Suppr超能文献

成人期视路胶质母细胞瘤的磁共振成像特征

Magnetic resonance imaging characteristics of glioblastoma of the optic pathway during adulthood.

作者信息

Dung Le Thanh, Hung Nguyen Duy, Hung Nguyen Khac, Khuong Nguyen Ha, Thien Le Quy, Duy Ngo Quang, Duc Nguyen Minh

机构信息

Department of Radiology, VNU University of Medicine and Pharmacy, Vietnam National University, Hanoi, Viet Nam.

Department of Radiology, Viet Duc Hospital, Hanoi, Viet Nam.

出版信息

Radiol Case Rep. 2023 May 26;18(8):2628-2632. doi: 10.1016/j.radcr.2023.05.010. eCollection 2023 Aug.

Abstract

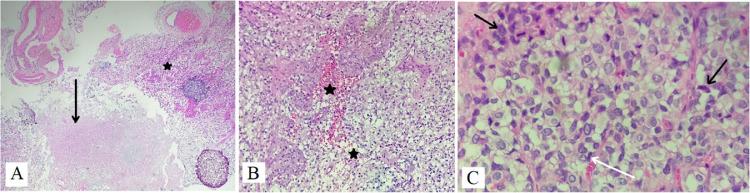
Glioma has been previously known as the most common adult brain tumor. Glioma of the optic pathway is predominated by low-grade neoplasms. High-grade glioma in adults is extremely rare. In this study, we present the case of a 46-year-old male patient who developed glioblastoma of the optic chiasm extending along the optic tract. This study aims to discuss several common differential diagnoses of nontumor diffuse lesions in the optic pathway and their clinical symptoms and magnetic resonance imaging findings, which could help navigate management.

摘要

胶质瘤此前一直被认为是最常见的成人脑肿瘤。视神经通路胶质瘤以低级别肿瘤为主。成人高级别胶质瘤极为罕见。在本研究中,我们报告了一例46岁男性患者,其发生了沿视束延伸的视交叉胶质母细胞瘤。本研究旨在探讨视神经通路非肿瘤性弥漫性病变的几种常见鉴别诊断及其临床症状和磁共振成像表现,这有助于指导治疗。

https://cdn.ncbi.nlm.nih.gov/pmc/blobs/de39/10238590/47cfee458ef9/gr1.jpg

文献AI研究员

20分钟写一篇综述,助力文献阅读效率提升50倍。

立即体验

用中文搜PubMed

大模型驱动的PubMed中文搜索引擎

马上搜索

文档翻译

学术文献翻译模型,支持多种主流文档格式。

立即体验