Meghe Soham, Kashikar Yash, Chopra Shubham, Madke Bhushan, Jawade Sugat
Dermatology, Jawaharlal Nehru Medical College, Datta Meghe Institute of Higher Education and Research, Wardha, IND.
Dermatology, Venereology and Leprosy, Jawaharlal Nehru Medical College, Datta Meghe Institute of Higher Education and Research, Wardha, IND.
Cureus. 2023 May 12;15(5):e38926. doi: 10.7759/cureus.38926. eCollection 2023 May.
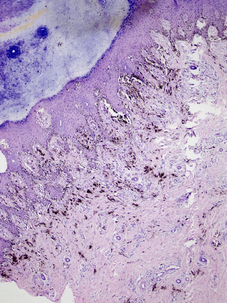
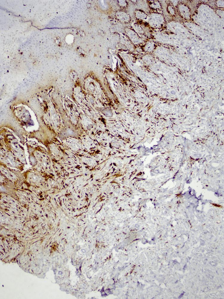
Acral lentiginous melanoma (ALM) is named so for its site and histological orientation. It is an infrequent form of melanoma that usually presents with lesions on the palms, soles, or nails. Although rare, it's the most commonly discovered subtype of melanoma in the non-Caucasian population, including Africans, Chinese, Koreans, and Latin Americans. It's most likely to be diagnosed in the sixth or seventh decade of life. Acral lentiginous melanoma can clinically mimic ulceration, verrucous lesions, onychomycosis, subungual hematomas, vascular lesions, and infections. Here, we are presenting the case of a 65-year-old male who was admitted to the surgery ward in Acharya Vinobha Bhave Rural Hospital with a chief complaint of a lesion over the plantar surface of his left foot for the last one or two years and was referred to the Department of Dermatology for the same. The lesion was sighted by the patient a long time before his visit to Acharya Vinobha Bhave Rural Hospital. A physical examination showed a blackish, poorly delineated soft tissue lesion on the left heel. An excisional biopsy and proper management were carried out for the patient. Patient education and greater awareness about this tumor and its early detection can serve as important weapons to increase the patient survival rate and prognosis of acral lentiginous melanoma.
肢端雀斑样痣黑色素瘤(ALM)因其发病部位和组织学方向而得名。它是一种罕见的黑色素瘤形式,通常表现为手掌、脚底或指甲上的病变。虽然罕见,但它是在非白种人群体(包括非洲人、中国人、韩国人和拉丁美洲人)中最常发现的黑色素瘤亚型。它最有可能在人生的第六或第七个十年被诊断出来。肢端雀斑样痣黑色素瘤在临床上可能会模仿溃疡、疣状病变、甲癣、甲下血肿、血管病变和感染。在此,我们报告一例65岁男性病例,该患者因左足底出现病变,在过去一两年间,以主要诉求入住阿查里亚·维诺巴·巴韦农村医院外科病房,并因同样原因被转诊至皮肤科。该病变在患者前往阿查里亚·维诺巴·巴韦农村医院就诊很久以前就被发现了。体格检查显示左脚跟有一个黑色、边界不清的软组织病变。对该患者进行了切除活检及适当治疗。患者教育以及对这种肿瘤及其早期检测的更高认识可以作为提高肢端雀斑样痣黑色素瘤患者生存率和预后的重要手段。