Halder Ajay, Gautam Gargi, Dubey Pankhuri, Patel Shweta, Yadav Shakti Kumar
Department of Obstetrics and Gynecology, All India Institute of Medical Sciences, Bhopal, Madhya Pradesh, India.
Department of Pathology and Lab Medicine, All India Institute of Medical Sciences, Bhopal, Madhya Pradesh, India.
Int J Appl Basic Med Res. 2023 Jan-Mar;13(1):50-52. doi: 10.4103/ijabmr.ijabmr_511_22. Epub 2023 Mar 27.
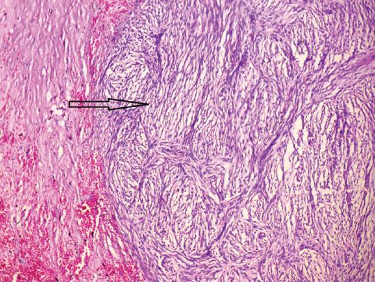
Ovarian stroma and surface epithelium develop from two different embryological primordia and give rise to tumors of distinct characteristics. The simultaneous presence of two kinds of ovarian tumors in one patient is rare. Concurrent presence of a large ovarian fibroma in one ovary, and a serous cystadenoma in the seemingly normal-looking contralateral ovary was found in a 55-year-old woman. The unusual coexistence of these tumors warrants a closer and longer follow-up of the patient. To the best of our knowledge, this is the fourth case to be reported in the literature. All surgically isolated tissues should undergo detailed histopathological examination, including normal-looking tissues which are excised as a part of the procedure.
卵巢间质和表面上皮起源于两个不同的胚胎原基,并产生具有不同特征的肿瘤。一名患者同时存在两种卵巢肿瘤的情况较为罕见。在一名55岁女性中,发现一侧卵巢有一个大的卵巢纤维瘤,而看似正常的对侧卵巢有一个浆液性囊腺瘤。这些肿瘤不寻常的共存情况需要对患者进行更密切和长期的随访。据我们所知,这是文献中报道的第四例病例。所有手术切除的组织都应进行详细的组织病理学检查,包括作为手术一部分切除的看似正常的组织。