Suppr超能文献

药物相关性骨坏死:为何是颌骨?

Medication-Related Osteonecrosis: Why the Jawbone?

作者信息

Kuehn Sydney, Scariot Rafaela, Elsalanty Mohammed

机构信息

Department of Medical Anatomical Sciences, College of Osteopathic Medicine of the Pacific, Pomona, CA 91766, USA.

Department of Oral and Maxillofacial Surgery, Federal Technological University of Paraná, Curitiba 80230-901, Brazil.

出版信息

Dent J (Basel). 2023 Apr 23;11(5):109. doi: 10.3390/dj11050109.

Abstract

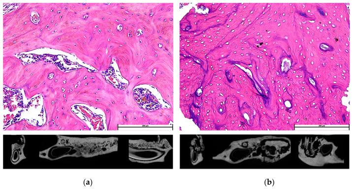
Medication-related osteonecrosis of the jaw (MRONJ) has emerged as a complication of anti-resorptive medications. Despite its low incidence rate, this problem has gained attention in recent years due to its devastating consequences and lack of preventive strategy. The fact that MRONJ incidence has been exclusive to the jawbones, despite the systemic effect of anti-resorptive medications, could be a starting point to unravel the multifactorial pathogenesis of this condition. This review aims to negotiate the question of why the jawbone is more susceptible to MRONJ than other skeletal sites. Approaching the problem from this perspective could provide new directions for the prevention of MRONJ and expand our understanding of the unique oral microenvironment.

摘要

药物相关性颌骨坏死(MRONJ)已成为抗骨吸收药物的一种并发症。尽管其发病率较低,但由于其严重后果和缺乏预防策略,该问题近年来已受到关注。尽管抗骨吸收药物具有全身作用,但MRONJ的发病仅局限于颌骨,这一事实可能是揭示该疾病多因素发病机制的一个切入点。本综述旨在探讨为何颌骨比其他骨骼部位更容易发生MRONJ这一问题。从这个角度来探讨该问题可为MRONJ的预防提供新方向,并拓展我们对独特口腔微环境的认识。

https://cdn.ncbi.nlm.nih.gov/pmc/blobs/67a5/10217310/e0a7230313db/dentistry-11-00109-g001.jpg

文献AI研究员

20分钟写一篇综述,助力文献阅读效率提升50倍。

立即体验

用中文搜PubMed

大模型驱动的PubMed中文搜索引擎

马上搜索

文档翻译

学术文献翻译模型,支持多种主流文档格式。

立即体验