Suppr超能文献

胎盘血管发育异常:预测胎儿结局的新指标?

Placental Angiodysplasia: A New Sign for Prediction of Fetal Outcome?

作者信息

Marzullo Andrea, Vitelli Emmanuela, Cazzato Gerardo, Fanelli Margherita, Ingravallo Giuseppe, Vimercati Antonella, Rossi Roberta, Resta Leonardo

机构信息

Section of Molecular Pathology, Department of Precision and Regenerative Medicine and Ionian Area (DiMePRe-J), University of Bari "Aldo Moro", 70124 Bari, Italy.

Section of Gynaecology and Obstetrics, Department of Precision and Regenerative Medicine and Ionian Area (DiMePRe-J), University of Bari "Aldo Moro", 70124 Bari, Italy.

出版信息

J Clin Med. 2023 Jun 3;12(11):3835. doi: 10.3390/jcm12113835.

Abstract

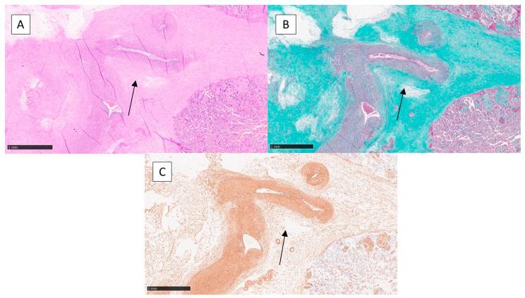
The study of the placenta is of great importance, not only in the attempt to understand the etiopathogenesis of various maternal-fetal pathologies, but also in the attempt to understand whether it is possible to find the cause of pathological neonatal outcomes. On the other hand, abnormalities of blood vessel formation, such as angiodysplasias, have been poorly characterised in the literature, and there is a need for more studies investigating the potential impact on the fetus. In this paper, we retrospectively analysed 2063 placentas received at the Department of Pathology of the University of Bari 'Aldo Moro', among which we identified 70 placentas affected by angiodysplasia. On these placentas, we carried out histochemical staining with Masson's Trichrome, orcein-alcian blue, and, subsequently, immunostaining with anti-CD31, CD34, and desmin and actin muscle smoothness antibodies. Finally, we performed a morphometric analysis on the allantochorionic and truncal vessels and correlated the results with neonatal outcomes. We studied the characteristics of the angiodysplasias in detail, dividing the patients into two classes (A and B) according to the morphology and histochemical characteristics of the affected vessels; statistical analysis reported a statistically significant association ( < 0.05) between the ratio of maximum thickness to maximum diameter (Tmax/Dmax) and neonatal outcome, with only 30% physiological outcome in the cohort of the placentas affected by angiodysplasia. These results shed light on a rather neglected aspect in the 2015 Amsterdam Classification, as well as in the literature, and provided strong evidence that placental angiodysplasia is predictive of an increased likelihood of the pathological fetal outcome, while other factors remain in the field. Studies with larger case series and guidelines with more attention to these aspects are mandated to further investigate the predictive potential of this pathology.

摘要

胎盘研究具有重要意义,这不仅体现在试图理解各种母胎病理状况的病因发病机制方面,还体现在试图弄清楚是否有可能找到病理性新生儿结局的原因。另一方面,诸如血管发育异常等血管形成异常在文献中的描述较少,因此需要更多研究来调查其对胎儿的潜在影响。在本文中,我们回顾性分析了巴里“阿尔多·莫罗”大学病理学系接收的2063份胎盘,其中我们鉴定出70份受血管发育异常影响的胎盘。在这些胎盘上,我们进行了马松三色染色、地衣红-阿尔辛蓝组织化学染色,随后用抗CD31、CD34以及结蛋白和肌动蛋白平滑肌抗体进行免疫染色。最后,我们对尿囊绒毛膜血管和躯干血管进行了形态计量分析,并将结果与新生儿结局相关联。我们详细研究了血管发育异常的特征,根据受影响血管的形态和组织化学特征将患者分为两类(A类和B类);统计分析表明,最大厚度与最大直径之比(Tmax/Dmax)与新生儿结局之间存在统计学显著关联(<0.05),在受血管发育异常影响的胎盘队列中,只有30%的新生儿结局为生理性。这些结果揭示了2015年阿姆斯特丹分类以及文献中一个相当被忽视 的方面,并提供了有力证据表明胎盘血管发育异常可预测病理性胎儿结局的可能性增加,而其他因素仍有待进一步研究。需要开展更大病例系列的研究以及更关注这些方面的指南,以进一步调查这种病理状况的预测潜力。

https://cdn.ncbi.nlm.nih.gov/pmc/blobs/47f6/10253983/e4272f4cfeb3/jcm-12-03835-g001.jpg

文献检索

告别复杂PubMed语法,用中文像聊天一样搜索,搜遍4000万医学文献。AI智能推荐,让科研检索更轻松。

立即免费搜索

文件翻译

保留排版,准确专业,支持PDF/Word/PPT等文件格式,支持 12+语言互译。

免费翻译文档

深度研究

AI帮你快速写综述,25分钟生成高质量综述,智能提取关键信息,辅助科研写作。

立即免费体验