Napolitano Carmela, Grutter Giorgia, Francalanci Paola, Amodeo Antonio, Secinaro Aurelio
Advanced Cardiovascular Imaging Unit, Bambino Gesù Children's Hospital, IRCCS, Rome, Italy.
Heart Failure, Transplantation and Cardio-Respiratory Mechanical Assistance Unit, Bambino Gesù Children's Hospital, IRCCS, Rome, Italy.
Front Cardiovasc Med. 2023 May 17;10:1123212. doi: 10.3389/fcvm.2023.1123212. eCollection 2023.
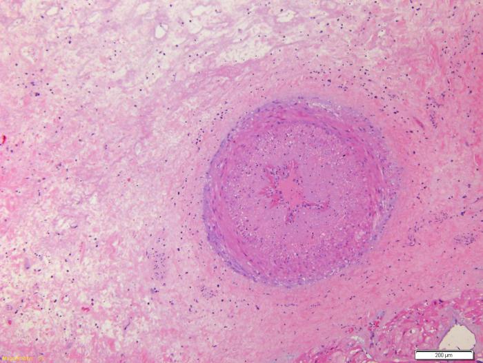
Heart transplant recipients undergo extensive invasive and non-invasive postoperative screening to exclude complications, such as allograft rejection and vasculopathy. Cardiac magnetic resonance imaging is a non-invasive, non-irradiating, diagnostic tool for monitoring graft health and identifying possible tissue rejection or myocardial fibrosis. We describe the case of a 29-year-old female heart transplant recipient admitted to our care center with a worsening clinical condition. The patient underwent clinical evaluation, blood tests, including troponin I and N-terminal pro brain type natriuretic peptide, transthoracic echocardiography, invasive coronary angiography, and cardiovascular magnetic resonance imaging. Cardiovascular magnetic resonance imaging showed widespread sub-epicardial hyperintensity of the myocardial segments along the course of the coronary arteries. T2 mapping sequences showed an elevated value and the myocardial native T1 values and extracellular volume percentage were significantly increased. Late gadolinium enhancement demonstrated a diffuse sub-epicardial hypersignal along the lateral, free, and left ventricular walls. All the sequences evidenced widespread hyper-enhancement of epicardial fat along the course of the thickened main coronary artery walls. One month later, the recipient underwent re-transplantation due to progressive worsening of the clinical condition and refractoriness to intravenous medication. The anatomopathological findings of the explanted heart provided impressive visualization of structural and histopathological changes. These results could guide the tailoring of preventive therapeutic strategies and non-invasive monitoring of cardiac grafts.
心脏移植受者术后要接受广泛的有创和无创检查以排除并发症,如移植物排斥反应和血管病变。心脏磁共振成像(CMR)是一种无创、无辐射的诊断工具,用于监测移植物健康状况并识别可能的组织排斥反应或心肌纤维化。我们描述了一名29岁女性心脏移植受者的病例,该患者因临床状况恶化入住我们的护理中心。患者接受了临床评估、血液检查,包括肌钙蛋白I和N末端脑钠肽前体、经胸超声心动图、有创冠状动脉造影以及心血管磁共振成像。心血管磁共振成像显示沿冠状动脉走行的心肌节段广泛的心外膜下高信号。T2 mapping序列显示值升高,心肌固有T1值和细胞外容积百分比显著增加。延迟钆增强显示沿侧壁、游离壁和左心室壁的心外膜下弥漫性高信号。所有序列均显示沿增厚的主要冠状动脉壁走行的心外膜脂肪广泛强化。一个月后,由于临床状况逐渐恶化且对静脉用药无效,该受者接受了再次移植。切除心脏的解剖病理学检查结果清晰地显示了结构和组织病理学变化。这些结果可为心脏移植物预防性治疗策略的制定和无创监测提供指导。