Suppr超能文献

在重要的民族药用灌木锡兰肉豆蔻(Thottea siliquosa (Lamk.) Ding Hou.)的微繁殖过程中控制培养基褐变,并评估离体培养植株和母株的生化特性及克隆稳定性。

Control of media browning during micropropagation and assessment of biochemical and clonal fidelity of in vitro-derived and mother plants in Thottea siliquosa (Lamk.) Ding Hou., an important ethnomedicinal shrub.

作者信息

Vrundha Chandran Padikkal Krishna, Thomas Thuruthiyil Dennis

机构信息

Department of Plant Science, Central University of Kerala, Tejaswini Hills, Periye (PO), Kasaragod, Kerala, PIN-671320, India.

出版信息

J Genet Eng Biotechnol. 2023 Jun 2;21(1):70. doi: 10.1186/s43141-023-00523-8.

Abstract

BACKGROUND

Thottea siliquosa (Lamk.) Ding Hou., an important medicinal shrub, is widely used in both ayurvedic and indigenous systems of medicine. Root being the most useful part, the plant is constantly uprooted and thus puts pressure on the natural population. Until date, no micropropagation study is available in this plant. The objective of the study is to develop an efficient in vitro propagation protocol and assessment of clonal fidelity of T. siliquosa.

RESULTS

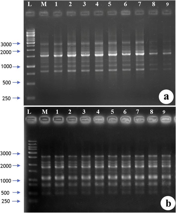
Media browning was a serious issue during micropropagation, and the addition of 40.0 mg/L ascorbic acid reduced the media browning. For direct shoot regeneration, the optimum response (92% frequency with 20.9 shoots per explant) was obtained when 7-day-old cotyledons were cultured on WPM supplemented with 1.0 mg/L thidiazuron and 0.25 mg/L α-naphthalene acetic acid. The cultures were transferred to WPM augmented with 0.4 mg/L thidiazuron for shoot elongation and growth. On this medium, 100% of cultures responded with a mean number of 27.6 shoots. For callus induction, MS medium with 1.0 mg/L 2,4-dichlorophenoxyacetic acid and 0.5 mg/L N-benzylaminopurin was used. Shoot organogenesis was initiated on the same medium, and calli with minute shoots were transferred to MS medium fortified with 0.5 mg/L N-benzylaminopurin and 0.25 mg/L α-naphthalene acetic acid for highest shoot regeneration (100% cultures responded with a mean number of 26.5 shoots per explant). Maximum rooting frequency (82%) and number (20.8) were obtained on half-strength MS medium with 1.0 mg/L indole-3-butyric acid. The rooted plants were acclimatized and transferred to the field. The HPTLC and SCoT analysis revealed the phytochemical and clonal similarity between the in vitro propagated plants and mother plant.

CONCLUSIONS

In this study, it is confirmed that cotyledon is an excellent explant for direct and indirect shoot organogenesis in T. siliquosa. For direct shoot induction WPM and indirect organogenesis, MS medium was found to give better response. The true-to-type nature of in vitro-derived plants were confirmed by phytochemical and SCoT analysis. The protocol described here could be used for the large-scale propagation of elite clones of T. siliquosa.

摘要

背景

长柄马兜铃(Thottea siliquosa (Lamk.) Ding Hou.)是一种重要的药用灌木,在阿育吠陀医学和本土医学体系中都有广泛应用。根是最有用的部分,该植物不断被连根拔起,从而给自然种群带来压力。迄今为止,尚未有关于该植物微繁殖的研究。本研究的目的是建立一种高效的离体繁殖方案,并评估长柄马兜铃的克隆保真度。

结果

在微繁殖过程中,培养基褐变是一个严重问题,添加40.0 mg/L抗坏血酸可减少培养基褐变。对于直接芽再生,将7日龄子叶接种在添加1.0 mg/L噻苯隆和0.25 mg/L α-萘乙酸的WPM培养基上时,获得了最佳响应(频率为92%,每个外植体有20.9个芽)。将培养物转移到添加0.4 mg/L噻苯隆的WPM培养基上进行芽伸长和生长。在该培养基上,100%的培养物有响应,平均芽数为27.6个。对于愈伤组织诱导,使用添加1.0 mg/L 2,4-二氯苯氧乙酸和0.5 mg/L N-苄基腺嘌呤的MS培养基。在同一培养基上启动芽器官发生,将带有微小芽的愈伤组织转移到添加0.5 mg/L N-苄基腺嘌呤和0.25 mg/L α-萘乙酸的MS培养基上,以实现最高的芽再生率(100%的培养物有响应,每个外植体平均芽数为26.5个)。在添加1.0 mg/L吲哚-3-丁酸的1/2强度MS培养基上获得了最高生根频率(82%)和生根数(20.8条)。生根植株经过炼苗后移栽到田间。HPTLC和SCoT分析揭示了离体繁殖植株与母株之间的植物化学和克隆相似性。

结论

本研究证实,子叶是长柄马兜铃直接和间接芽器官发生的优良外植体。对于直接芽诱导,WPM培养基效果较好,对于间接器官发生,MS培养基效果较好。通过植物化学和SCoT分析证实了离体再生植株的真实性。本文所述方案可用于长柄马兜铃优良克隆的大规模繁殖。

https://cdn.ncbi.nlm.nih.gov/pmc/blobs/7002/10236102/26f2ac499b47/43141_2023_523_Fig1_HTML.jpg

文献AI研究员

20分钟写一篇综述,助力文献阅读效率提升50倍。

立即体验

用中文搜PubMed

大模型驱动的PubMed中文搜索引擎

马上搜索

文档翻译

学术文献翻译模型,支持多种主流文档格式。

立即体验