Suppr超能文献

使用锥形束计算机断层扫描评估根管周围牙本质厚度和剩余牙本质体积

Evaluation of Dentinal Thickness and Remaining Dentine Volume around Root Canals Using Cone-Beam Computed Tomography Scanning.

作者信息

Razumova Svetlana, Brago Anzhela, Barakat Haydar, Serebrov Dimitriy, Guryeva Zoya, Parshin Gleb S, Troitskiy Vasiliy I

机构信息

Department of Propedeutics of Dental Diseases, Medical Institute, Peoples' Friendship University of Russia (RUDN University), 6 Miklukho-Maklaya St., Moscow 117198, Russia.

Department of Infectious Diseases, Institute of Clinical Medicine, I.M. Sechenov First Moscow State Medical University (Sechenov University), 2 Bolshaya Pirogovskaya St., Moscow 119435, Russia.

出版信息

Dent J (Basel). 2023 May 4;11(5):124. doi: 10.3390/dj11050124.

Abstract

BACKGROUND

The remaining dentinal thickness is a significant factor to deal with when planning post-endodontic treatment.

AIM

To assess the changes in the root canal dentinal thickness of intact and endodontically treated teeth using CBCT scans in the coronal, middle, and apical third of the root canal.

MATERIAL AND METHODS

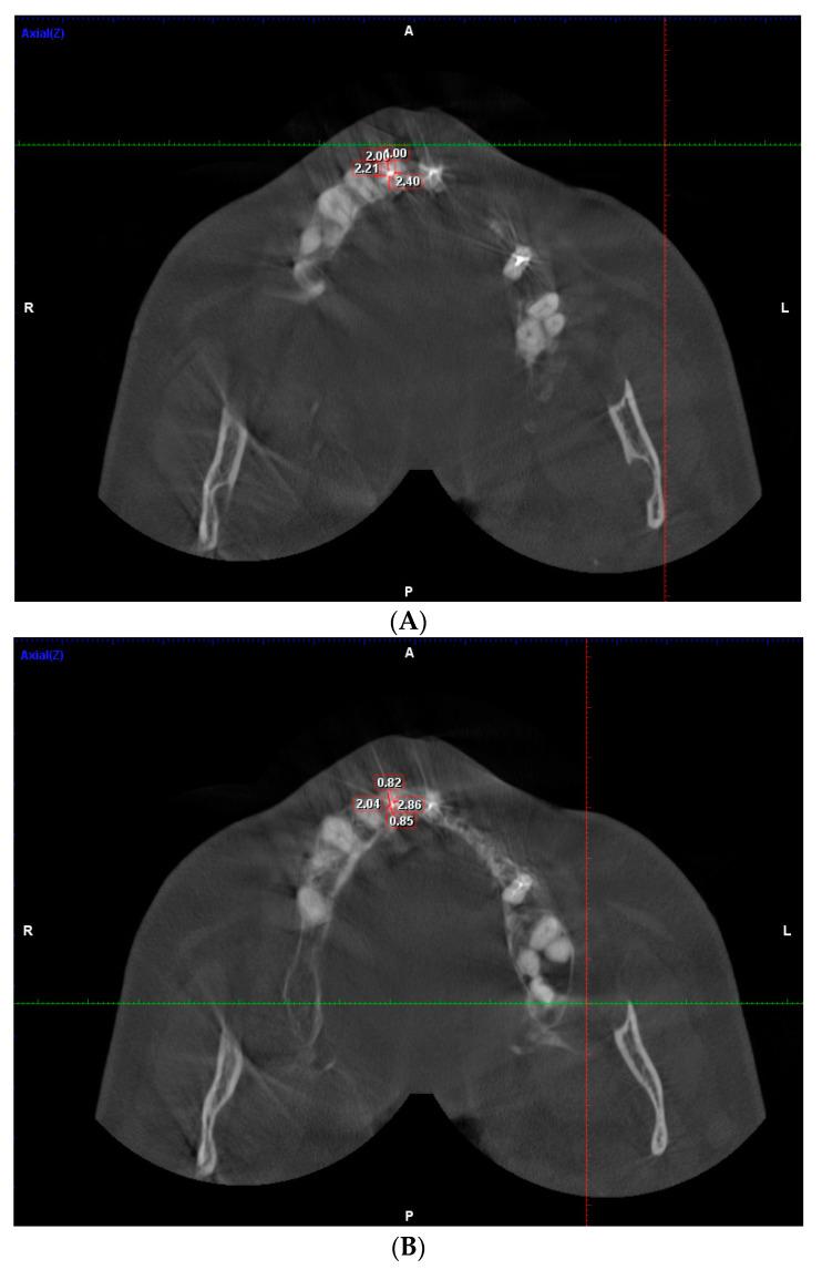
Three hundred CBCT scans for three age groups were analyzed to study the dentinal thickness pre- and post-endodontic treatment. The dentinal thickness (DT) was measured along the buccal, mesial, distal, and lingual/palatal walls from the inner surface of the root canal to the outer surface in mm. Statistical analysis was set at 0.05.

RESULTS

The results of this study showed that the buccal, palatal, distal, and mesial dentinal thickness in intact and endodontically treated teeth is different. The differences were statistically significant when comparing the parameters of "healthy" and "treated" teeth ( < 0.05). There were no statistically significant differences in indicators associated with age ( > 0.05). In the coronal third of the root canal, the least amount of dentin tissue lost was 4.2% for mandibular canines.

CONCLUSIONS

The dentinal thickness in the coronal and middle third of the root decreases significantly more than the apical third. The most loss of dentine volume was among molar teeth, and the remaining dentinal thickness was less than 1 mm, which would increase the risk of complication while preparing the canal for a post.

摘要

背景

在计划根管治疗后的处理时,剩余牙本质厚度是一个需要考虑的重要因素。

目的

使用CBCT扫描评估完整牙齿和根管治疗后牙齿在根管冠部、中部和根尖三分之一处的根管牙本质厚度变化。

材料与方法

分析三个年龄组的300例CBCT扫描,以研究根管治疗前后的牙本质厚度。牙本质厚度(DT)以毫米为单位,沿着根管内表面至外表面的颊侧、近中、远中以及舌侧/腭侧壁进行测量。统计学分析设定为0.05。

结果

本研究结果表明,完整牙齿和根管治疗后牙齿的颊侧、腭侧、远中及近中牙本质厚度存在差异。比较“健康”牙齿和“治疗后”牙齿的参数时,差异具有统计学意义(<0.05)。与年龄相关的指标无统计学显著差异(>0.05)。在根管冠部三分之一处,下颌尖牙牙本质组织丢失量最少,为4.2%。

结论

根管冠部和中部三分之一处的牙本质厚度下降明显多于根尖三分之一处。磨牙的牙本质体积损失最大,剩余牙本质厚度小于1毫米,这会增加根管预备桩道时并发症的风险。

https://cdn.ncbi.nlm.nih.gov/pmc/blobs/b5d9/10217616/c7de26c2d32f/dentistry-11-00124-g001a.jpg

文献AI研究员

20分钟写一篇综述,助力文献阅读效率提升50倍。

立即体验

用中文搜PubMed

大模型驱动的PubMed中文搜索引擎

马上搜索

文档翻译

学术文献翻译模型,支持多种主流文档格式。

立即体验