131292/
Abstract

BACKGROUND

To demonstrate and analyze the F-FDG positron emission tomography/computed tomography (PET/CT) findings in this rare nevoid basal cell carcinoma syndrome (NBCCS).

CASE PRESENTATION

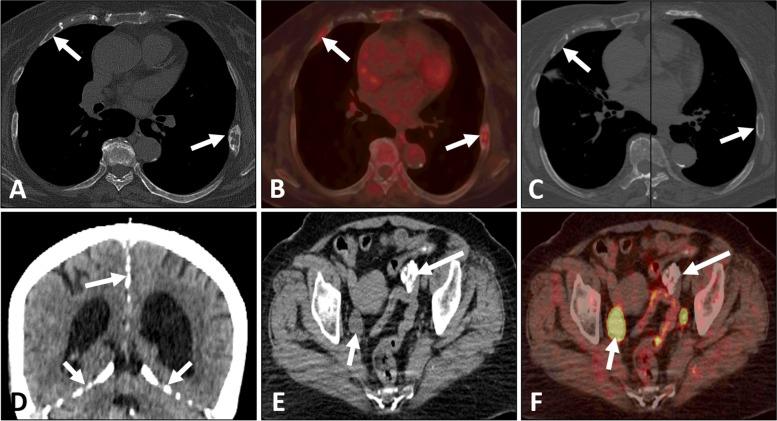
A 71-year-old woman with the left invasive breast cancer was treated with hormone therapy for six months and underwent the F-FDG PET/CT examination for efficacy evaluation. F-FDG PET/CT revealed the improvement after treatment and other unexpected findings, including multiple nodules on the skin with F-FDG uptake, bone expansion of cystic lesions in the bilateral ribs, ectopic calcifications and dilated right ureter. She had no known family history. Then, the patient underwent surgical excision of the all skin nodules and the postoperative pathology were multiple basal cell carcinomas. Finally, the comprehensive diagnosis of NBCCS was made. The patient was still in follow-up. Additionally, we have summarized the reported cases (n = 3) with F-FDG PET/CT from the literature.

CONCLUSIONS

It is important to recognize this syndrome on F-FDG PET/CT because of different diagnoses and therapeutic consequences.

摘要

背景

为了展示和分析这种罕见的痣样基底细胞癌综合征(NBCCS)的 F-FDG 正电子发射断层扫描/计算机断层扫描(PET/CT)表现。

病例介绍

一名 71 岁女性患有左侧浸润性乳腺癌,接受了六个月的激素治疗,并进行了 F-FDG PET/CT 检查以评估疗效。F-FDG PET/CT 显示治疗后有所改善,同时还发现了其他意外发现,包括皮肤多处结节伴有 F-FDG 摄取、双侧肋骨囊性病变的骨膨胀、异位钙化和右侧输尿管扩张。患者无已知家族史。随后,患者接受了所有皮肤结节的手术切除,术后病理为多发性基底细胞癌。最终,综合诊断为 NBCCS。患者仍在随访中。此外,我们还总结了文献中报道的 3 例(n=3)伴有 F-FDG PET/CT 的病例。

结论

在 F-FDG PET/CT 上识别出这种综合征很重要,因为它会导致不同的诊断和治疗后果。

https://cdn.ncbi.nlm.nih.gov/pmc/blobs/d874/11131292/8cd1604ebb5c/12905_2024_3145_Fig4_HTML.jpg
https://cdn.ncbi.nlm.nih.gov/pmc/blobs/d874/11131292/562f8bab2699/12905_2024_3145_Fig1_HTML.jpg
https://cdn.ncbi.nlm.nih.gov/pmc/blobs/d874/11131292/cf7d98e68be0/12905_2024_3145_Fig2_HTML.jpg
https://cdn.ncbi.nlm.nih.gov/pmc/blobs/d874/11131292/6c8bc5444ab9/12905_2024_3145_Fig3_HTML.jpg
https://cdn.ncbi.nlm.nih.gov/pmc/blobs/d874/11131292/8cd1604ebb5c/12905_2024_3145_Fig4_HTML.jpg
https://cdn.ncbi.nlm.nih.gov/pmc/blobs/d874/11131292/562f8bab2699/12905_2024_3145_Fig1_HTML.jpg
https://cdn.ncbi.nlm.nih.gov/pmc/blobs/d874/11131292/cf7d98e68be0/12905_2024_3145_Fig2_HTML.jpg
https://cdn.ncbi.nlm.nih.gov/pmc/blobs/d874/11131292/6c8bc5444ab9/12905_2024_3145_Fig3_HTML.jpg
https://cdn.ncbi.nlm.nih.gov/pmc/blobs/d874/11131292/8cd1604ebb5c/12905_2024_3145_Fig4_HTML.jpg

相似文献

1
F-FDG PET/CT findings in nevoid basal cell carcinoma syndrome: a systematic review and a new case report.结节性基底细胞癌综合征的 F-FDG PET/CT 表现:系统评价与 1 例新病例报告。
BMC Womens Health. 2024 May 28;24(1):310. doi: 10.1186/s12905-024-03145-5.
2
More advantages in detecting bone and soft tissue metastases from prostate cancer using F-PSMA PET/CT.使用F-PSMA PET/CT检测前列腺癌骨和软组织转移方面有更多优势。
Hell J Nucl Med. 2019 Jan-Apr;22(1):6-9. doi: 10.1967/s002449910952. Epub 2019 Mar 7.
3
F-FES PET/CT Influences the Staging and Management of Patients with Newly Diagnosed Estrogen Receptor-Positive Breast Cancer: A Retrospective Comparative Study with F-FDG PET/CT.F-FES PET/CT 对新诊断雌激素受体阳性乳腺癌患者分期和管理的影响:与 F-FDG PET/CT 的回顾性对比研究。
Oncologist. 2019 Dec;24(12):e1277-e1285. doi: 10.1634/theoncologist.2019-0096. Epub 2019 Jul 23.
4
Comparison of F-fluorothymidine Positron Emission Tomography/Computed Tomography and F-fluorodeoxyglucose Positron Emission Tomography/Computed Tomography in Patients with Breast Cancer.氟代胸苷正电子发射断层扫描/计算机断层扫描与氟代脱氧葡萄糖正电子发射断层扫描/计算机断层扫描在乳腺癌患者中的比较。
Tomography. 2022 Oct 11;8(5):2533-2546. doi: 10.3390/tomography8050211.
5
Complete metabolic response to therapy of hepatic epithelioid hemangioendothelioma evaluated with 18F-fluorodeoxyglucose positron emission tomography/contrast-enhanced computed tomography: A CARE case report.采用18F-氟脱氧葡萄糖正电子发射断层扫描/对比增强计算机断层扫描评估肝上皮样血管内皮瘤治疗的完全代谢反应:一份CARE病例报告
Medicine (Baltimore). 2018 Oct;97(42):e12795. doi: 10.1097/MD.0000000000012795.
6
The correlation of F-FDG PET/CT metabolic parameters, clinicopathological factors, and prognosis in breast cancer.乳腺癌中 F-FDG PET/CT 代谢参数与临床病理因素及预后的相关性。
Clin Transl Oncol. 2021 Mar;23(3):620-627. doi: 10.1007/s12094-020-02457-w. Epub 2020 Jul 18.
7
F-fluorodeoxyglucose-positron emission tomography is more sensitive than computed tomography in initial staging of patients with an anaplastic T-cell lymphoma first presenting in the skin.在初发于皮肤的间变性T细胞淋巴瘤患者的初始分期中,氟脱氧葡萄糖正电子发射断层扫描比计算机断层扫描更敏感。
Eur J Dermatol. 2017 Oct 1;27(5):496-504. doi: 10.1684/ejd.2017.3083.
8
Factors affecting the accuracy of F-FDG PET/CT in evaluating axillary metastases in invasive breast cancer.影响F-FDG PET/CT评估浸润性乳腺癌腋窝转移准确性的因素。
Niger J Clin Pract. 2019 Jan;22(1):63-68. doi: 10.4103/njcp.njcp_198_18.
9
Role of F-fluoro-2-deoxyglucose positron emission tomography/computed tomography (18F-FDG PET/CT) in malignant ovarian germ cell tumors: a single-center experience with long term follow-up.F-氟代-2-脱氧葡萄糖正电子发射断层扫描/计算机断层扫描(18F-FDG PET/CT)在恶性卵巢生殖细胞肿瘤中的作用:一项具有长期随访的单中心经验。
Int J Gynecol Cancer. 2019 Oct;29(8):1298-1303. doi: 10.1136/ijgc-2019-000586. Epub 2019 Jul 30.
10
Bone metastases with "false negative" findings on 18F-FDG PET/CT in patients with angiosarcoma: A case series with literature review.骨转移患者 18F-FDG PET/CT 检查结果呈“假阴性”:病例系列及文献复习。
Medicine (Baltimore). 2023 Jul 14;102(28):e34196. doi: 10.1097/MD.0000000000034196.

本文引用的文献

1
Skin Metastasis in Breast Cancer Patients; a Case Series.乳腺癌患者的皮肤转移;病例系列
J Cancer Allied Spec. 2020 Jan 5;6(1):307. doi: 10.37029/jcas.v6i1.307. eCollection 2020.
2
18F-FDG PET-CT in Cutaneous Metastases in Breast Carcinoma: An unusual presentation.18F-FDG PET-CT 在乳腺癌皮肤转移中的应用:一种不常见的表现。
J Pak Med Assoc. 2023 Feb;73(1(B)):433-434. doi: 10.47391/JPMA.14-23.
3
A rare case of cardiac fibroma diagnosis in Gorlin-Goltz syndrome with information on management.戈林-高茨综合征合并心脏纤维瘤 1 例诊治分析
Future Cardiol. 2022 Jul;18(7):561-567. doi: 10.2217/fca-2022-0013. Epub 2022 Jun 23.
4
Nivolumab Immunotherapy-Related Skin Reactions Detected on 18F-FDG PET/CT in Renal Cell Cancer.纳武利尤单抗免疫治疗相关皮肤反应在 18F-FDG PET/CT 检测中的肾细胞癌。
Clin Nucl Med. 2022 Jul 1;47(7):e513-e514. doi: 10.1097/RLU.0000000000004224. Epub 2022 Apr 20.
5
A Case of Gorlin-Goltz Syndrome Without the Characteristic Physical Features That Was Diagnosed After the Development of a Fifth Cancer.一例无典型体征的 Gorlin-Goltz 综合征,在第五种癌症发生后诊断。
J Pediatr Hematol Oncol. 2022 May 1;44(4):e869-e871. doi: 10.1097/MPH.0000000000002436. Epub 2022 Mar 1.
6
Gorlin-Goltz syndrome without cutaneous manifestations.无皮肤表现的戈林-戈尔茨综合征。
Pan Afr Med J. 2021 Aug 13;39:239. doi: 10.11604/pamj.2021.39.239.30886. eCollection 2021.
7
Basal cell nevus syndrome: an update on clinical findings.基底细胞痣综合征:临床发现的最新进展。
Int J Dermatol. 2022 Sep;61(9):1047-1055. doi: 10.1111/ijd.15884. Epub 2021 Sep 8.
8
A guideline for the clinical management of basal cell naevus syndrome (Gorlin-Goltz syndrome).《基底细胞痣综合征(痣样基底细胞癌综合征)临床管理指南》。
Br J Dermatol. 2022 Feb;186(2):215-226. doi: 10.1111/bjd.20700. Epub 2021 Nov 8.
9
Fluorine 18 Fluorodeoxyglucose PET/CT Findings in Gorlin-Goltz Syndrome.戈林-戈尔茨综合征的氟代脱氧葡萄糖氟-18正电子发射断层显像/计算机断层扫描(Fluorine 18 Fluorodeoxyglucose PET/CT)表现
Radiology. 2021 Aug;300(2):288. doi: 10.1148/radiol.2021204508. Epub 2021 Jun 8.
10
Gorlin-Goltz syndrome with familial manifestation.伴有家族性表现的戈林-戈尔茨综合征。
Biomed Pap Med Fac Univ Palacky Olomouc Czech Repub. 2022 Mar;166(1):112-116. doi: 10.5507/bp.2020.063. Epub 2021 Feb 4.