• 文献检索
  • 文档翻译
  • 深度研究
  • 学术资讯
  • Suppr Zotero 插件Zotero 插件
  • 邀请有礼
  • 套餐&价格
  • 历史记录
应用&插件
Suppr Zotero 插件Zotero 插件浏览器插件Mac 客户端Windows 客户端微信小程序
定价
高级版会员购买积分包购买API积分包
服务
文献检索文档翻译深度研究API 文档MCP 服务
关于我们
关于 Suppr公司介绍联系我们用户协议隐私条款
关注我们

Suppr 超能文献

核心技术专利:CN118964589B侵权必究
粤ICP备2023148730 号-1Suppr @ 2026

文献检索

告别复杂PubMed语法,用中文像聊天一样搜索,搜遍4000万医学文献。AI智能推荐,让科研检索更轻松。

立即免费搜索

文件翻译

保留排版,准确专业,支持PDF/Word/PPT等文件格式,支持 12+语言互译。

免费翻译文档

深度研究

AI帮你快速写综述,25分钟生成高质量综述,智能提取关键信息,辅助科研写作。

立即免费体验

新型冠状病毒2感染在一系列神经眼科表现中的影响——病例系列及文献综述

The Implications of SARS-CoV-2 Infection in a Series of Neuro-Ophthalmological Manifestations-Case Series and Literature Review.

作者信息

Anton Nicoleta, Bogdănici Camelia Margareta, Brănișteanu Daniel Constantin, Ilie Ovidiu-Dumitru, Pavel Irina Andreea, Doroftei Bogdan

机构信息

Surgery Department, Faculty of Medicine, University of Medicine and Pharmacy, 700115 Iasi, Romania.

Ophthalmology Clinic, St. Spiridon County Emergency Hospital, 700111 Iasi, Romania.

出版信息

J Clin Med. 2023 May 31;12(11):3795. doi: 10.3390/jcm12113795.

DOI:10.3390/jcm12113795
PMID:37297989
原文链接:https://pmc.ncbi.nlm.nih.gov/articles/PMC10253682/
Abstract

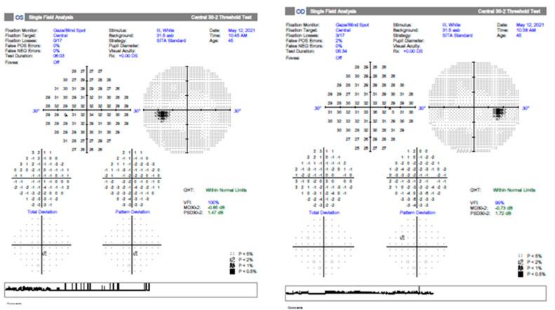
The global pandemic impact of the COVID-19 infection included clinical manifestations that affected several organs and systems, with various neuro-ophthalmological manifestations associated with the infection. These are rare and occur either secondary to the presence of the virus or by an autoimmune mechanism secondary to viral antigens. The manifestations are atypical, being present even in the absence of the systemic symptoms typical of a SARS-CoV-2 infection. In this article, we introduce a series of three clinical cases with neuro-ophthalmological manifestations associated with COVID infection that were shown in Ophthalmology Clinic of St. Spiridon Emergency Hospital. Case 1 is that of a 45-year-old male patient with no personal history of general pathology or ophthalmology, with binocular diplopia, painful red eyes, and lacrimal hypersecretion with a sudden onset of about 4 days. Based on the evaluations, a positive diagnosis of orbital cellulitis in both eyes is made. Case 2 is that of a 52-year-old female patient with general PPA (personal pathological antecedents) of SARS-CoV-2 infection 1 month prior to presentation with decreased visual acuity in the right eye and a positive central scotoma, preceded by photopsia and vertigo with balance disorders. The diagnosis is made at the right eye for retrobulbar optic neuritis and post-SARS-CoV-2 infection status. The last clinical case is that of a 55-year-old male patient known to have high blood pressure (HBP) with a sudden, painless decrease in VARE approximately 3 weeks post-SARS-CoV-2 immunization (Pfizer vaccine first dose). The diagnosis is made after consulting all the RE results for central retinal vein thrombosis. Conclusions: Although the cases were quickly and efficiently investigated and the treatment was administered adequately by a multidisciplinary team (cases 1 and 3), the evolution was not favorable in all three situations. Atypical neuro-ophthalmological manifestations can also be present in the absence of systemic symptoms typical of SARS-CoV-2 infection.

摘要

新型冠状病毒肺炎(COVID-19)感染对全球的大流行影响包括影响多个器官和系统的临床表现,以及与该感染相关的各种神经眼科表现。这些表现较为罕见,要么继发于病毒的存在,要么通过病毒抗原继发的自身免疫机制出现。这些表现不典型,即使在没有严重急性呼吸综合征冠状病毒2(SARS-CoV-2)感染典型全身症状的情况下也会出现。在本文中,我们介绍了在圣斯皮里东急诊医院眼科诊所就诊的3例与COVID感染相关的神经眼科表现的临床病例。病例1是一名45岁男性患者,无一般病理学或眼科个人病史,突发双眼复视、眼红疼痛及泪液分泌过多约4天。经评估,确诊为双眼眶蜂窝织炎。病例2是一名52岁女性患者,在就诊前1个月有SARS-CoV-2感染的一般个人病理史(PPA),右眼视力下降,中心暗点阳性,之前有闪光幻视和伴有平衡障碍的眩晕。诊断为右眼球后视神经炎和SARS-CoV-2感染后状态。最后一例临床病例是一名55岁男性患者,已知患有高血压(HBP),在接种SARS-CoV-2疫苗(辉瑞疫苗第一剂)后约3周突然出现无痛性视力下降(VARE)。经查阅所有视网膜电图(RE)结果后诊断为视网膜中央静脉血栓形成。结论:尽管这些病例得到了快速有效的检查,并且由多学科团队进行了充分的治疗(病例1和3),但在所有三种情况下病情进展都不理想。在没有SARS-CoV-2感染典型全身症状的情况下,也可能出现非典型神经眼科表现。

https://cdn.ncbi.nlm.nih.gov/pmc/blobs/b6c5/10253682/29205b5f63af/jcm-12-03795-g008.jpg
https://cdn.ncbi.nlm.nih.gov/pmc/blobs/b6c5/10253682/cadddd9de4f4/jcm-12-03795-g001a.jpg
https://cdn.ncbi.nlm.nih.gov/pmc/blobs/b6c5/10253682/f783920f49f7/jcm-12-03795-g002a.jpg
https://cdn.ncbi.nlm.nih.gov/pmc/blobs/b6c5/10253682/8341cf25ea3f/jcm-12-03795-g003.jpg
https://cdn.ncbi.nlm.nih.gov/pmc/blobs/b6c5/10253682/2824c2d78fc9/jcm-12-03795-g004.jpg
https://cdn.ncbi.nlm.nih.gov/pmc/blobs/b6c5/10253682/682b356bda0f/jcm-12-03795-g005.jpg
https://cdn.ncbi.nlm.nih.gov/pmc/blobs/b6c5/10253682/4b76d4593cf4/jcm-12-03795-g006.jpg
https://cdn.ncbi.nlm.nih.gov/pmc/blobs/b6c5/10253682/eaf9d2b8d5f8/jcm-12-03795-g007.jpg
https://cdn.ncbi.nlm.nih.gov/pmc/blobs/b6c5/10253682/29205b5f63af/jcm-12-03795-g008.jpg
https://cdn.ncbi.nlm.nih.gov/pmc/blobs/b6c5/10253682/cadddd9de4f4/jcm-12-03795-g001a.jpg
https://cdn.ncbi.nlm.nih.gov/pmc/blobs/b6c5/10253682/f783920f49f7/jcm-12-03795-g002a.jpg
https://cdn.ncbi.nlm.nih.gov/pmc/blobs/b6c5/10253682/8341cf25ea3f/jcm-12-03795-g003.jpg
https://cdn.ncbi.nlm.nih.gov/pmc/blobs/b6c5/10253682/2824c2d78fc9/jcm-12-03795-g004.jpg
https://cdn.ncbi.nlm.nih.gov/pmc/blobs/b6c5/10253682/682b356bda0f/jcm-12-03795-g005.jpg
https://cdn.ncbi.nlm.nih.gov/pmc/blobs/b6c5/10253682/4b76d4593cf4/jcm-12-03795-g006.jpg
https://cdn.ncbi.nlm.nih.gov/pmc/blobs/b6c5/10253682/eaf9d2b8d5f8/jcm-12-03795-g007.jpg
https://cdn.ncbi.nlm.nih.gov/pmc/blobs/b6c5/10253682/29205b5f63af/jcm-12-03795-g008.jpg

相似文献

1
The Implications of SARS-CoV-2 Infection in a Series of Neuro-Ophthalmological Manifestations-Case Series and Literature Review.新型冠状病毒2感染在一系列神经眼科表现中的影响——病例系列及文献综述
J Clin Med. 2023 May 31;12(11):3795. doi: 10.3390/jcm12113795.
2
Optic neuropathies post-Covid 19 - review.新冠病毒感染后视神经病变 - 综述。
Rom J Ophthalmol. 2022 Oct-Dec;66(4):289-298. doi: 10.22336/rjo.2022.54.
3
A Review of Neuro-Ophthalmological Manifestations of Human Coronavirus Infection.人类冠状病毒感染的神经眼科表现综述
Eye Brain. 2020 Oct 30;12:129-137. doi: 10.2147/EB.S268828. eCollection 2020.
4
Optic neuritis post-COVID-19 infection. A case report with meta-analysis.新冠病毒感染后的视神经炎。一项病例报告及荟萃分析
Interdiscip Neurosurg. 2021 Dec;26:101320. doi: 10.1016/j.inat.2021.101320. Epub 2021 Jul 22.
5
[Optic neuropathy in positive anti-MOG antibody syndrome].[抗髓鞘少突胶质细胞糖蛋白(MOG)抗体阳性综合征中的视神经病变]
J Fr Ophtalmol. 2019 Dec;42(10):1100-1110. doi: 10.1016/j.jfo.2019.06.006. Epub 2019 Nov 12.
6
Seropositive Neuromyelitis Optica in a Case of Undiagnosed Ankylosing Spondylitis: A Neuro-Rheumatological Conundrum.未确诊的强直性脊柱炎病例中的血清阳性视神经脊髓炎:一个神经风湿病学难题
Qatar Med J. 2022 Jul 7;2022(3):29. doi: 10.5339/qmj.2022.29. eCollection 2022.
7
Hyperacute optic neuritis in a patient with COVID-19 infection and vaccination: a case report.COVID-19 感染和接种疫苗后发生超急性视神经炎:病例报告。
BMC Ophthalmol. 2023 Feb 28;23(1):80. doi: 10.1186/s12886-023-02825-4.
8
Anterior ischemic optic neuropathy as a rare manifestation of COVID-19: a case report.前部缺血性视神经病变作为新型冠状病毒肺炎的罕见表现:一例报告
Future Virol. 2021 Nov. doi: 10.2217/fvl-2021-0068. Epub 2022 Jan 12.
9
[Ocular symptoms in SARS-CoV-2 infection].[严重急性呼吸综合征冠状病毒2型感染中的眼部症状]
Pol Merkur Lekarski. 2022 Apr 19;50(296):86-93.
10
Neuro-Ophthalmologic Symptoms Associated With the Moderna mRNA COVID-19 Vaccine: A Case Report.与莫德纳mRNA新冠疫苗相关的神经眼科症状:一例报告
Cureus. 2022 Aug 29;14(8):e28523. doi: 10.7759/cureus.28523. eCollection 2022 Aug.

本文引用的文献

1
Optic disc hemorrhage in a young female following mRNA coronavirus disease 2019 vaccination: a case report.mRNA 新冠病毒 2019 疫苗接种后年轻女性视神经盘出血:一例报告。
J Med Case Rep. 2022 Dec 8;16(1):462. doi: 10.1186/s13256-022-03690-3.
2
COVID-19 Vaccine-Related Vogt-Koyanagi-Harada Disease Complicated by Central Serous Chorioretinopathy during Treatment Course: Case Report and Literature Review.COVID-19疫苗相关的葡萄膜炎-小柳原田病在治疗过程中并发中心性浆液性脉络膜视网膜病变:病例报告及文献综述
Vaccines (Basel). 2022 Oct 25;10(11):1792. doi: 10.3390/vaccines10111792.
3
Ocular manifestations of recent viral pandemics: A literature review.
近期病毒性大流行的眼部表现:文献综述。
Front Med (Lausanne). 2022 Sep 23;9:1011335. doi: 10.3389/fmed.2022.1011335. eCollection 2022.
4
Orbital myositis and scleritis after anti-SARS-CoV-2 mRNA vaccines: A report of three cases.抗 SARS-CoV-2 mRNA 疫苗接种后发生眼眶肌炎和巩膜炎:三例报告。
Eur J Ophthalmol. 2023 Sep;33(5):NP29-NP34. doi: 10.1177/11206721221123780. Epub 2022 Sep 4.
5
Eye Infection with SARS-CoV-2 as a Route to Systemic Immunization?眼部感染 SARS-CoV-2 作为全身免疫的途径?
Viruses. 2022 Jun 30;14(7):1447. doi: 10.3390/v14071447.
6
Retinal vascular occlusion in patients with the Covid-19 virus.感染新冠病毒患者的视网膜血管阻塞
Int J Retina Vitreous. 2022 Jun 23;8(1):45. doi: 10.1186/s40942-022-00371-7.
7
Ischemic Optic Neuropathy After Administration of a SARS-CoV-2 Vaccine: A Report of 2 Cases.接种新型冠状病毒2疫苗后发生的缺血性视神经病变:2例报告
Am J Case Rep. 2022 Mar 27;23:e935095. doi: 10.12659/AJCR.935095.
8
Ocular and Systemic Complications of COVID-19: Impact on Patients and Healthcare.新型冠状病毒肺炎的眼部及全身并发症:对患者及医疗保健的影响
Clin Ophthalmol. 2022 Jan 4;16:1-13. doi: 10.2147/OPTH.S336963. eCollection 2022.
9
Uveitis and Other Ocular Complications Following COVID-19 Vaccination.新冠疫苗接种后的葡萄膜炎及其他眼部并发症
J Clin Med. 2021 Dec 19;10(24):5960. doi: 10.3390/jcm10245960.
10
Bilateral Retinal Detachments in a Healthy 22-year-old Woman After Moderna SARS-COV-2 Vaccination.接种 Moderna 新冠疫苗后,一位健康的 22 岁女性双侧视网膜脱离。
J Emerg Med. 2021 Dec;61(6):e146-e150. doi: 10.1016/j.jemermed.2021.07.034. Epub 2021 Jul 20.