Suppr超能文献

采用脂肪抑制的液体衰减反转恢复序列评估无对比剂增强的踝关节滑膜炎:与对比增强磁共振成像的比较

Fluid-Attenuated Inversion Recovery Sequence with Fat Suppression for Assessment of Ankle Synovitis without Contrast Enhancement: Comparison with Contrast-Enhanced MRI.

作者信息

Kang Ji Hee, Moon Sung Gyu, Jung Hong-Geun, Kwon Eun Young

机构信息

Department of Radiology, Konkuk University Medical Center, Seoul 05030, Republic of Korea.

Department of Orthopedic Surgery, Konkuk University Medical Center, Seoul 05030, Republic of Korea.

出版信息

Diagnostics (Basel). 2023 Jun 4;13(11):1960. doi: 10.3390/diagnostics13111960.

Abstract

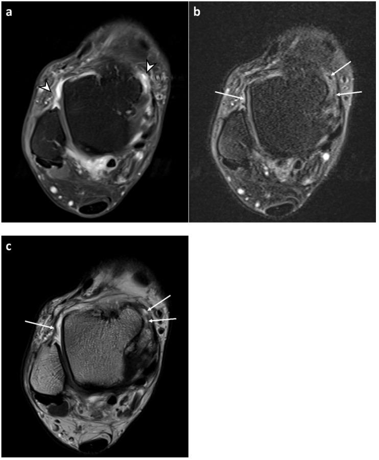
The purpose of this study was to investigate the feasibility of the fluid-attenuated inversion recovery sequence with fat suppression (FLAIR-FS) for the assessment of ankle synovitis without contrast enhancement. FLAIR-FS and contrast-enhanced, T1-weighted sequences (CE-T1) of 94 ankles were retrospectively reviewed by two radiologists. Grading of synovial visibility (four-point scale) and semi-quantitative scoring of synovial thickness (three-point scale) were performed in four compartments of the ankle in both sequences. Synovial visibility and thickness in FLAIR-FS and CE-T1 images were compared, and agreement between both sequences was assessed. Synovial visibility grades and synovial thickness scores for FLAIR-FS images were lower than those for CE-T1 images (reader 1, = 0.016, < 0.001; reader 2, = 0.009, < 0.001). Dichotomized synovial visibility grades (partial vs. full visibility) were not significantly different between both sequences. The agreement in synovial thickness scores between the FLAIR-FS and CE-T1 images was moderate to substantial (κ = 0.41-0.65). The interobserver agreement between the two readers was fair for synovial visibility (κ = 0.27-0.32) and moderate to substantial for synovial thickness (κ = 0.54-0.74). In conclusion, FLAIR-FS is a feasible MRI sequence for the evaluation of ankle synovitis without contrast enhancement.

摘要

本研究的目的是探讨脂肪抑制液体衰减反转恢复序列(FLAIR-FS)在不使用对比剂增强的情况下评估踝关节滑膜炎的可行性。两名放射科医生对94例踝关节的FLAIR-FS和对比增强T1加权序列(CE-T1)进行了回顾性分析。在两个序列中,对踝关节的四个腔室进行滑膜可见性分级(四分制)和滑膜厚度的半定量评分(三分制)。比较FLAIR-FS和CE-T1图像中的滑膜可见性和厚度,并评估两个序列之间的一致性。FLAIR-FS图像的滑膜可见性分级和滑膜厚度评分低于CE-T1图像(读者1, = 0.016, < 0.001;读者2, = 0.009, < 0.001)。两个序列之间滑膜可见性分级的二分法(部分可见与完全可见)无显著差异。FLAIR-FS和CE-T1图像之间滑膜厚度评分的一致性为中度至高度(κ = 0.41 - 0.65)。两位读者之间的观察者间一致性在滑膜可见性方面为一般(κ = 0.27 - 0.32),在滑膜厚度方面为中度至高度(κ = 0.54 - 0.74)。总之,FLAIR-FS是一种在不使用对比剂增强的情况下评估踝关节滑膜炎的可行MRI序列。

https://cdn.ncbi.nlm.nih.gov/pmc/blobs/85c2/10252366/4ef5f0d83125/diagnostics-13-01960-g001.jpg

文献AI研究员

20分钟写一篇综述,助力文献阅读效率提升50倍。

立即体验

用中文搜PubMed

大模型驱动的PubMed中文搜索引擎

马上搜索

文档翻译

学术文献翻译模型,支持多种主流文档格式。

立即体验