Suppr超能文献

Orai1 钙通道抑制可防止慢性胰腺炎进展。

Orai1 calcium channel inhibition prevents progression of chronic pancreatitis.

机构信息

Department of Medicine.

ELKH-USZ Momentum Epithelial Cell Signaling and Secretion Research Group, and.

出版信息

JCI Insight. 2023 Jul 10;8(13):e167645. doi: 10.1172/jci.insight.167645.

Abstract

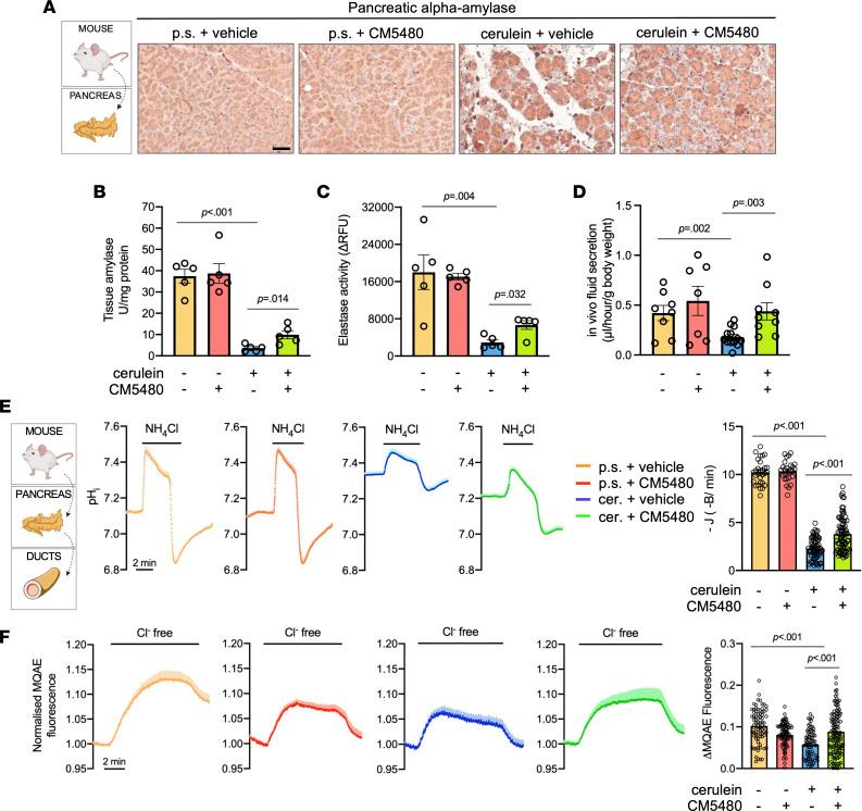
Patients with recurrent acute pancreatitis (RAP) are at significant risk of developing early chronic pancreatitis (CP), which progresses into irreversible, end-stage CP with severe symptoms. There is no specific therapy in RAP or in early CP that may hinder disease progression. The pathogenesis of CP is complex and involves interactions among multiple cell types, including pancreatic acinar, ductal, and stellate cells (PSC). Therefore, it is pivotal to identify common pathogenic pathways in these cells that could be targeted pharmacologically. The Orai1-mediated store-operated Ca2+ entry (SOCE) is a ubiquitous signaling mechanism that may become overactivated in pathological states resulting in intracellular Ca2+ overload. In this study, we used ex vivo and in vivo preclinical disease models to demonstrate that Orai1 inhibition prevents progression of RAP and early CP. The selective Orai1 inhibitor CM5480 restored the expression of SOCE-associated regulatory factor in acinar cells, prevented uncontrolled Ca2+ elevation, protected acinar and ductal functions, mitigated immune cell infiltration, and diminished PSC activation, proliferation, and migration. We suggest that the overactivation of Orai1 is a crucial pathogenetic event in the progression of early CP and that inhibition of Orai1 could prevent the development of end-stage CP.

摘要

患有复发性急性胰腺炎(RAP)的患者存在发生早发性慢性胰腺炎(CP)的显著风险,早发性 CP 会进展为不可逆的终末期 CP,并伴有严重症状。在 RAP 或早发性 CP 中没有特定的治疗方法可以阻止疾病进展。CP 的发病机制很复杂,涉及多种细胞类型的相互作用,包括胰腺腺泡、导管和星状细胞(PSC)。因此,确定这些细胞中可能具有共同的致病途径并可通过药理学靶向治疗至关重要。Orai1 介导的储存操纵的 Ca2+内流(SOCE)是一种普遍存在的信号机制,在病理性状态下可能过度激活,导致细胞内 Ca2+超载。在这项研究中,我们使用离体和体内临床前疾病模型证明了 Orai1 抑制可预防 RAP 和早发性 CP 的进展。选择性 Orai1 抑制剂 CM5480 恢复了腺泡细胞中 SOCE 相关调节因子的表达,防止了不受控制的 Ca2+升高,保护了腺泡和导管功能,减轻了免疫细胞浸润,并减少了 PSC 的激活、增殖和迁移。我们认为 Orai1 的过度激活是早发性 CP 进展的一个关键致病事件,抑制 Orai1 可能预防终末期 CP 的发生。

https://cdn.ncbi.nlm.nih.gov/pmc/blobs/ed58/10371343/a81f7e0c090c/jciinsight-8-167645-g137.jpg

文献检索

告别复杂PubMed语法,用中文像聊天一样搜索,搜遍4000万医学文献。AI智能推荐,让科研检索更轻松。

立即免费搜索

文件翻译

保留排版,准确专业,支持PDF/Word/PPT等文件格式,支持 12+语言互译。

免费翻译文档

深度研究

AI帮你快速写综述,25分钟生成高质量综述,智能提取关键信息,辅助科研写作。

立即免费体验