Suppr超能文献

创伤性硬膜外血肿的双侧自发消退:一例报告及文献综述

Bilateral Spontaneous Resolution of Traumatic Epidural Hematoma: A Case Report and Literature Review.

作者信息

Aleid Abdulsalam, Alzahrani Basmah S, Alameer Murtadha H, Alhassan Abdulsalam J, Alahmed Ibrahim

机构信息

Neurosurgery Department, King Faisal University, Al-Hofuf, SAU.

Neurosurgery Department, King Fahad Hospital, Al-Hofuf, SAU.

出版信息

Cureus. 2023 May 23;15(5):e39379. doi: 10.7759/cureus.39379. eCollection 2023 May.

Abstract

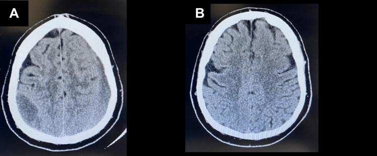
Epidural hematomas (EDHs) are a neurosurgical emergency characterized by the accumulation of blood in the epidural space surrounding the dura mater. Spontaneous resolution of EDH is an exceptionally rare occurrence, with only 16 cases reported in the medical literature where resolution occurred within 24 hours of onset. In this case report, we present a unique instance of a chronic EDH that spontaneously resolved over a period of seven months. This case adds to the scientific literature by highlighting an extremely prolonged duration of spontaneous EDH resolution, which, to our knowledge, has not been previously documented. A 59-year-old male suffered a head injury following a fall. He presented with a progressively worsening headache and nausea, raising concerns for a potential EDH. A computed tomography (CT) scan confirmed the presence of a large right parietal EDH measuring 58 × 23 × ​​​​​​​17 mm and a large left frontoparietal EDH measuring 90 × 20 ×​​​​​​​ 12 mm. These findings were crucial in establishing the primary diagnosis and guiding subsequent interventions. Upon diagnosis of the EDHs, the patient received conservative treatment and was closely monitored. Over a period of seven months, follow-up imaging revealed complete resolution of both EDHs, with restoration of normal midline structures and ventricular sizes. Notably, this represents the longest duration of spontaneous EDH resolution reported in the literature. We attribute this uncommon outcome to the activation of endogenous fibrinolytic pathways, which are responsible for dissolving blood clots and hematomas. In addition, the formation of new collateral blood vessels around the hematoma may help facilitate its resolution. This case underscores the significance of early recognition and vigilant monitoring of EDH cases. While immediate surgical intervention remains essential in most instances, conservative management can be considered in select cases. Our report demonstrates the possibility of spontaneous resolution of EDHs over an extended period, emphasizing the importance of continued observation and appropriate management. By shedding light on this rare occurrence, this case report contributes to the limited existing literature on the topic, providing valuable insights and adding to our understanding of EDH management.

摘要

硬膜外血肿(EDH)是一种神经外科急症,其特征是硬脑膜周围硬膜外间隙积血。EDH自发消退极为罕见,医学文献中仅报道过16例在发病24小时内消退的病例。在本病例报告中,我们呈现了一例独特的慢性EDH,其在七个月的时间里自发消退。该病例通过突出自发EDH消退的极长时间,为科学文献增添了内容,据我们所知,此前尚无相关记录。一名59岁男性跌倒后头部受伤。他出现头痛和恶心症状且逐渐加重,引发了对可能存在EDH的担忧。计算机断层扫描(CT)证实存在一个58×23×17mm的巨大右侧顶叶EDH以及一个90×20×12mm的巨大左侧额顶叶EDH。这些发现对于确立初步诊断和指导后续干预至关重要。诊断出EDH后,患者接受了保守治疗并受到密切监测。在七个月的时间里,后续影像学检查显示两个EDH均完全消退,中线结构和脑室大小恢复正常。值得注意的是,这是文献中报道的自发EDH消退持续时间最长的案例。我们将这种不寻常的结果归因于内源性纤溶途径的激活,该途径负责溶解血凝块和血肿。此外,血肿周围新侧支血管的形成可能有助于促进其消退。本病例强调了早期识别和对EDH病例进行密切监测的重要性。虽然在大多数情况下立即进行手术干预仍然至关重要,但在某些特定病例中可以考虑保守治疗。我们的报告证明了EDH在较长时间内自发消退的可能性,强调了持续观察和适当管理的重要性。通过揭示这一罕见情况,本病例报告为该主题有限的现有文献做出了贡献,提供了有价值的见解并增进了我们对EDH管理的理解。

https://cdn.ncbi.nlm.nih.gov/pmc/blobs/ca73/10207977/f56c37f2ea87/cureus-0015-00000039379-i01.jpg

文献检索

告别复杂PubMed语法,用中文像聊天一样搜索,搜遍4000万医学文献。AI智能推荐,让科研检索更轻松。

立即免费搜索

文件翻译

保留排版,准确专业,支持PDF/Word/PPT等文件格式,支持 12+语言互译。

免费翻译文档

深度研究

AI帮你快速写综述,25分钟生成高质量综述,智能提取关键信息,辅助科研写作。

立即免费体验