• 文献检索
  • 文档翻译
  • 深度研究
  • 学术资讯
  • Suppr Zotero 插件Zotero 插件
  • 邀请有礼
  • 套餐&价格
  • 历史记录
应用&插件
Suppr Zotero 插件Zotero 插件浏览器插件Mac 客户端Windows 客户端微信小程序
定价
高级版会员购买积分包购买API积分包
服务
文献检索文档翻译深度研究API 文档MCP 服务
关于我们
关于 Suppr公司介绍联系我们用户协议隐私条款
关注我们

Suppr 超能文献

核心技术专利:CN118964589B侵权必究
粤ICP备2023148730 号-1Suppr @ 2026

文献检索

告别复杂PubMed语法,用中文像聊天一样搜索,搜遍4000万医学文献。AI智能推荐,让科研检索更轻松。

立即免费搜索

文件翻译

保留排版,准确专业,支持PDF/Word/PPT等文件格式,支持 12+语言互译。

免费翻译文档

深度研究

AI帮你快速写综述,25分钟生成高质量综述,智能提取关键信息,辅助科研写作。

立即免费体验

脑脓肿作为鼻咽部新冠病毒拭子检测的并发症:两例病例报告及文献综述

Brain abscess as a complication of nasopharyngeal COVID-19 swab testing: Two case reports and a literature review.

作者信息

Shrateh Oadi N, Abugharbieh Yazan, Al-Fallah Orwa

机构信息

Faculty of Medicine, Al-Quds University, Jerusalem, Palestine.

Deparment of Radiology, Al-Ahli Hospital, Hebron, Palestine.

出版信息

Int J Surg Case Rep. 2023 Jul;108:108402. doi: 10.1016/j.ijscr.2023.108402. Epub 2023 Jun 16.

DOI:10.1016/j.ijscr.2023.108402
PMID:37331092
原文链接:https://pmc.ncbi.nlm.nih.gov/articles/PMC10273773/
Abstract

INTRODUCTION AND IMPORTANCE

The nasopharyngeal swab, which has experienced a marked increase in utilization during the COVID-19 pandemic and is considered the gold standard for COVID-19 testing due to its high diagnostic accuracy and sensitivity, The procedure is generally safe and well-tolerated, with pain, discomfort, and the urge to cough or sneeze being the most common complications. Though it is occasionally associated with serious complications.

CASE PRESENTATION

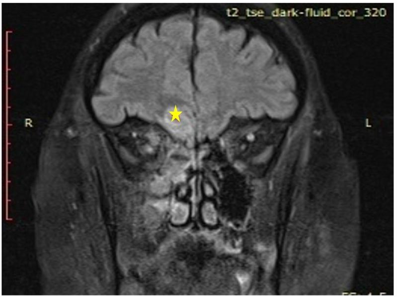
we report two cases of brain abscess as a complication of nasopharyngeal COVID-19 testing. The first case was of a 47-year-old male diabetic patient with a positive medical history for immune thrombocytopenic purpura (ITP) who developed a frontal brain abscess one week after the swabbing procedure and was treated with systemic antibiotics followed by a successful functional endoscopic sinus surgery. The second case involved a hypertensive female patient in her 40s who also developed a frontal brain abscess on the same side as painful nasal COVID-19 testing. Systemic antibiotics were used to treat the patient.

CLINICAL DISCUSSION

Serious adverse events from nasopharyngeal COVID-19 testing were reported to occur rarely, with incidences ranging from 0.0012 to 0.026 %. Retained swabs, epistaxis, and CSF leakage were commonly reported complications, which were frequently associated with high-risk factors such as septal deviations, pre-existing basal skull defects, and sinus surgeries. However, brain abscess complications are considered one of the extremely rare complications, with only a few cases reported in the literature.

CONCLUSION

Appropriate approaches that depend on adequate anatomical knowledge are necessary for practitioners to perform nasopharyngeal COVID-19 testing.

摘要

引言与重要性

鼻咽拭子在新冠疫情期间的使用量显著增加,因其诊断准确性和敏感性高,被视为新冠病毒检测的金标准。该操作一般安全且耐受性良好,疼痛、不适以及咳嗽或打喷嚏的冲动是最常见的并发症。不过,它偶尔也会引发严重并发症。

病例报告

我们报告两例因新冠病毒鼻咽检测引发脑脓肿并发症的病例。首例为一名47岁男性糖尿病患者,有免疫性血小板减少性紫癜(ITP)病史,在拭子采样操作一周后发生额叶脑脓肿,接受全身抗生素治疗,随后成功进行了功能性鼻内镜鼻窦手术。第二例涉及一名40多岁的高血压女性患者,在进行痛苦的新冠病毒鼻咽检测后,同侧也发生了额叶脑脓肿。对该患者使用了全身抗生素进行治疗。

临床讨论

据报道,新冠病毒鼻咽检测引发的严重不良事件很少发生,发生率在0.0012%至0.026%之间。拭子残留、鼻出血和脑脊液漏是常见的并发症,这些并发症常与鼻中隔偏曲、既往颅底缺损和鼻窦手术等高危因素相关。然而,脑脓肿并发症被认为是极其罕见的并发症之一,文献中仅报道了少数病例。

结论

从业者进行新冠病毒鼻咽检测时,需要依靠充分的解剖学知识采取适当的方法。

https://cdn.ncbi.nlm.nih.gov/pmc/blobs/4a96/10382720/89bb87127166/gr4.jpg
https://cdn.ncbi.nlm.nih.gov/pmc/blobs/4a96/10382720/16f935b86a2b/gr1.jpg
https://cdn.ncbi.nlm.nih.gov/pmc/blobs/4a96/10382720/6b3badd73f99/gr2.jpg
https://cdn.ncbi.nlm.nih.gov/pmc/blobs/4a96/10382720/c7871176fc81/gr3.jpg
https://cdn.ncbi.nlm.nih.gov/pmc/blobs/4a96/10382720/89bb87127166/gr4.jpg
https://cdn.ncbi.nlm.nih.gov/pmc/blobs/4a96/10382720/16f935b86a2b/gr1.jpg
https://cdn.ncbi.nlm.nih.gov/pmc/blobs/4a96/10382720/6b3badd73f99/gr2.jpg
https://cdn.ncbi.nlm.nih.gov/pmc/blobs/4a96/10382720/c7871176fc81/gr3.jpg
https://cdn.ncbi.nlm.nih.gov/pmc/blobs/4a96/10382720/89bb87127166/gr4.jpg

相似文献

1
Brain abscess as a complication of nasopharyngeal COVID-19 swab testing: Two case reports and a literature review.脑脓肿作为鼻咽部新冠病毒拭子检测的并发症:两例病例报告及文献综述
Int J Surg Case Rep. 2023 Jul;108:108402. doi: 10.1016/j.ijscr.2023.108402. Epub 2023 Jun 16.
2
Complications of Nasopharyngeal Swabs and Safe Procedures for COVID-19 Testing Based on Anatomical Knowledge.基于解剖学知识的鼻咽拭子并发症和 COVID-19 检测安全程序。
J Korean Med Sci. 2022 Mar 21;37(11):e88. doi: 10.3346/jkms.2022.37.e88.
3
Orbital cellulitis complicated with subperiosteal abscess following post-nasopharyngeal swab for COVID-19: A case report.新冠病毒鼻咽拭子检查后眶蜂窝织炎并发骨膜下脓肿:一例报告
Clin Case Rep. 2023 May 9;11(5):e7324. doi: 10.1002/ccr3.7324. eCollection 2023 May.
4
Nasal Septal Abscess as a Complication of COVID-19 Nasal Swab Test: A Case Report.COVID-19 鼻拭子检测后并发鼻中隔脓肿:一例报告。
Iran J Med Sci. 2023 Jan;48(1):102-105. doi: 10.30476/ijms.2021.90473.2143.
5
Preseptal cellulitis and infraorbital abscess as a complication of a routine COVID-19 swab.前房蜂窝织炎和眶下脓肿作为 COVID-19 常规拭子的并发症。
BMJ Case Rep. 2021 May 19;14(5):e241963. doi: 10.1136/bcr-2021-241963.
6
CSF rhinorrhea after nasopharyngeal swab testing for COVID-19: A case report and review of literature.新冠病毒鼻咽拭子检测后出现脑脊液鼻漏:一例病例报告及文献综述
Otolaryngol Case Rep. 2021 Nov;21:100370. doi: 10.1016/j.xocr.2021.100370. Epub 2021 Oct 9.
7
Complications Associated With Nasopharyngeal COVID-19 Testing: An Analysis of the MAUDE Database and Literature Review.与鼻咽拭子新冠病毒检测相关的并发症:MAUDE 数据库分析及文献回顾。
Am J Rhinol Allergy. 2022 Mar;36(2):281-284. doi: 10.1177/19458924211046725. Epub 2021 Sep 21.
8
Misdirection of a nasopharyngeal SARS-CoV-2 swab: An unexpected complication.鼻咽部严重急性呼吸综合征冠状病毒2(SARS-CoV-2)拭子误操作:一种意外并发症。
Otolaryngol Case Rep. 2022 Sep;24:100439. doi: 10.1016/j.xocr.2022.100439. Epub 2022 May 6.
9
Diagnostic testing for SARS-CoV-2 infection in HHT patients: nasopharyngeal versus oropharyngeal swab.遗传性出血性毛细血管扩张症患者 SARS-CoV-2 感染的诊断检测:鼻咽拭子与口咽拭子比较。
Orphanet J Rare Dis. 2020 Dec 18;15(1):350. doi: 10.1186/s13023-020-01628-w.
10
Case Report: An Intracranial Complication of COVID-19 Nasopharyngeal Swab.病例报告:新冠病毒鼻咽拭子检测引发的颅内并发症
Clin Pract Cases Emerg Med. 2021 Aug;5(3):341-344. doi: 10.5811/cpcem.2021.5.52232.

本文引用的文献

1
Nasal Septal Abscess as a Complication of COVID-19 Nasal Swab Test: A Case Report.COVID-19 鼻拭子检测后并发鼻中隔脓肿:一例报告。
Iran J Med Sci. 2023 Jan;48(1):102-105. doi: 10.30476/ijms.2021.90473.2143.
2
Complications of Nasopharyngeal Swabs and Safe Procedures for COVID-19 Testing Based on Anatomical Knowledge.基于解剖学知识的鼻咽拭子并发症和 COVID-19 检测安全程序。
J Korean Med Sci. 2022 Mar 21;37(11):e88. doi: 10.3346/jkms.2022.37.e88.
3
Ethmoidal silent sinus syndrome after nasal swab test.筛窦静息窦口鼻道复合体综合征(筛窦 silent sinus syndrome,SSS)发生于鼻拭子检查后。
Neuroradiology. 2022 Jan;64(1):205-207. doi: 10.1007/s00234-021-02856-y. Epub 2021 Nov 13.
4
Complications Associated With Nasopharyngeal COVID-19 Testing: An Analysis of the MAUDE Database and Literature Review.与鼻咽拭子新冠病毒检测相关的并发症:MAUDE 数据库分析及文献回顾。
Am J Rhinol Allergy. 2022 Mar;36(2):281-284. doi: 10.1177/19458924211046725. Epub 2021 Sep 21.
5
Complications of nasal SARS-CoV-2 testing: a review.鼻腔 SARS-CoV-2 检测的并发症:综述。
J Investig Med. 2021 Dec;69(8):1399-1403. doi: 10.1136/jim-2021-001962. Epub 2021 Aug 4.
6
Preseptal cellulitis and infraorbital abscess as a complication of a routine COVID-19 swab.前房蜂窝织炎和眶下脓肿作为 COVID-19 常规拭子的并发症。
BMJ Case Rep. 2021 May 19;14(5):e241963. doi: 10.1136/bcr-2021-241963.
7
Complications of COVID-19 Nasopharyngeal Swab Test.新型冠状病毒鼻咽拭子检测的并发症。
JAMA Otolaryngol Head Neck Surg. 2021 Jul 1;147(7):672-674. doi: 10.1001/jamaoto.2021.0715.
8
CSF rhinorrhoea post COVID-19 swab: A case report and review of literature.新冠病毒拭子检测后出现脑脊液鼻漏:病例报告及文献复习。
J Clin Neurosci. 2021 Apr;86:6-9. doi: 10.1016/j.jocn.2021.01.003. Epub 2021 Jan 14.
9
Pharyngeal abscess: a rare complication of repeated nasopharyngeal swabs.咽脓肿:反复鼻咽拭子检查的罕见并发症。
Intensive Care Med. 2021 May;47(5):612-613. doi: 10.1007/s00134-021-06358-6. Epub 2021 Feb 6.
10
Meningitis due to cerebrospinal fluid leak after nasal swab testing for COVID-19.新冠病毒检测鼻拭子采样后因脑脊液漏导致的脑膜炎
Eur J Neurol. 2021 Nov;28(11):e91-e92. doi: 10.1111/ene.14736. Epub 2021 Feb 12.