Mitchell Daniel, Self Quinn, Orgain Carolyn
The University of Vermont - Larner College of Medicine, Burlington, Vermont.
The University of Vermont Health Network, Department of Otolaryngology Surgery, Burlington, Vermont.
Clin Pract Cases Emerg Med. 2023 May;7(2):81-84. doi: 10.5811/cpcem.1395.
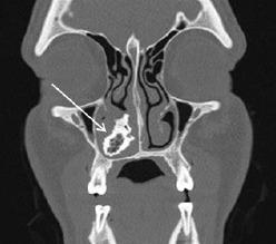
Unilateral nasal obstruction is a common complaint with a broad differential diagnosis that includes anatomic asymmetry, unilateral infective or inflammatory conditions, and benign and malignant sinonasal masses. A rhinolith is an uncommon foreign body in the nose, which serves as a nidus for calcium salt deposition. The foreign body can be endogenous or exogenous in origin and may remain asymptomatic for many years before incidental discovery. When left untreated, stones may cause unilateral nasal obstruction, rhinorrhea, nasal discharge, epistaxis or, in rare cases, progressive destruction leading to septal/palatal perforation or oro-antral fistula. Surgical removal is an effective intervention with limited complications reported.
This article describes a 34-year-old male who presented to the emergency department (ED) with unilateral obstructing nasal mass and epistaxis, which was found to be an iatrogenic rhinolith. Successful surgical removal was performed.
Epistaxis and nasal obstruction are common presentations to the ED. Rhinolith is an uncommon clinical etiology that if left undiagnosed may lead to progressive destructive disease; it should be included in the differential for any unilateral nasal symptoms of unclear origin. Appropriate work-up for any suspected rhinolith includes computed tomography, as biopsy is risky given the broad differential of unilateral nasal mass. When identified, surgical removal has a high success rate with limited complications reported.
单侧鼻塞是一种常见症状,鉴别诊断范围广泛,包括解剖结构不对称、单侧感染或炎症性疾病以及鼻窦的良恶性肿物。鼻石是鼻腔内一种罕见的异物,可作为钙盐沉积的核心。异物的来源可以是内源性或外源性的,在偶然发现之前可能多年无症状。如果不进行治疗,结石可能导致单侧鼻塞、鼻溢液、鼻涕、鼻出血,在罕见情况下,还会导致渐进性破坏,导致鼻中隔/腭穿孔或口鼻瘘。手术切除是一种有效的干预措施,报告的并发症有限。
本文描述了一名34岁男性,因单侧阻塞性鼻肿物和鼻出血就诊于急诊科,发现为医源性鼻石。成功进行了手术切除。
鼻出血和鼻塞是急诊科的常见症状。鼻石是一种罕见的临床病因,如果未被诊断,可能会导致进行性破坏性疾病;对于任何不明原因的单侧鼻部症状,都应将其纳入鉴别诊断。对于任何疑似鼻石的适当检查包括计算机断层扫描,鉴于单侧鼻肿物的鉴别诊断范围广泛,活检有风险。一旦确诊,手术切除成功率高,报告的并发症有限。