• 文献检索
  • 文档翻译
  • 深度研究
  • 学术资讯
  • Suppr Zotero 插件Zotero 插件
  • 邀请有礼
  • 套餐&价格
  • 历史记录
应用&插件
Suppr Zotero 插件Zotero 插件浏览器插件Mac 客户端Windows 客户端微信小程序
定价
高级版会员购买积分包购买API积分包
服务
文献检索文档翻译深度研究API 文档MCP 服务
关于我们
关于 Suppr公司介绍联系我们用户协议隐私条款
关注我们

Suppr 超能文献

核心技术专利:CN118964589B侵权必究
粤ICP备2023148730 号-1Suppr @ 2026

文献检索

告别复杂PubMed语法,用中文像聊天一样搜索,搜遍4000万医学文献。AI智能推荐,让科研检索更轻松。

立即免费搜索

文件翻译

保留排版,准确专业,支持PDF/Word/PPT等文件格式,支持 12+语言互译。

免费翻译文档

深度研究

AI帮你快速写综述,25分钟生成高质量综述,智能提取关键信息,辅助科研写作。

立即免费体验

一名足球运动员足底筋膜急性破裂

Acute Rupture of the Plantar Fascia in a Soccer Player.

作者信息

Costa Diogo, Cruz Patrícia, Brito Rui, Cantista Pedro, Rodrigues-Gomes Sérgio

机构信息

Physical Medicine and Rehabilitation, Centro Hospitalar e Universitário do Porto, Porto, PRT.

Radiology, Espregueira-Mendes Sports Center, Porto, PRT.

出版信息

Cureus. 2023 May 4;15(5):e38527. doi: 10.7759/cureus.38527. eCollection 2023 May.

DOI:10.7759/cureus.38527
PMID:37273344
原文链接:https://pmc.ncbi.nlm.nih.gov/articles/PMC10239071/
Abstract

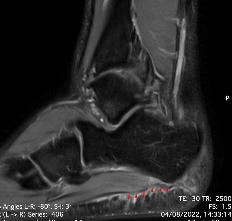
Acute rupture of the plantar fascia is a rare but potentially debilitating injury in athletes, particularly those involved in running and jumping sports. Early recognition and prompt treatment are crucial for a successful recovery and return to play. Conservative treatment, including rest, immobilization, and physical therapy, may be effective in most cases, while surgical intervention may be required in those that are nonresponsive to conservative treatment. We report a case of plantar fascia rupture in a 22-year-old male semi-professional football player who presented with sudden severe pain in the sole of his right foot during a match, followed by a popping sensation and inability to weight bear. The athlete was healthy and had no history of previous injury in the right foot. MRI confirmed a complete rupture of the plantar fascia. The player was treated conservatively and underwent a rehabilitation program. The player returned to full competition after nine weeks, with no limitations.

摘要

足底筋膜急性断裂在运动员中虽罕见但可能导致功能障碍,尤其是从事跑跳运动的运动员。早期识别和及时治疗对于成功康复和重返赛场至关重要。保守治疗,包括休息、固定和物理治疗,在大多数情况下可能有效,而对保守治疗无反应的患者可能需要手术干预。我们报告一例22岁男性半职业足球运动员足底筋膜破裂的病例,该运动员在比赛中突然感到右脚底剧痛,随后有爆裂感且无法负重。该运动员身体健康,右脚既往无受伤史。磁共振成像(MRI)证实足底筋膜完全断裂。该运动员接受了保守治疗并进行了康复计划。九周后该运动员恢复了全面比赛,没有任何限制。

https://cdn.ncbi.nlm.nih.gov/pmc/blobs/0251/10239071/59dfeccb0d1b/cureus-0015-00000038527-i03.jpg
https://cdn.ncbi.nlm.nih.gov/pmc/blobs/0251/10239071/e897fc1decad/cureus-0015-00000038527-i01.jpg
https://cdn.ncbi.nlm.nih.gov/pmc/blobs/0251/10239071/58d8371d2b0f/cureus-0015-00000038527-i02.jpg
https://cdn.ncbi.nlm.nih.gov/pmc/blobs/0251/10239071/59dfeccb0d1b/cureus-0015-00000038527-i03.jpg
https://cdn.ncbi.nlm.nih.gov/pmc/blobs/0251/10239071/e897fc1decad/cureus-0015-00000038527-i01.jpg
https://cdn.ncbi.nlm.nih.gov/pmc/blobs/0251/10239071/58d8371d2b0f/cureus-0015-00000038527-i02.jpg
https://cdn.ncbi.nlm.nih.gov/pmc/blobs/0251/10239071/59dfeccb0d1b/cureus-0015-00000038527-i03.jpg

相似文献

1
Acute Rupture of the Plantar Fascia in a Soccer Player.一名足球运动员足底筋膜急性破裂
Cureus. 2023 May 4;15(5):e38527. doi: 10.7759/cureus.38527. eCollection 2023 May.
2
Plantar fascia rupture in a professional soccer player.一名职业足球运动员的足底筋膜破裂
J Med Invest. 2014;61(3-4):413-6. doi: 10.2152/jmi.61.413.
3
Plantar Fascia Lateral Fascicle Rupture: How Severe Can It Be?足底筋膜外侧束断裂:其严重程度如何?
Cureus. 2022 Dec 27;14(12):e32987. doi: 10.7759/cureus.32987. eCollection 2022 Dec.
4
Spontaneous rupture of the plantar fascia: a case report.足底筋膜自发性破裂:一例报告
Front Rehabil Sci. 2024 Aug 27;5:1470002. doi: 10.3389/fresc.2024.1470002. eCollection 2024.
5
Ultrasound evaluation of a spontaneous plantar fascia rupture.超声评估自发性足底筋膜炎断裂。
Am J Phys Med Rehabil. 2010 Nov;89(11):941-4. doi: 10.1097/PHM.0b013e3181f711e2.
6
Surgical Repair of Complete Plantar Fascia Ruptures in High-Demand Power Athletes: An Alternative Treatment Option.高需求力量型运动员足底筋膜完全断裂的手术修复:一种替代治疗方案
J Foot Ankle Surg. 2020 Jan-Feb;59(1):195-200. doi: 10.1053/j.jfas.2019.07.018.
7
Plantar fascia ruptures in athletes.运动员足底筋膜破裂
Am J Sports Med. 2004 Apr-May;32(3):662-5. doi: 10.1177/0363546503261727.
8
Diagnosing Plantar Fascia Rupture.
Phys Sportsmed. 1995 Jan;23(1):65-69. doi: 10.1080/00913847.1995.11947734.
9
Ruptures of the Plantar Fascia: A Systematic Review of the Literature.足底筋膜炎的撕裂:文献系统回顾。
Foot Ankle Spec. 2022 Jun;15(3):272-282. doi: 10.1177/1938640020974889. Epub 2020 Dec 14.
10
Degenerative lesions of the plantar fascia: surgical treatment by fasciectomy and excision of the heel spur. A report on 38 cases.足底筋膜退行性病变:通过筋膜切除术和跟骨骨刺切除术进行手术治疗。38例报告。
Acta Orthop Belg. 2003 Jun;69(3):267-74.

引用本文的文献

1
Spontaneous rupture of the plantar fascia: a case report.足底筋膜自发性破裂:一例报告
Front Rehabil Sci. 2024 Aug 27;5:1470002. doi: 10.3389/fresc.2024.1470002. eCollection 2024.

本文引用的文献

1
Ruptures of the Plantar Fascia: A Systematic Review of the Literature.足底筋膜炎的撕裂:文献系统回顾。
Foot Ankle Spec. 2022 Jun;15(3):272-282. doi: 10.1177/1938640020974889. Epub 2020 Dec 14.
2
Rupture of plantar fascia: Current standard of therapy: A systematic literature review.足底筋膜炎的破裂:当前的治疗标准:系统文献回顾。
Foot Ankle Surg. 2020 Jun;26(4):358-362. doi: 10.1016/j.fas.2019.05.006. Epub 2019 May 14.
3
Imaging of plantar fascia disorders: findings on plain radiography, ultrasound and magnetic resonance imaging.
足底筋膜疾病的影像学检查:X线平片、超声及磁共振成像表现
Insights Imaging. 2017 Feb;8(1):69-78. doi: 10.1007/s13244-016-0533-2. Epub 2016 Dec 12.
4
Plantar fascia rupture in a professional soccer player.一名职业足球运动员的足底筋膜破裂
J Med Invest. 2014;61(3-4):413-6. doi: 10.2152/jmi.61.413.
5
Risk factors affecting chronic rupture of the plantar fascia.影响足底筋膜炎慢性撕裂的风险因素。
Foot Ankle Int. 2014 Mar;35(3):258-63. doi: 10.1177/1071100713514564. Epub 2013 Nov 25.
6
Getting to the heel of the problem: plantar fascia lesions.直击问题根源:足底筋膜损伤。
Clin Radiol. 2009 Sep;64(9):931-9. doi: 10.1016/j.crad.2009.02.020. Epub 2009 Jun 18.
7
Plantar fasciitis and the windlass mechanism: a biomechanical link to clinical practice.足底筋膜炎与辘轳机制:从生物力学联系到临床实践。
J Athl Train. 2004 Jan;39(1):77-82.
8
Pathologic conditions of the plantar fascia.足底筋膜的病理状况。
Clin Podiatr Med Surg. 2005 Jan;22(1):1-9, v. doi: 10.1016/j.cpm.2004.08.001.
9
A congested football calendar and the wellbeing of players: correlation between match exposure of European footballers before the World Cup 2002 and their injuries and performances during that World Cup.拥挤的足球赛程与球员健康状况:2002年世界杯前欧洲足球运动员的比赛场次与其在该届世界杯期间伤病情况及表现之间的相关性
Br J Sports Med. 2004 Aug;38(4):493-7. doi: 10.1136/bjsm.2003.009134.
10
Plantar fascia ruptures in athletes.运动员足底筋膜破裂
Am J Sports Med. 2004 Apr-May;32(3):662-5. doi: 10.1177/0363546503261727.