• 文献检索
  • 文档翻译
  • 深度研究
  • 学术资讯
  • Suppr Zotero 插件Zotero 插件
  • 邀请有礼
  • 套餐&价格
  • 历史记录
应用&插件
Suppr Zotero 插件Zotero 插件浏览器插件Mac 客户端Windows 客户端微信小程序
定价
高级版会员购买积分包购买API积分包
服务
文献检索文档翻译深度研究API 文档MCP 服务
关于我们
关于 Suppr公司介绍联系我们用户协议隐私条款
关注我们

Suppr 超能文献

核心技术专利:CN118964589B侵权必究
粤ICP备2023148730 号-1Suppr @ 2026

文献检索

告别复杂PubMed语法,用中文像聊天一样搜索,搜遍4000万医学文献。AI智能推荐,让科研检索更轻松。

立即免费搜索

文件翻译

保留排版,准确专业,支持PDF/Word/PPT等文件格式,支持 12+语言互译。

免费翻译文档

深度研究

AI帮你快速写综述,25分钟生成高质量综述,智能提取关键信息,辅助科研写作。

立即免费体验

生长停滞和DNA损伤诱导基因34(GADD34)激活p53,可能作为动脉粥样硬化的一个标志物。

GADD34 activates p53 and may have utility as a marker of atherosclerosis.

作者信息

Tomiyoshi Go, Nakamura Rika, Shinmen Natsuko, Yoshida Yoichi, Mine Seiichiro, Machida Toshio, Iwase Katsuro, Iwadate Yasuo, Hiwasa Takaki, Kuroda Hideyuki

机构信息

Medical Project Division, Research Development Center, Fujikura Kasei Co., Saitama, Japan.

Department of Biochemistry and Genetics, Graduate School of Medicine, Chiba University, Chiba, Japan.

出版信息

Front Med (Lausanne). 2023 May 9;10:1128921. doi: 10.3389/fmed.2023.1128921. eCollection 2023.

DOI:10.3389/fmed.2023.1128921
PMID:37228401
原文链接:https://pmc.ncbi.nlm.nih.gov/articles/PMC10203227/
Abstract

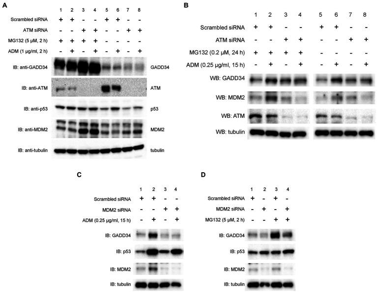
We previously identified growth arrest and DNA-damage-inducible gene 34 (GADD34) as a marker of ischemic stroke. In the present study, serum levels of anti-GADD34 antibodies were found to be significantly higher in patients with acute ischemic stroke or chronic kidney disease compared to healthy donors. We then examined the biological function of GADD34 by transfection into U2OS human osteosarcoma and U87 human glioblastoma cells. Knockdown of GADD34 by siRNA resulted in enhanced cell proliferation, which was reversed by co-knockdown of MDM2. Luciferase reporter assays revealed that the transactivation ability of p53 enhanced by genotoxic anticancer drugs such as camptothecin and etoposide was further potentiated by enforced expression of GADD34 but attenuated by co-transfection with p53 shRNA expression plasmids. Western blotting demonstrated increased p53 protein levels after treatment with camptothecin, which was also potentiated by GADD34 but suppressed by GADD34 siRNA, ATM siRNA, and ATM inhibitor wortmannin. GADD34 levels also increased in response to treatment with camptothecin or adriamycin, and this increase was attenuated by MDM2 siRNA. Immunoprecipitation with anti-GADD34 antibody followed by Western blotting with anti-MDM2 antibodies indicated ubiquitination of GADD34 is mediated by MDM2. Accordingly, GADD34 may function as a ubiquitination decoy to reduce p53 ubiquitination and increase p53 protein levels. Increased neuronal cell death due to activation of p53 by GADD34 may account for the elevated serum levels of anti-GADD34 antibodies observed in patients with acute ischemic stroke.

摘要

我们之前将生长停滞和DNA损伤诱导基因34(GADD34)鉴定为缺血性中风的一个标志物。在本研究中,发现急性缺血性中风患者或慢性肾病患者血清中抗GADD34抗体水平显著高于健康供者。然后,我们通过转染U2OS人骨肉瘤细胞和U87人胶质母细胞瘤细胞来检测GADD34的生物学功能。用小干扰RNA(siRNA)敲低GADD34导致细胞增殖增强,而MDM2的共敲低可逆转这种增强。荧光素酶报告基因检测显示,喜树碱和依托泊苷等基因毒性抗癌药物增强的p53反式激活能力,在强制表达GADD34时进一步增强,但在用p53短发夹RNA表达质粒共转染时减弱。蛋白质印迹法表明,喜树碱处理后p53蛋白水平升高,GADD34也可增强这种升高,但GADD34 siRNA、ATM siRNA和ATM抑制剂渥曼青霉素可抑制这种升高。喜树碱或阿霉素处理后GADD34水平也升高,而MDM2 siRNA可减弱这种升高。用抗GADD34抗体进行免疫沉淀,随后用抗MDM2抗体进行蛋白质印迹分析表明,GADD34的泛素化由MDM2介导。因此,GADD34可能作为一种泛素化诱饵,减少p53泛素化并增加p53蛋白水平。GADD34激活p53导致神经元细胞死亡增加,这可能是急性缺血性中风患者血清中抗GADD34抗体水平升高的原因。

https://cdn.ncbi.nlm.nih.gov/pmc/blobs/7436/10203227/21b31b8ce3a2/fmed-10-1128921-g005.jpg
https://cdn.ncbi.nlm.nih.gov/pmc/blobs/7436/10203227/8cb9e498c82b/fmed-10-1128921-g001.jpg
https://cdn.ncbi.nlm.nih.gov/pmc/blobs/7436/10203227/21b31b8ce3a2/fmed-10-1128921-g005.jpg
https://cdn.ncbi.nlm.nih.gov/pmc/blobs/7436/10203227/8cb9e498c82b/fmed-10-1128921-g001.jpg
https://cdn.ncbi.nlm.nih.gov/pmc/blobs/7436/10203227/21b31b8ce3a2/fmed-10-1128921-g005.jpg

相似文献

1
GADD34 activates p53 and may have utility as a marker of atherosclerosis.生长停滞和DNA损伤诱导基因34(GADD34)激活p53,可能作为动脉粥样硬化的一个标志物。
Front Med (Lausanne). 2023 May 9;10:1128921. doi: 10.3389/fmed.2023.1128921. eCollection 2023.
2
Growth arrest and DNA damage-inducible protein 34 (GADD34) contributes to cerebral ischemic injury and can be detected in plasma exosomes.生长停滞和 DNA 损伤诱导蛋白 34(GADD34)参与脑缺血损伤,并且可以在血浆外泌体中检测到。
Neurosci Lett. 2021 Jul 27;758:136004. doi: 10.1016/j.neulet.2021.136004. Epub 2021 Jun 8.
3
GADD34 induces p53 phosphorylation and p21/WAF1 transcription.生长停滞和DNA损伤诱导蛋白34(GADD34)诱导p53磷酸化和p21/WAF1转录。
J Cell Biochem. 2003 Dec 15;90(6):1242-9. doi: 10.1002/jcb.10711.
4
Circular RNA CDR1as disrupts the p53/MDM2 complex to inhibit Gliomagenesis.环状 RNA CDR1as 破坏 p53/MDM2 复合物抑制Gliomagenesis。
Mol Cancer. 2020 Sep 7;19(1):138. doi: 10.1186/s12943-020-01253-y.
5
MDM2 promotes ubiquitination and degradation of MDMX.MDM2促进MDMX的泛素化和降解。
Mol Cell Biol. 2003 Aug;23(15):5113-21. doi: 10.1128/MCB.23.15.5113-5121.2003.
6
Mechanism of p53 stabilization by ATM after DNA damage.DNA 损伤后 ATM 稳定 p53 的机制。
Cell Cycle. 2010 Feb 1;9(3):472-8. doi: 10.4161/cc.9.3.10556.
7
Loss of RPS27a expression regulates the cell cycle, apoptosis, and proliferation via the RPL11-MDM2-p53 pathway in lung adenocarcinoma cells.RPS27a 表达缺失通过 RPL11-MDM2-p53 通路调控肺腺癌细胞周期、凋亡和增殖。
J Exp Clin Cancer Res. 2022 Jan 24;41(1):33. doi: 10.1186/s13046-021-02230-z.
8
Efficacy of MDM2 inhibitor MI-219 against lung cancer cells alone or in combination with MDM2 knockdown, a XIAP inhibitor or etoposide.MDM2 抑制剂 MI-219 单独或与 MDM2 敲低、XIAP 抑制剂或依托泊苷联合治疗肺癌细胞的疗效。
Anticancer Res. 2010 Sep;30(9):3321-31.
9
Increased mdm-2 expression in a p53-independent manner blocks UV-induced cell cycle arrest and apoptosis in human osteosarcoma cells.以不依赖p53的方式增加mdm-2表达可阻断紫外线诱导的人骨肉瘤细胞的细胞周期停滞和凋亡。
Tumour Biol. 2003 May-Jun;24(3):130-9. doi: 10.1159/000073842.
10
PIG3 Regulates p53 Stability by Suppressing Its MDM2-Mediated Ubiquitination.PIG3通过抑制p53的MDM2介导的泛素化来调节其稳定性。
Biomol Ther (Seoul). 2017 Jul 1;25(4):396-403. doi: 10.4062/biomolther.2017.086.

引用本文的文献

1
Ubiquitination in osteosarcoma: unveiling the impact on cell biology and therapeutic strategies.泛素化在骨肉瘤中的作用:揭示其对细胞生物学和治疗策略的影响。
Cancer Biol Med. 2024 Oct 30;21(10):880-97. doi: 10.20892/j.issn.2095-3941.2024.0231.
2
Serum anti‑KIAA0513 antibody as a common biomarker for mortal atherosclerotic and cancerous diseases.血清抗KIAA0513抗体作为致死性动脉粥样硬化和癌症疾病的常见生物标志物。
Med Int (Lond). 2024 Jun 19;4(5):45. doi: 10.3892/mi.2024.169. eCollection 2024 Sep-Oct.
3
Xinnaotongluo liquid protects H9c2 cells from H/R-induced damage by regulating MDM2/STEAP3.

本文引用的文献

1
Association of Serum Anti-PCSK9 Antibody Levels with Favorable Postoperative Prognosis in Esophageal Cancer.血清抗前蛋白转化酶枯草溶菌素9(PCSK9)抗体水平与食管癌术后良好预后的相关性
Front Oncol. 2021 Aug 24;11:708039. doi: 10.3389/fonc.2021.708039. eCollection 2021.
2
Serum anti-AP3D1 antibodies are risk factors for acute ischemic stroke related with atherosclerosis.血清抗 AP3D1 抗体是与动脉粥样硬化相关的急性缺血性脑卒中的危险因素。
Sci Rep. 2021 Jun 29;11(1):13450. doi: 10.1038/s41598-021-92786-9.
3
Serum anti-DIDO1, anti-CPSF2, and anti-FOXJ2 antibodies as predictive risk markers for acute ischemic stroke.
心血通络液通过调控 MDM2/STEAP3 保护 H9c2 细胞免受 H/R 损伤。
PLoS One. 2024 Apr 19;19(4):e0302407. doi: 10.1371/journal.pone.0302407. eCollection 2024.
4
Integrated Stress Response (ISR) Pathway: Unraveling Its Role in Cellular Senescence.整合应激反应(ISR)通路:揭示其在细胞衰老中的作用。
Int J Mol Sci. 2023 Dec 13;24(24):17423. doi: 10.3390/ijms242417423.
血清抗 DIDO1、抗 CPSF2 和抗 FOXJ2 抗体作为急性缺血性脑卒中的预测风险标志物。
BMC Med. 2021 Jun 9;19(1):131. doi: 10.1186/s12916-021-02001-9.
4
Growth arrest and DNA damage-inducible protein 34 (GADD34) contributes to cerebral ischemic injury and can be detected in plasma exosomes.生长停滞和 DNA 损伤诱导蛋白 34(GADD34)参与脑缺血损伤,并且可以在血浆外泌体中检测到。
Neurosci Lett. 2021 Jul 27;758:136004. doi: 10.1016/j.neulet.2021.136004. Epub 2021 Jun 8.
5
Ferritin reduction is essential for cerebral ischemia-induced hippocampal neuronal death through p53/SLC7A11-mediated ferroptosis.铁蛋白还原对于脑缺血诱导的海马神经元死亡是必需的,这是通过 p53/SLC7A11 介导的铁死亡途径实现的。
Brain Res. 2021 Feb 1;1752:147216. doi: 10.1016/j.brainres.2020.147216. Epub 2020 Dec 14.
6
Crosstalk Between Autophagy and Ferroptosis and Its Putative Role in Ischemic Stroke.自噬与铁死亡之间的相互作用及其在缺血性卒中中的潜在作用
Front Cell Neurosci. 2020 Oct 2;14:577403. doi: 10.3389/fncel.2020.577403. eCollection 2020.
7
A Dual Role of ATM in Ischemic Preconditioning and Ischemic Injury.ATM 在缺血预处理和缺血损伤中的双重作用。
Cell Mol Neurobiol. 2020 Jul;40(5):785-799. doi: 10.1007/s10571-019-00773-6. Epub 2019 Dec 16.
8
Association of serum levels of antibodies against MMP1, CBX1, and CBX5 with transient ischemic attack and cerebral infarction.血清中基质金属蛋白酶1、染色体盒蛋白1及染色体盒蛋白5抗体水平与短暂性脑缺血发作和脑梗死的关联
Oncotarget. 2017 Dec 31;9(5):5600-5613. doi: 10.18632/oncotarget.23789. eCollection 2018 Jan 19.
9
Ferritin levels and risk of heart failure-the Atherosclerosis Risk in Communities Study.铁蛋白水平与心力衰竭风险——社区动脉粥样硬化风险研究
Eur J Heart Fail. 2017 Mar;19(3):340-347. doi: 10.1002/ejhf.701. Epub 2016 Dec 14.
10
Identification of stroke-associated-antigens via screening of recombinant proteins from the human expression cDNA library (SEREX).通过筛选来自人类表达cDNA文库的重组蛋白(SEREX)鉴定中风相关抗原。
J Transl Med. 2015 Feb 22;13:71. doi: 10.1186/s12967-015-0393-4.