Key Laboratory of Systems Health Science of Zhejiang Province, School of Life Science, Hangzhou Institute for Advanced Study, University of Chinese Academy of Sciences, 310024 Hangzhou, China.
New Cornerstone Science Laboratory, State Key Laboratory of Cell Biology, Shanghai Institute of Biochemistry and Cell Biology, Center for Excellence in Molecular Cell Science, University of Chinese Academy of Sciences, Chinese Academy of Sciences, 200031 Shanghai, China.
Proc Natl Acad Sci U S A. 2023 Jun 20;120(25):e2207210120. doi: 10.1073/pnas.2207210120. Epub 2023 Jun 12.
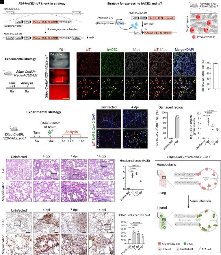
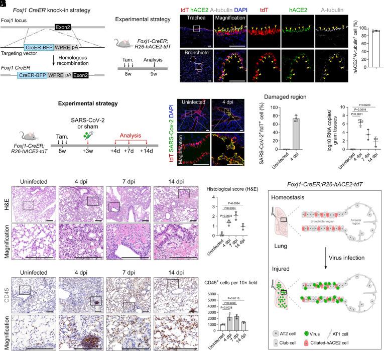
The classical manifestation of COVID-19 is pulmonary infection. After host cell entry via human angiotensin-converting enzyme II (hACE2), the severe acute respiratory syndrome coronavirus 2 (SARS-CoV-2) virus can infect pulmonary epithelial cells, especially the AT2 (alveolar type II) cells that are crucial for maintaining normal lung function. However, previous hACE2 transgenic models have failed to specifically and efficiently target the cell types that express hACE2 in humans, especially AT2 cells. In this study, we report an inducible, transgenic hACE2 mouse line and showcase three examples for specifically expressing hACE2 in three different lung epithelial cells, including AT2 cells, club cells, and ciliated cells. Moreover, all these mice models develop severe pneumonia after SARS-CoV-2 infection. This study demonstrates that the hACE2 model can be used to precisely study any cell type of interest with regard to COVID-19-related pathologies.
COVID-19 的典型表现是肺部感染。病毒通过人血管紧张素转换酶 II(hACE2)进入宿主细胞后,严重急性呼吸综合征冠状病毒 2(SARS-CoV-2)可以感染肺上皮细胞,特别是对维持正常肺功能至关重要的 AT2(肺泡 II 型)细胞。然而,先前的 hACE2 转基因模型未能特异性和有效地靶向在人类中表达 hACE2 的细胞类型,特别是 AT2 细胞。在这项研究中,我们报告了一种可诱导的、转基因 hACE2 小鼠品系,并展示了三个例子,说明了 hACE2 在三种不同的肺上皮细胞中的特异性表达,包括 AT2 细胞、club 细胞和纤毛细胞。此外,所有这些小鼠模型在感染 SARS-CoV-2 后都会发展为严重肺炎。这项研究表明,hACE2 模型可用于精确研究与 COVID-19 相关病理相关的任何感兴趣的细胞类型。