Suppr超能文献

继发于血管压迫和神经囊尾蚴病的三叉神经痛:病例说明

Trigeminal neuralgia secondary to vascular compression and neurocysticercosis: illustrative case.

作者信息

Vásquez Mao, Saavedra Luis J, García Hector H, Vela Evelyn, Medina Jorge E, Lozano Miguel, Hoyos Carlos, Lines-Aguilar William W

机构信息

1Department of Neurosurgery, and.

2Cysticercosis Unit, National Institute of Neurological Sciences, Lima, Peru.

出版信息

J Neurosurg Case Lessons. 2023 May 22;5(21). doi: 10.3171/CASE23127.

Abstract

BACKGROUND

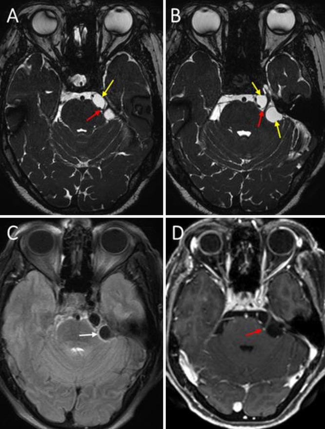
Trigeminal neuralgia (TN) is a frequent neurosurgical problem negatively influencing the quality of life of patients. The standard surgical treatment is microvascular decompression for primary cases and decompression of the mass effect, mainly tumors, for secondary cases. Neurocysticercosis (NCC) in the cerebellopontine angle is a rare etiology of TN. The authors report a case in which NCC cysts around the trigeminal nerve coexisted with a vascular loop, which compressed the exit of the trigeminal nerve from the pons.

OBSERVATIONS

A 78-year-old woman presented with a 3-year history of persistent severe pain in the left side of her face, refractory to medical treatment. On gadolinium-enhanced magnetic resonance imaging, cystic lesions were observed around the left trigeminal nerve and a vascular loop was also present and in contact with the nerve. A retrosigmoid approach for cyst excision plus microvascular decompression of the trigeminal nerve was successfully performed. There were no complications. The patient was discharged without facial pain.

LESSONS

Albeit rare, TN secondary to NCC cysts should be considered in the differential diagnosis in NCC-endemic regions. In this case, the cause of the neuralgia was probably both problems, because when both were treated, the patient improved.

摘要

背景

三叉神经痛(TN)是一个常见的神经外科问题,对患者的生活质量有负面影响。标准的外科治疗方法是对原发性病例进行微血管减压,对继发性病例进行主要针对肿瘤的占位效应减压。小脑脑桥角的神经囊虫病(NCC)是TN的一种罕见病因。作者报告了一例三叉神经周围的NCC囊肿与血管袢共存的病例,该血管袢压迫了三叉神经从脑桥的出口。

观察结果

一名78岁女性,有3年左侧面部持续剧痛病史,药物治疗无效。在钆增强磁共振成像上,观察到左侧三叉神经周围有囊性病变,并且存在一个血管袢并与神经接触。成功实施了乙状窦后入路囊肿切除术加三叉神经微血管减压术。无并发症。患者出院时面部疼痛消失。

经验教训

尽管罕见,但在NCC流行地区的鉴别诊断中应考虑NCC囊肿继发的TN。在该病例中,神经痛的原因可能是这两个问题共同导致的,因为当两者都得到治疗时,患者病情好转。

https://cdn.ncbi.nlm.nih.gov/pmc/blobs/6ee2/10550649/510cc643180d/CASE23127f1.jpg

文献检索

告别复杂PubMed语法,用中文像聊天一样搜索,搜遍4000万医学文献。AI智能推荐,让科研检索更轻松。

立即免费搜索

文件翻译

保留排版,准确专业,支持PDF/Word/PPT等文件格式,支持 12+语言互译。

免费翻译文档

深度研究

AI帮你快速写综述,25分钟生成高质量综述,智能提取关键信息,辅助科研写作。

立即免费体验