Suppr超能文献

不同图案的3D打印钛晶格结构中骨长入的比较分析

Comparative Analysis of Bone Ingrowth in 3D-Printed Titanium Lattice Structures with Different Patterns.

作者信息

Kovács Ágnes Éva, Csernátony Zoltán, Csámer Loránd, Méhes Gábor, Szabó Dániel, Veres Mihály, Braun Mihály, Harangi Balázs, Serbán Norbert, Zhang Lei, Falk György, Soósné Horváth Hajnalka, Manó Sándor

机构信息

Laboratory of Biomechanics, Department of Orthopaedic Surgery, Faculty of Medicine, University of Debrecen, H-4032 Debrecen, Hungary.

Department of Pathology, Faculty of Medicine, University of Debrecen, H-4032 Debrecen, Hungary.

出版信息

Materials (Basel). 2023 May 20;16(10):3861. doi: 10.3390/ma16103861.

Abstract

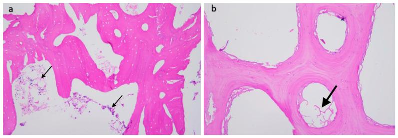
In this study, metal 3D printing technology was used to create lattice-shaped test specimens of orthopedic implants to determine the effect of different lattice shapes on bone ingrowth. Six different lattice shapes were used: gyroid, cube, cylinder, tetrahedron, double pyramid, and Voronoi. The lattice-structured implants were produced from Ti6Al4V alloy using direct metal laser sintering 3D printing technology with an EOS M290 printer. The implants were implanted into the femoral condyles of sheep, and the animals were euthanized 8 and 12 weeks after surgery. To determine the degree of bone ingrowth for different lattice-shaped implants, mechanical, histological, and image processing tests on ground samples and optical microscopic images were performed. In the mechanical test, the force required to compress the different lattice-shaped implants and the force required for a solid implant were compared, and significant differences were found in several instances. Statistically evaluating the results of our image processing algorithm, it was found that the digitally segmented areas clearly consisted of ingrown bone tissue; this finding is also supported by the results of classical histological processing. Our main goal was realized, so the bone ingrowth efficiencies of the six lattice shapes were ranked. It was found that the gyroid, double pyramid, and cube-shaped lattice implants had the highest degree of bone tissue growth per unit time. This ranking of the three lattice shapes remained the same at both 8 and 12 weeks after euthanasia. In accordance with the study, as a side project, a new image processing algorithm was developed that proved suitable for determining the degree of bone ingrowth in lattice implants from optical microscopic images. Along with the cube lattice shape, whose high bone ingrowth values have been previously reported in many studies, it was found that the gyroid and double pyramid lattice shapes produced similarly good results.

摘要

在本研究中,采用金属3D打印技术制作骨科植入物的格子状测试样本,以确定不同格子形状对骨长入的影响。使用了六种不同的格子形状:类螺旋体、立方体、圆柱体、四面体、双金字塔和沃罗诺伊图。采用直接金属激光烧结3D打印技术,使用EOS M290打印机,由Ti6Al4V合金制作格子结构植入物。将植入物植入绵羊的股骨髁,术后8周和12周对动物实施安乐死。为了确定不同格子形状植入物的骨长入程度,对研磨后的样本和光学显微镜图像进行了力学、组织学和图像处理测试。在力学测试中,比较了压缩不同格子形状植入物所需的力和实心植入物所需的力,在多个实例中发现了显著差异。通过对图像处理算法的结果进行统计评估,发现数字分割区域明显由长入骨组织组成;这一发现也得到了经典组织学处理结果的支持。我们的主要目标得以实现,因此对六种格子形状的骨长入效率进行了排名。发现类螺旋体、双金字塔和立方体形状格子植入物的单位时间骨组织生长程度最高。在安乐死后8周和12周,这三种格子形状的排名保持不变。根据该研究,作为一个附带项目,开发了一种新的图像处理算法,该算法被证明适用于从光学显微镜图像确定格子植入物中的骨长入程度。除了立方体格子形状(此前在许多研究中已报道其具有较高的骨长入值)外,还发现类螺旋体和双金字塔格子形状产生了类似的良好结果。

https://cdn.ncbi.nlm.nih.gov/pmc/blobs/8a28/10223620/2d7d5fd1b8b3/materials-16-03861-g001.jpg

相似文献

3
Does implantation site influence bone ingrowth into 3D-printed porous implants?
Spine J. 2019 Nov;19(11):1885-1898. doi: 10.1016/j.spinee.2019.06.020. Epub 2019 Jun 28.
6
Characterization of bone ingrowth and interface mechanics of a new porous 3D printed biomaterial: an animal study.
Bone Joint J. 2019 Jun;101-B(6_Supple_B):62-67. doi: 10.1302/0301-620X.101B6.BJJ-2018-1472.R1.
7
Novel adaptive finite element algorithms to predict bone ingrowth in additive manufactured porous implants.
J Mech Behav Biomed Mater. 2018 Nov;87:230-239. doi: 10.1016/j.jmbbm.2018.07.019. Epub 2018 Jul 12.
10
Effect of different structures fabricated by additive manufacturing on bone ingrowth.
J Biomater Appl. 2022 May;36(10):1863-1872. doi: 10.1177/08853282211064398. Epub 2022 Feb 28.

引用本文的文献

本文引用的文献

1
A morphological, topological and mechanical investigation of gyroid, spinodoid and dual-lattice algorithms as structural models of trabecular bone.
J Mech Behav Biomed Mater. 2023 Feb;138:105584. doi: 10.1016/j.jmbbm.2022.105584. Epub 2022 Nov 18.
2
Design of a Novel Trabecular Acetabular Cup and Selective Laser Melting Fabrication.
Materials (Basel). 2022 Sep 4;15(17):6142. doi: 10.3390/ma15176142.
3
Architected Materials for Additive Manufacturing: A Comprehensive Review.
Materials (Basel). 2022 Aug 26;15(17):5919. doi: 10.3390/ma15175919.
4
Corrosion Resistance of 3D Printed Ti6Al4V Gyroid Lattices with Varying Porosity.
Materials (Basel). 2022 Jul 9;15(14):4805. doi: 10.3390/ma15144805.
5
Experimental Research of Selected Lattice Structures Developed with 3D Printing Technology.
Materials (Basel). 2022 Jan 5;15(1):378. doi: 10.3390/ma15010378.
7
High-strength, porous additively manufactured implants with optimized mechanical osseointegration.
Biomaterials. 2021 Dec;279:121206. doi: 10.1016/j.biomaterials.2021.121206. Epub 2021 Oct 22.
8
Influence of porous tantalum scaffold pore size on osteogenesis and osteointegration: A comprehensive study based on 3D-printing technology.
Mater Sci Eng C Mater Biol Appl. 2021 Oct;129:112382. doi: 10.1016/j.msec.2021.112382. Epub 2021 Aug 19.
10
3D printed Ti6Al4V bone scaffolds with different pore structure effects on bone ingrowth.
J Biol Eng. 2021 Jan 21;15(1):4. doi: 10.1186/s13036-021-00255-8.

文献AI研究员

20分钟写一篇综述,助力文献阅读效率提升50倍。

立即体验

用中文搜PubMed

大模型驱动的PubMed中文搜索引擎

马上搜索

文档翻译

学术文献翻译模型,支持多种主流文档格式。

立即体验