Suppr超能文献

并非又一例胸腔积液:转移性子宫内膜间质肉瘤的独特病例

Not Another Pleural Effusion: A Unique Case of Metastatic Endometrial Stromal Sarcoma.

作者信息

Ramirez Andrea, Yazdi Fereshteh, Lakra Rachaita, Lee Jennifer, Charoenpong Prangthip

机构信息

Pulmonology and Critical Care Medicine, Louisiana State University Health Shreveport, Shreveport, USA.

Internal Medicine, Louisiana State University Health Shreveport, Shreveport, USA.

出版信息

Cureus. 2023 Apr 30;15(4):e38341. doi: 10.7759/cureus.38341. eCollection 2023 Apr.

Abstract

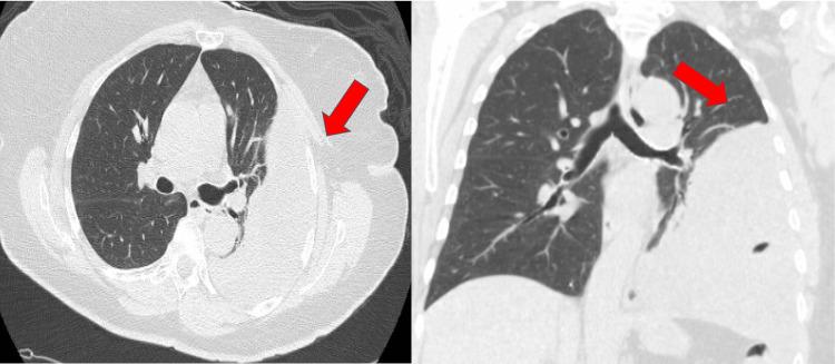
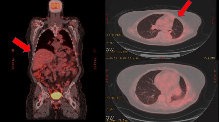
The etiology of complicated pleural effusion can be vast. We present a unique case of an unsuspected metastatic endometrial stromal sarcoma (ESS) in an asymptomatic patient with an incidentally found complicated pleural effusion. A 69-year-old female with no pertinent past medical history was referred to pulmonology for an effusion noted on a routine chest X-ray. Her surgical history was significant for a hysterectomy. At the time of evaluation in the pulmonology clinic, the patient was asymptomatic with stable vital signs. Computed tomography of her chest showed a complex pleural effusion which was drained by cardiothoracic surgery. Fluid analysis results were positive for estrogen and progesterone receptor-positive mesenchymal tumor. Follow-up imaging was negative for any other metastasis. Appropriate management and drainage of this asymptomatic pleural effusion resulted in the diagnosis of a rare malignancy. Given the good clinical prognosis of mesenchymal tumors, the patient was appropriately treated and doing well. We present the case of a patient who was found to have a rare malignancy rather than a benign chronic pleural effusion, as previously suspected. This neoplasm represented a metastatic ESS, especially in this patient's setting of a hysterectomy.

摘要

复杂性胸腔积液的病因可能多种多样。我们报告了一例独特的病例,一名无症状患者偶然发现有复杂性胸腔积液,最终确诊为未被怀疑的转移性子宫内膜间质肉瘤(ESS)。一名69岁女性,既往无相关病史,因常规胸部X线检查发现胸腔积液而转诊至肺科。她有子宫切除手术史。在肺科门诊评估时,患者无症状,生命体征稳定。胸部计算机断层扫描显示有复杂性胸腔积液,由心胸外科进行了引流。液体分析结果显示雌激素和孕激素受体阳性的间叶组织肿瘤。后续影像学检查未发现其他转移灶。对这种无症状胸腔积液进行适当的处理和引流后,诊断出一种罕见的恶性肿瘤。鉴于间叶组织肿瘤良好的临床预后,患者得到了适当的治疗,情况良好。我们报告了一例患者,该患者被发现患有罕见的恶性肿瘤,而非如之前所怀疑的良性慢性胸腔积液。这种肿瘤为转移性ESS,特别是在该患者有子宫切除史的情况下。

https://cdn.ncbi.nlm.nih.gov/pmc/blobs/d2b0/10228835/3f4cab6b46d1/cureus-0015-00000038341-i01.jpg

文献AI研究员

20分钟写一篇综述,助力文献阅读效率提升50倍。

立即体验

用中文搜PubMed

大模型驱动的PubMed中文搜索引擎

马上搜索

文档翻译

学术文献翻译模型,支持多种主流文档格式。

立即体验