• 文献检索
  • 文档翻译
  • 深度研究
  • 学术资讯
  • Suppr Zotero 插件Zotero 插件
  • 邀请有礼
  • 套餐&价格
  • 历史记录
应用&插件
Suppr Zotero 插件Zotero 插件浏览器插件Mac 客户端Windows 客户端微信小程序
定价
高级版会员购买积分包购买API积分包
服务
文献检索文档翻译深度研究API 文档MCP 服务
关于我们
关于 Suppr公司介绍联系我们用户协议隐私条款
关注我们

Suppr 超能文献

核心技术专利:CN118964589B侵权必究
粤ICP备2023148730 号-1Suppr @ 2026

文献检索

告别复杂PubMed语法,用中文像聊天一样搜索,搜遍4000万医学文献。AI智能推荐,让科研检索更轻松。

立即免费搜索

文件翻译

保留排版,准确专业,支持PDF/Word/PPT等文件格式,支持 12+语言互译。

免费翻译文档

深度研究

AI帮你快速写综述,25分钟生成高质量综述,智能提取关键信息,辅助科研写作。

立即免费体验

氨磷汀对大鼠胫骨钛种植体骨整合的放射防护作用。

Radioprotective role of amifostine on osteointegration of titanium implants in the tibia of rats.

机构信息

Ataturk University, Department of Medical Pharmacology, Erzurum 25240, Turkey.

Atatürk University, Faculty of Veterinary, Department of Histology and Embryology, Erzurum 25240, Turkey.

出版信息

J Vet Sci. 2023 May;24(3):e35. doi: 10.4142/jvs.23023.

DOI:10.4142/jvs.23023
PMID:37271503
原文链接:https://pmc.ncbi.nlm.nih.gov/articles/PMC10244126/
Abstract

BACKGROUND

Titanium is the most widely used metal for bone integration, especially for cancer patients receiving ionizing radiation. This study aimed to investigate the amifostine administration that would reduce the effects of radiation on bone healing and osseointegration in rat models.

OBJECTIVES

It is aimed that the application of amifostine in rats receiving radiotherapy treatment will reduce the negative effects of ionizing radiation on the bone.

METHODS

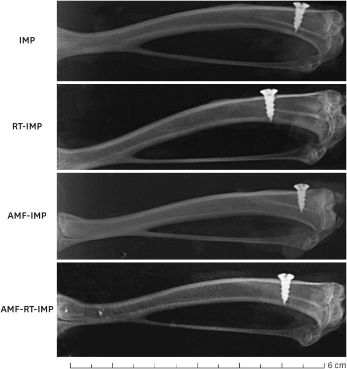
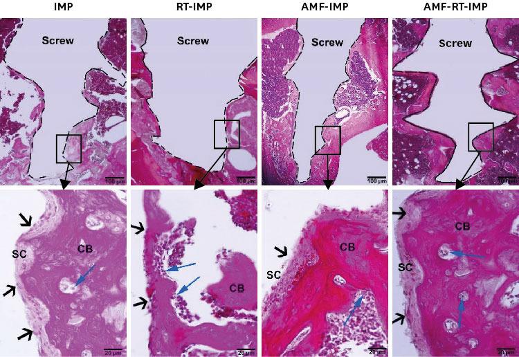
Thirty-five adult male Wistar rats were randomly divided into one healthy and four experimental groups. In three consecutive days, two experimental groups of rats (AMF-RT-IMP and RT-IMP) were exposed to radiation (15 Gy/3 fractions of 5 Gy each). Then the titanium implants were inserted into the left tibia. Before the radiotherapy process, a 200 mg/kg dose of amifostine (AMF) was administered to the rats in the AMF-IMP and AMF-RT-IMP groups. Twenty-eight days after the screw implant, all rats were sacrificed, and their blood samples and tibia bones were collected for analysis.

RESULTS

The results indicated an accelerated bone formation and a more rapid healing process in the screw implants in the AMF-IMP, AMF-RT-IMP, and AMF-RT groups than in the RT-IMP group. Also, bone-implant contact area measurement and inflammation decreased with amifostine treatment in the implants subjected to irradiation ( < 0.05).

CONCLUSIONS

The results obtained in the present study suggested that amifostine prevents the losses of bone minerals, bone integrity, and implant position from ionizing-radiation when given before exposure.

摘要

背景

钛是最常用于骨整合的金属,尤其适用于接受电离辐射的癌症患者。本研究旨在探讨氨磷汀给药可减少电离辐射对大鼠模型骨愈合和骨整合的影响。

目的

旨在研究氨磷汀在接受放射治疗的大鼠中的应用将减少电离辐射对骨骼的负面影响。

方法

35 只成年雄性 Wistar 大鼠随机分为健康组和 4 个实验组。连续 3 天,两组实验组大鼠(AMF-RT-IMP 和 RT-IMP)接受辐射(15Gy/3 次,每次 5Gy)。然后将钛植入物插入左胫骨。在放射治疗前,AMF-IMP 和 AMF-RT-IMP 组的大鼠给予 200mg/kg 剂量的氨磷汀(AMF)。在螺钉植入后 28 天,所有大鼠被处死,收集其血液样本和胫骨进行分析。

结果

结果表明,与 RT-IMP 组相比,AMF-IMP、AMF-RT-IMP 和 AMF-RT 组的螺钉植入物中骨形成加速,愈合过程更快。此外,在接受照射的植入物中,氨磷汀治疗可减少骨-植入物接触面积测量值和炎症(<0.05)。

结论

本研究结果表明,氨磷汀可预防电离辐射暴露前给药对骨矿物质、骨完整性和植入物位置的丢失。

https://cdn.ncbi.nlm.nih.gov/pmc/blobs/6007/10244126/dc01d82a58ae/jvs-24-e35-g003.jpg
https://cdn.ncbi.nlm.nih.gov/pmc/blobs/6007/10244126/049380773ce7/jvs-24-e35-g001.jpg
https://cdn.ncbi.nlm.nih.gov/pmc/blobs/6007/10244126/170da8b4c0c5/jvs-24-e35-g002.jpg
https://cdn.ncbi.nlm.nih.gov/pmc/blobs/6007/10244126/dc01d82a58ae/jvs-24-e35-g003.jpg
https://cdn.ncbi.nlm.nih.gov/pmc/blobs/6007/10244126/049380773ce7/jvs-24-e35-g001.jpg
https://cdn.ncbi.nlm.nih.gov/pmc/blobs/6007/10244126/170da8b4c0c5/jvs-24-e35-g002.jpg
https://cdn.ncbi.nlm.nih.gov/pmc/blobs/6007/10244126/dc01d82a58ae/jvs-24-e35-g003.jpg

相似文献

1
Radioprotective role of amifostine on osteointegration of titanium implants in the tibia of rats.氨磷汀对大鼠胫骨钛种植体骨整合的放射防护作用。
J Vet Sci. 2023 May;24(3):e35. doi: 10.4142/jvs.23023.
2
Prophylactic administration of Amifostine protects vessel thickness in the setting of irradiated bone.氨磷汀的预防性给药可保护受辐照骨骼情况下的血管厚度。
J Plast Reconstr Aesthet Surg. 2015 Jan;68(1):98-103. doi: 10.1016/j.bjps.2014.08.054. Epub 2014 Aug 30.
3
Tissue-protective effects of fullerenol C60(OH)24 and amifostine in irradiated rats.富勒醇C60(OH)24和氨磷汀对辐照大鼠的组织保护作用
Colloids Surf B Biointerfaces. 2007 Jul 1;58(1):39-43. doi: 10.1016/j.colsurfb.2007.01.005. Epub 2007 Jan 16.
4
Sparing radiation-induced damage to the physis by radioprotectant drugs: laboratory analysis in a rat model.放射防护药物减轻辐射对生长板的损伤:大鼠模型的实验室分析
J Orthop Res. 1999 Mar;17(2):286-92. doi: 10.1002/jor.1100170219.
5
Radioprotection With Amifostine Enhances Bone Strength and Regeneration and Bony Union in a Rat Model of Mandibular Distraction Osteogenesis.氨磷汀放射防护增强下颌骨牵张成骨大鼠模型的骨强度、再生及骨愈合
Ann Plast Surg. 2018 Feb;80(2):176-180. doi: 10.1097/SAP.0000000000001209.
6
Comparison of protective effects of L-carnitine and amifostine on radiation-induced toxicity to growing bone: histopathology and scintigraphy findings.L-肉碱与氨磷汀对生长中骨骼辐射诱导毒性的保护作用比较:组织病理学和骨闪烁显像结果
Asian Pac J Cancer Prev. 2010;11(3):661-7.
7
Histologic Improvements in Irradiated Bone Through Pharmaceutical Intervention in Mandibular Distraction Osteogenesis.通过药物干预下颌骨牵张成骨对辐射骨进行组织学改善。
J Oral Maxillofac Surg. 2018 Dec;76(12):2660-2668. doi: 10.1016/j.joms.2018.05.013. Epub 2018 May 19.
8
The role of amifostine in preventing radiotherapy induced testicular tissue damage in rats.氨磷汀在预防大鼠放射性睾丸组织损伤中的作用。
Biotech Histochem. 2022 Apr;97(3):215-221. doi: 10.1080/10520295.2021.1933178. Epub 2021 Jun 1.
9
Raman spectroscopy demonstrates Amifostine induced preservation of bone mineralization patterns in the irradiated murine mandible.拉曼光谱显示氨磷汀可保护受照射的鼠下颌骨的矿化模式。
Bone. 2013 Feb;52(2):712-717. doi: 10.1016/j.bone.2012.07.029. Epub 2012 Aug 3.
10
The histopathological comparison of L-carnitine with amifostine for protective efficacy on radiation-induced acute small intestinal toxicity.左旋肉碱与氨磷汀对放射性急性小肠毒性保护作用的组织病理学比较
J Cancer Res Ther. 2012 Apr-Jun;8(2):260-5. doi: 10.4103/0973-1482.98982.

本文引用的文献

1
A comparison of three decalcification agents for assessments of cranial fracture histomorphology.三种脱钙剂用于颅骨骨折组织形态学评估的比较。
J Forensic Sci. 2022 May;67(3):1157-1166. doi: 10.1111/1556-4029.14990. Epub 2022 Feb 2.
2
Melatonin prevents radiation-induced oxidative stress and periodontal tissue breakdown in irradiated rats with experimental periodontitis.褪黑素可预防实验性牙周炎辐照大鼠中辐射诱导的氧化应激和牙周组织破坏。
J Periodontal Res. 2017 Jun;52(3):438-446. doi: 10.1111/jre.12409. Epub 2016 Aug 11.
3
Therapeutic Effects of Melatonin on Alveolar Bone Resorption After Experimental Periodontitis in Rats: A Biochemical and Immunohistochemical Study.
褪黑素对大鼠实验性牙周炎后牙槽骨吸收的治疗作用:一项生化和免疫组织化学研究。
J Periodontol. 2015 Jul;86(7):874-81. doi: 10.1902/jop.2015.140599. Epub 2015 Mar 27.
4
Amifostine alleviates radiation-induced lethal small bowel damage via promotion of 14-3-3σ-mediated nuclear p53 accumulation.氨磷汀通过促进14-3-3σ介导的细胞核p53积累减轻辐射诱导的致死性小肠损伤。
Oncotarget. 2014 Oct 30;5(20):9756-69. doi: 10.18632/oncotarget.2386.
5
Prophylactic amifostine preserves the biomechanical properties of irradiated bone in the murine mandible.预防性氨磷汀可保持受照射鼠下颌骨的生物力学特性。
Plast Reconstr Surg. 2014 Mar;133(3):314e-321e. doi: 10.1097/01.prs.0000438454.29980.f8.
6
Amifostine preserves osteocyte number and osteoid formation in fracture healing following radiotherapy.氨磷汀可在放疗后的骨折愈合过程中保留骨细胞数量并促进类骨质形成。
J Oral Maxillofac Surg. 2014 Mar;72(3):559-66. doi: 10.1016/j.joms.2013.09.006. Epub 2013 Dec 15.
7
Raman spectroscopy demonstrates prolonged alteration of bone chemical composition following extremity localized irradiation.拉曼光谱显示肢体局部照射后骨化学成分的长时间改变。
Bone. 2013 Nov;57(1):252-8. doi: 10.1016/j.bone.2013.08.014. Epub 2013 Aug 23.
8
Raman spectroscopy demonstrates Amifostine induced preservation of bone mineralization patterns in the irradiated murine mandible.拉曼光谱显示氨磷汀可保护受照射的鼠下颌骨的矿化模式。
Bone. 2013 Feb;52(2):712-717. doi: 10.1016/j.bone.2012.07.029. Epub 2012 Aug 3.
9
Quantitative histologic evidence of amifostine-induced cytoprotection in an irradiated murine model of mandibular distraction osteogenesis.定量组织学证据表明氨磷汀可诱导下颌骨牵张成骨放射治疗模型中的细胞保护作用。
Plast Reconstr Surg. 2012 Dec;130(6):1199-1207. doi: 10.1097/PRS.0b013e31826d2201.
10
Impact of diabetes mellitus and metabolic control on bone healing around osseointegrated implants: removal torque and histomorphometric analysis in rats.糖尿病及代谢控制对骨整合种植体周围骨愈合的影响:大鼠的去除扭矩和组织形态计量分析。
Clin Oral Implants Res. 2013 Jul;24(7):831-7. doi: 10.1111/j.1600-0501.2012.02467.x. Epub 2012 Apr 18.