Suppr超能文献

在老年小鼠中补充甘氨酸 - N - 乙酰半胱氨酸(GlyNAC)可改善脑内谷胱甘肽缺乏、氧化应激、葡萄糖摄取、线粒体功能障碍、基因组损伤、炎症和神经营养因子,以逆转与年龄相关的认知衰退:对改善衰老过程中的脑健康具有重要意义。

GlyNAC (Glycine and N-Acetylcysteine) Supplementation in Old Mice Improves Brain Glutathione Deficiency, Oxidative Stress, Glucose Uptake, Mitochondrial Dysfunction, Genomic Damage, Inflammation and Neurotrophic Factors to Reverse Age-Associated Cognitive Decline: Implications for Improving Brain Health in Aging.

作者信息

Kumar Premranjan, Osahon Ob W, Sekhar Rajagopal V

机构信息

Translational Metabolism Unit, Section of Endocrinology, Diabetes and Metabolism, Department of Medicine, Baylor College of Medicine, Houston, TX 77030, USA.

出版信息

Antioxidants (Basel). 2023 May 4;12(5):1042. doi: 10.3390/antiox12051042.

Abstract

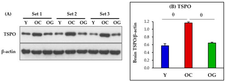
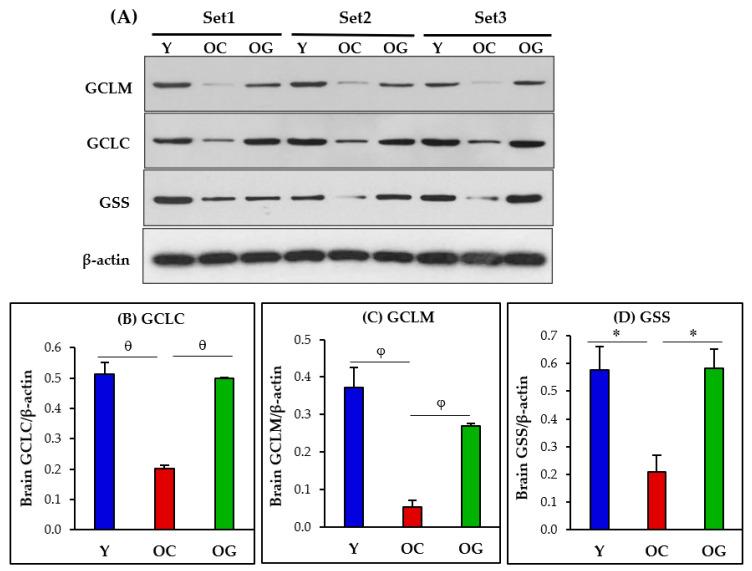
Cognitive decline frequently occurs with increasing age, but mechanisms contributing to age-associated cognitive decline (ACD) are not well understood and solutions are lacking. Understanding and reversing mechanisms contributing to ACD are important because increased age is identified as the single most important risk factor for dementia. We reported earlier that ACD in older humans is associated with glutathione (GSH) deficiency, oxidative stress (OxS), mitochondrial dysfunction, glucose dysmetabolism and inflammation, and that supplementing GlyNAC (glycine and N-acetylcysteine) improved these defects. To test whether these defects occur in the brain in association with ACD, and could be improved/reversed with GlyNAC supplementation, we studied young (20-week) and old (90-week) C57BL/6J mice. Old mice received either regular or GlyNAC supplemented diets for 8 weeks, while young mice received the regular diet. Cognition and brain outcomes (GSH, OxS, mitochondrial energetics, autophagy/mitophagy, glucose transporters, inflammation, genomic damage and neurotrophic factors) were measured. Compared to young mice, the old-control mice had significant cognitive impairment and multiple brain defects. GlyNAC supplementation improved/corrected the brain defects and reversed ACD. This study finds that naturally-occurring ACD is associated with multiple abnormalities in the brain, and provides proof-of-concept that GlyNAC supplementation corrects these defects and improves cognitive function in aging.

摘要

认知能力下降常随年龄增长而出现,但导致年龄相关性认知下降(ACD)的机制尚未完全明确,且缺乏解决方案。了解并逆转导致ACD的机制很重要,因为年龄增长被认为是痴呆症最重要的单一风险因素。我们之前报道过,老年人的ACD与谷胱甘肽(GSH)缺乏、氧化应激(OxS)、线粒体功能障碍、葡萄糖代谢异常及炎症有关,补充甘氨酸N-乙酰半胱氨酸(GlyNAC)可改善这些缺陷。为了测试这些缺陷是否与大脑中的ACD相关,以及补充GlyNAC是否能改善/逆转这些缺陷,我们研究了年轻(20周龄)和老年(90周龄)的C57BL/6J小鼠。老年小鼠接受常规饮食或补充GlyNAC的饮食8周,而年轻小鼠接受常规饮食。测量了认知和大脑相关指标(GSH、OxS、线粒体能量代谢、自噬/线粒体自噬、葡萄糖转运蛋白、炎症、基因组损伤和神经营养因子)。与年轻小鼠相比,老年对照小鼠存在明显的认知障碍和多种大脑缺陷。补充GlyNAC改善/纠正了大脑缺陷并逆转了ACD。本研究发现,自然发生的ACD与大脑中的多种异常有关,并提供了概念验证,即补充GlyNAC可纠正这些缺陷并改善衰老过程中的认知功能。

https://cdn.ncbi.nlm.nih.gov/pmc/blobs/b910/10215265/7e69392f9fae/antioxidants-12-01042-g001.jpg

文献检索

告别复杂PubMed语法,用中文像聊天一样搜索,搜遍4000万医学文献。AI智能推荐,让科研检索更轻松。

立即免费搜索

文件翻译

保留排版,准确专业,支持PDF/Word/PPT等文件格式,支持 12+语言互译。

免费翻译文档

深度研究

AI帮你快速写综述,25分钟生成高质量综述,智能提取关键信息,辅助科研写作。

立即免费体验