Suppr超能文献

在前列腺癌初始分期中,通过镓-前列腺特异性膜抗原(Ga-PSMA)正电子发射断层扫描/计算机断层扫描(PET/CT),椎体血管瘤出现强烈的PSMA摄取,酷似孤立性骨转移。

Intense PSMA Uptake in a Vertebral Hemangioma Mimicking a Solitary Bone Metastasis in the Primary Staging of Prostate Cancer via Ga-PSMA PET/CT.

作者信息

Gossili Farid, Lyngby Clarissa G, Løgager Vibeke, Zacho Helle D

机构信息

Department of Nuclear Medicine and Clinical Cancer Research Center, Aalborg University Hospital, 9000 Aalborg, Denmark.

Department of Clinical Medicine, Aalborg University, 9000 Aalborg, Denmark.

出版信息

Diagnostics (Basel). 2023 May 13;13(10):1730. doi: 10.3390/diagnostics13101730.

Abstract

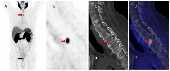
A 78-year-old man with newly diagnosed high-risk prostate cancer underwent Ga-PSMA PET/CT for primary staging. This showed a single, very intense PSMA uptake in the vertebral body of Th2, without discrete morphological changes on low-dose CT. Thus, the patient was considered oligometastatic and underwent MRI of the spine for stereotactic radiotherapy planning. MRI demonstrated an atypical hemangioma in Th2. A bone algorithm CT scan confirmed the MRI findings. The treatment was changed, and the patient underwent a prostatectomy with no concomitant therapy. At three and six months after the prostatectomy, the patient had an unmeasurable PSA level, confirming the benign etiology of the lesion.

摘要

一名78岁新诊断为高危前列腺癌的男性接受了镓-前列腺特异性膜抗原(Ga-PSMA)正电子发射断层扫描/计算机断层扫描(PET/CT)进行初步分期。结果显示在胸2椎体有单一、非常强烈的PSMA摄取,低剂量CT上无明显形态学改变。因此,该患者被认为是寡转移,并接受了脊柱磁共振成像(MRI)以进行立体定向放射治疗规划。MRI显示胸2椎体有非典型血管瘤。骨算法CT扫描证实了MRI的结果。治疗方案改变,患者接受了前列腺切除术,未进行辅助治疗。前列腺切除术后三个月和六个月,患者的前列腺特异性抗原(PSA)水平不可测,证实了病变的良性病因。

https://cdn.ncbi.nlm.nih.gov/pmc/blobs/2c98/10217523/e34a43d8d624/diagnostics-13-01730-g001.jpg

文献AI研究员

20分钟写一篇综述,助力文献阅读效率提升50倍。

立即体验

用中文搜PubMed

大模型驱动的PubMed中文搜索引擎

马上搜索

文档翻译

学术文献翻译模型,支持多种主流文档格式。

立即体验