Suppr超能文献

男性和女性尿道上皮性肿瘤的形态学谱系。

Morphologic spectrum of the epithelial tumors of the male and female urethra.

机构信息

Institute of Pathological Anatomy, Department of Medicine, University of Udine, Udine, Italy.

Department of Surgery, Cordoba University Medical School, Cordoba, Spain.

出版信息

Virchows Arch. 2023 Dec;483(6):751-764. doi: 10.1007/s00428-023-03565-y. Epub 2023 May 26.

Abstract

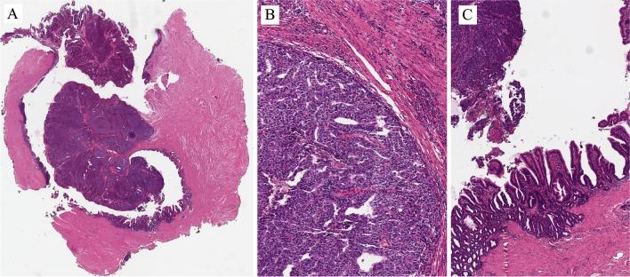
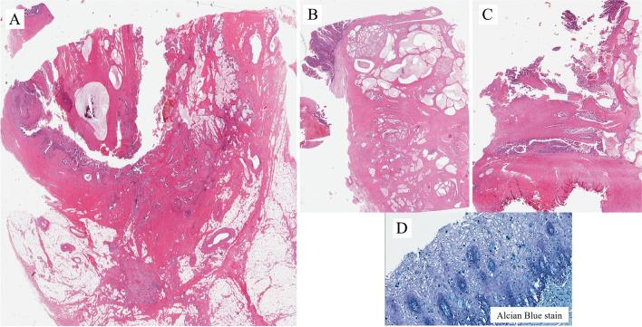
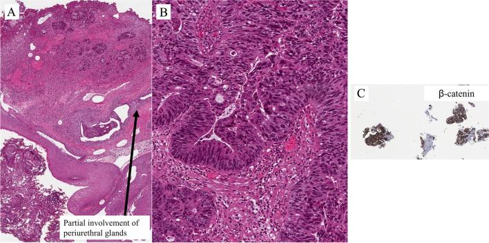
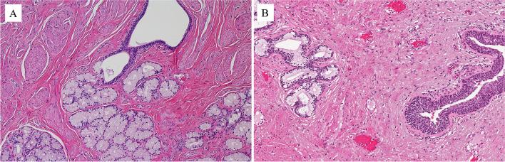
The classification of the epithelial tumors of the male and female urethra includes benign and malignant neoplasms. Primary urethral carcinomas and adenocarcinomas of the accessory glands are the most relevant tumors, both from the morphologic and clinical point of view. An accurate diagnosis, grading and staging are essential for determining adequate treatment strategies and outcome. Information on anatomy and histology of the urethra is of fundamental importance in understanding the morphology of the tumors, including the clinical importance of their location and origin.

摘要

男性和女性尿道的上皮性肿瘤分类包括良性和恶性肿瘤。原发性尿道癌和附属腺腺癌是最相关的肿瘤,从形态学和临床角度来看都是如此。准确的诊断、分级和分期对于确定适当的治疗策略和结果至关重要。尿道解剖和组织学信息对于理解肿瘤的形态学具有重要意义,包括其位置和起源的临床重要性。

https://cdn.ncbi.nlm.nih.gov/pmc/blobs/4c25/10700461/f78fd637140f/428_2023_3565_Fig1_HTML.jpg

文献AI研究员

20分钟写一篇综述,助力文献阅读效率提升50倍。

立即体验

用中文搜PubMed

大模型驱动的PubMed中文搜索引擎

马上搜索

文档翻译

学术文献翻译模型,支持多种主流文档格式。

立即体验