Suppr超能文献

1例罕见的新冠疫苗接种所致胆管病性肝损伤病例

A Rare Case of COVID-19 Vaccination-Induced Cholangiopathic Liver Injury.

作者信息

Taj Sobaan, Sanekommu Harshavardhan, Johal Anmol, Ravilla Jayasree, Imburgio Steven, Dandu Sowmya, Vedire Apurva, Miller Brett, Hossain Mohammad

机构信息

Department of Medicine, Jersey Shore University Medical Center, Neptune City, NJ.

Department of Medicine, Monmouth Medical Center, Avenue Long Branch, NJ.

出版信息

ACG Case Rep J. 2023 Jun 14;10(6):e01079. doi: 10.14309/crj.0000000000001079. eCollection 2023 Jun.

Abstract

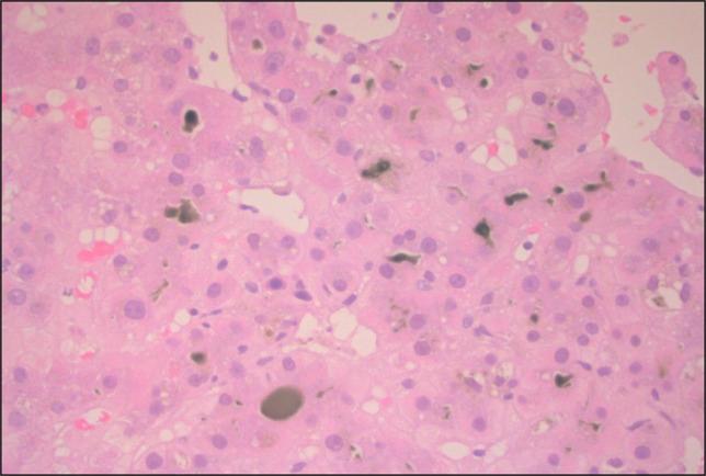
Drug-induced liver injury is a serious adverse drug reaction that can result in acute liver injury or cholestatic injury affecting the bile ducts, known as cholangiopathic liver injury (CLI). Although CLI is not as familiar as the hepatocellular pattern, emerging evidence suggests that it may occur after coronavirus disease 2019 (COVID-19) vaccination. This case report focuses on an 89-year-old woman who developed CLI after receiving the tozinameran COVID-19 vaccine. The main aim of this report was to raise awareness of the possibility of developing CLI after COVID-19 vaccination and to underscore the critical significance of promptly identifying and managing this infrequent but severe side effect.

摘要

药物性肝损伤是一种严重的药物不良反应,可导致急性肝损伤或影响胆管的胆汁淤积性损伤,即胆管性肝损伤(CLI)。尽管CLI不如肝细胞型那么为人熟知,但新出现的证据表明,它可能在2019冠状病毒病(COVID-19)疫苗接种后发生。本病例报告重点介绍了一名89岁女性,她在接种托珠单抗COVID-19疫苗后发生了CLI。本报告的主要目的是提高人们对COVID-19疫苗接种后发生CLI可能性的认识,并强调及时识别和处理这种罕见但严重的副作用的关键意义。

https://cdn.ncbi.nlm.nih.gov/pmc/blobs/9df1/10266518/d32a379bba6a/ac9-10-e01079-g001.jpg

文献AI研究员

20分钟写一篇综述,助力文献阅读效率提升50倍。

立即体验

用中文搜PubMed

大模型驱动的PubMed中文搜索引擎

马上搜索

文档翻译

学术文献翻译模型,支持多种主流文档格式。

立即体验