• 文献检索
  • 文档翻译
  • 深度研究
  • 学术资讯
  • Suppr Zotero 插件Zotero 插件
  • 邀请有礼
  • 套餐&价格
  • 历史记录
应用&插件
Suppr Zotero 插件Zotero 插件浏览器插件Mac 客户端Windows 客户端微信小程序
定价
高级版会员购买积分包购买API积分包
服务
文献检索文档翻译深度研究API 文档MCP 服务
关于我们
关于 Suppr公司介绍联系我们用户协议隐私条款
关注我们

Suppr 超能文献

核心技术专利:CN118964589B侵权必究
粤ICP备2023148730 号-1Suppr @ 2026

文献检索

告别复杂PubMed语法,用中文像聊天一样搜索,搜遍4000万医学文献。AI智能推荐,让科研检索更轻松。

立即免费搜索

文件翻译

保留排版,准确专业,支持PDF/Word/PPT等文件格式,支持 12+语言互译。

免费翻译文档

深度研究

AI帮你快速写综述,25分钟生成高质量综述,智能提取关键信息,辅助科研写作。

立即免费体验

伴有淋巴水肿的局灶性真皮发育不全:来自沙特阿拉伯的一例报告。

Focal Dermal Hypoplasia Associated With Lymphedema: A Case Report From Saudi Arabia.

作者信息

Bin Rubaian Nouf F, Alghamdi Nada, Alhaddad Bayan, AlJanobi Hawra, Alharbi Abdulmajeed S

机构信息

Department of Dermatology, College of Medicine, Imam Abdulrahman Bin Faisal University, Dammam, SAU.

Department of Dermatology, King Fahad University Hospital, Dammam, SAU.

出版信息

Cureus. 2023 Apr 16;15(4):e37661. doi: 10.7759/cureus.37661. eCollection 2023 Apr.

DOI:10.7759/cureus.37661
PMID:37200644
原文链接:https://pmc.ncbi.nlm.nih.gov/articles/PMC10188288/
Abstract

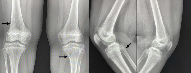
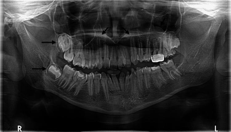
Focal dermal hypoplasia (FDH), also known as Goltz syndrome, is a rare syndrome described in the literature. Patchy skin hypoplasia is the most evident sign. Hyperpigmentation, hypopigmentation, papillomas, limb defects, and orofacial manifestations have also been reported. A 12-year-old Saudi girl with unremarkable family history presented with FDH. The diagnosis was confirmed using a genetic study. Physical examination revealed asymmetrical streaks of vermiculate dermal atrophy, telangiectasia with hyperpigmentation, and hypopigmentation on the left half of the face, trunk, and bilateral extremities. It appears along Blashko lines. No mental impairment was observed. Intraoral examination generalized plaque-induced gingivitis with erythematous gingival hyperplasia. Examination of the teeth showed generalized enamel hypoplasia with abnormal tooth formations, malalignment, microdontia, spacing and tilting, and minimal caries. As reported cases of FDH are rare worldwide, this syndrome is yet to be fully understood. As the manifestation of the syndrome varies among cases, the management of each case is unique. This emphasizes the importance of reporting cases of FDH.

摘要

局灶性真皮发育不全(FDH),也称为戈尔茨综合征,是文献中描述的一种罕见综合征。片状皮肤发育不全是最明显的体征。也有报道称存在色素沉着过度、色素减退、乳头状瘤、肢体缺陷和口面部表现。一名12岁的沙特女孩,家族史无异常,患有局灶性真皮发育不全。通过基因研究确诊。体格检查发现左侧面部、躯干和双侧肢体有不对称的蠕虫状皮肤萎缩条纹、伴有色素沉着过度的毛细血管扩张和色素减退,沿布拉斯科线分布。未观察到智力障碍。口腔检查发现广泛性菌斑性牙龈炎伴牙龈红斑增生。牙齿检查显示广泛性釉质发育不全,伴有牙齿形态异常、排列不齐、过小牙、牙间隙和牙倾斜,以及轻度龋齿。由于全球范围内报道的局灶性真皮发育不全病例很少,该综合征尚未被完全了解。由于该综合征在不同病例中的表现各异,每个病例的治疗都是独特的。这强调了报告局灶性真皮发育不全病例的重要性。

https://cdn.ncbi.nlm.nih.gov/pmc/blobs/c255/10188288/3e3bcb7d832d/cureus-0015-00000037661-i05.jpg
https://cdn.ncbi.nlm.nih.gov/pmc/blobs/c255/10188288/06107bdaf1a8/cureus-0015-00000037661-i01.jpg
https://cdn.ncbi.nlm.nih.gov/pmc/blobs/c255/10188288/6bf7120a1d75/cureus-0015-00000037661-i02.jpg
https://cdn.ncbi.nlm.nih.gov/pmc/blobs/c255/10188288/b233f19128de/cureus-0015-00000037661-i03.jpg
https://cdn.ncbi.nlm.nih.gov/pmc/blobs/c255/10188288/50c6c25dcd7a/cureus-0015-00000037661-i04.jpg
https://cdn.ncbi.nlm.nih.gov/pmc/blobs/c255/10188288/3e3bcb7d832d/cureus-0015-00000037661-i05.jpg
https://cdn.ncbi.nlm.nih.gov/pmc/blobs/c255/10188288/06107bdaf1a8/cureus-0015-00000037661-i01.jpg
https://cdn.ncbi.nlm.nih.gov/pmc/blobs/c255/10188288/6bf7120a1d75/cureus-0015-00000037661-i02.jpg
https://cdn.ncbi.nlm.nih.gov/pmc/blobs/c255/10188288/b233f19128de/cureus-0015-00000037661-i03.jpg
https://cdn.ncbi.nlm.nih.gov/pmc/blobs/c255/10188288/50c6c25dcd7a/cureus-0015-00000037661-i04.jpg
https://cdn.ncbi.nlm.nih.gov/pmc/blobs/c255/10188288/3e3bcb7d832d/cureus-0015-00000037661-i05.jpg

相似文献

1
Focal Dermal Hypoplasia Associated With Lymphedema: A Case Report From Saudi Arabia.伴有淋巴水肿的局灶性真皮发育不全:来自沙特阿拉伯的一例报告。
Cureus. 2023 Apr 16;15(4):e37661. doi: 10.7759/cureus.37661. eCollection 2023 Apr.
2
Focal Dermal Hypoplasia (Goltz Syndrome): A Case Report Showing a Wide Variety of Systemic and Oral Manifestations.局灶性真皮发育不全(戈尔茨综合征):一例显示多种全身和口腔表现的病例报告。
Ann Dermatol. 2022 Aug;34(4):291-296. doi: 10.5021/ad.20.120.
3
Blaschko Linear Enamel Defects - A Marker for Focal Dermal Hypoplasia: Case Report of Focal Dermal Hypoplasia.线状釉质发育不全——局灶性真皮发育不全的一个标志:局灶性真皮发育不全病例报告
Case Rep Dermatol. 2015 May 19;7(2):90-4. doi: 10.1159/000430781. eCollection 2015 May-Aug.
4
Unilateral Focal Dermal Hypoplasia (Goltz Syndrome): Case Report and Literature Review.单侧局限性皮肤发育不全(戈尔茨综合征):病例报告及文献综述
Case Rep Dermatol. 2018 May 3;10(2):101-109. doi: 10.1159/000488521. eCollection 2018 May-Aug.
5
Focal dermal hypoplasia with uterus bicornis and renal ectopia: case report and review of the literature.伴有双角子宫和异位肾的局灶性真皮发育不全:病例报告及文献复习
Case Rep Dermatol. 2011 May;3(2):158-63. doi: 10.1159/000330733. Epub 2011 Aug 12.
6
Case of unilateral focal dermal hypoplasia (Goltz syndrome).单侧局限性皮肤发育不全(戈尔茨综合征)病例。
J Dermatol. 2008 Jan;35(1):33-5. doi: 10.1111/j.1346-8138.2007.00408.x.
7
Phenotypes, Genetics, and Estimated Prevalence of Focal Dermal Hypoplasia (Goltz Syndrome): A Single-Center Report.局限性皮肤发育不全(Goltz 综合征)的表型、遗传学及预估患病率:单中心报告。
Pediatr Dermatol. 2024 Nov-Dec;41(6):1106-1113. doi: 10.1111/pde.15752. Epub 2024 Sep 10.
8
Focal dermal hypoplasia without focal dermal hypoplasia.无汗性外胚叶发育不良,不伴无汗性外胚叶发育不良。
Am J Med Genet A. 2014 Mar;164A(3):778-81. doi: 10.1002/ajmg.a.36341. Epub 2013 Dec 19.
9
Laser-Induced Neocollagenesis in Focal Dermal Hypoplasia Associated With Goltz Syndrome in a Girl.激光诱导戈勒特综合征相关局灶性真皮发育不良患儿的新胶原生成。
JAMA Dermatol. 2017 Dec 1;153(12):1292-1297. doi: 10.1001/jamadermatol.2017.3669.
10
Focal dermal hypoplasia (Goltz syndrome) associated with multiple giant papillomas.
Br J Dermatol. 1995 Dec;133(6):997-9. doi: 10.1111/j.1365-2133.1995.tb06941.x.

引用本文的文献

1
Treatment of a case with short stature and Goltz syndrome with long-acting growth hormone: a case report and follow-up.长效生长激素治疗一例身材矮小合并戈尔茨综合征患者:病例报告及随访
BMC Pediatr. 2025 Oct 2;25(1):733. doi: 10.1186/s12887-025-06129-y.

本文引用的文献

1
Focal dermal hypoplasia: A novel finding in disguise.局灶性真皮发育不全:一个伪装的新发现。
J Oral Biol Craniofac Res. 2018 May-Aug;8(2):143-146. doi: 10.1016/j.jobcr.2018.01.001. Epub 2018 Feb 1.
2
Unilateral Focal Dermal Hypoplasia (Goltz Syndrome): Case Report and Literature Review.单侧局限性皮肤发育不全(戈尔茨综合征):病例报告及文献综述
Case Rep Dermatol. 2018 May 3;10(2):101-109. doi: 10.1159/000488521. eCollection 2018 May-Aug.
3
Dermatologic findings of focal dermal hypoplasia (Goltz syndrome).局灶性真皮发育不全(戈尔茨综合征)的皮肤表现。
Am J Med Genet C Semin Med Genet. 2016 Mar;172C(1):44-51. doi: 10.1002/ajmg.c.31472. Epub 2016 Feb 9.
4
Phenotypic and molecular characterization of focal dermal hypoplasia in 18 individuals.18例患者局灶性真皮发育不全的表型和分子特征分析
Am J Med Genet C Semin Med Genet. 2016 Mar;172C(1):9-20. doi: 10.1002/ajmg.c.31473. Epub 2016 Feb 7.
5
Oral phenotype and variation in focal dermal hypoplasia.口腔表型与局灶性真皮发育不全的变异
Am J Med Genet C Semin Med Genet. 2016 Mar;172C(1):52-8. doi: 10.1002/ajmg.c.31478. Epub 2016 Feb 3.
6
Focal dermal hypoplasia: updates.局灶性真皮发育不全:最新进展
Oral Dis. 2014 Jan;20(1):17-24. doi: 10.1111/odi.12083. Epub 2013 Mar 6.
7
Classification of lymphatic-system malformations in primary lymphoedema based on MR lymphangiography.基于磁共振淋巴造影的原发性淋巴水肿淋巴管畸形分类。
Eur J Vasc Endovasc Surg. 2012 Sep;44(3):345-9. doi: 10.1016/j.ejvs.2012.06.019. Epub 2012 Jul 23.
8
Focal dermal hypoplasia: a case report and literature review.局灶性真皮发育不全:一例报告及文献综述。
Oral Surg Oral Med Oral Pathol Oral Radiol Endod. 2011 Aug;112(2):e11-8. doi: 10.1016/j.tripleo.2011.03.012.
9
Phenotype and genotype in 17 patients with Goltz-Gorlin syndrome.17例戈尔茨-戈林综合征患者的表型和基因型
J Med Genet. 2009 Oct;46(10):716-20. doi: 10.1136/jmg.2009.068403. Epub 2009 Jul 7.
10
Three cases of focal dermal hypoplasia (Goltz syndrome).三例局灶性真皮发育不全(戈尔茨综合征)。
Clin Exp Dermatol. 2005 Jan;30(1):35-7. doi: 10.1111/j.1365-2230.2004.01647.x.