Suppr超能文献

新鲜骨髓单个核细胞疗法对早产儿视网膜病变大鼠模型的影响。

Effects of fresh bone marrow mononuclear cell therapy in rat model of retinopathy of prematurity.

作者信息

Tanourlouee Saman Behboodi, Nasirzadeh Mohammadreza, Zolbin Masoumeh Majidi, Azimzadeh Ashkan, Babaei Javad Fahanik, Bitaraf Masoud, Kajbafzadeh Abdol-Mohammad, Masoumi Ahmad, Hassani Shokoufeh, Mirnia Kayvan

机构信息

Pediatric Urology and Regenerative Medicine Research Center, Gene, Cell & Tissue Research Institute Tehran University of Medical Sciences, Tehran, Iran.

Faculty of Veterinary Medicine, Tabriz Medical Sciences, Islamic Azad University, Tabriz, Iran.

出版信息

Regen Ther. 2023 Jun 3;24:43-53. doi: 10.1016/j.reth.2023.05.009. eCollection 2023 Dec.

Abstract

INTRODUCTION

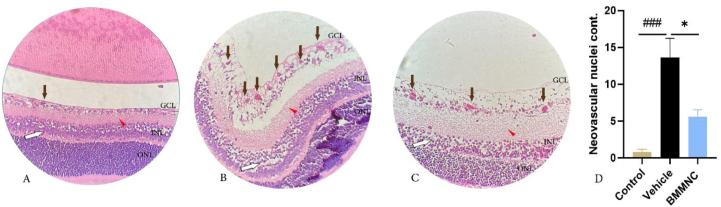
Retinopathy of prematurity (ROP) is a vasoproliferative disease that alters retinal vascular patterns in preterm neonates with immature retinal vasculature. This study was conducted to investigate the effects of cell therapy by bone marrow mononuclear cells (BMMNC) on neurological and vascular damages in a rat model of ROP.

METHODS

Ten newborn Wistar rats were divided randomly into the control and the oxygen-induced retinopathy (OIR) groups. Animals in the OIR group were incubated in an oxygen chamber to induce retinopathy. One eye of animals in the OIR group received BMMNC suspension (treated eyes), and the contralateral eye received the same volume of saline injection. Then, all animals underwent funduscopy, angiography, electroretinography, histopathology and immunohistochemical assessments.

RESULTS

Compared to the saline injection group, eyes treated with BMMNC had less vascular tortuosity while veins and arteries had relatively the same caliber, as revealed by fundus examinations. Eyes in the treatment group showed significantly elevated photopic and scotopic B waves amplitude. Neovascularization in the inner retinal layer and apoptosis of neural retina cells in the treatment group was significantly lower compared to untreated eyes. Also, BMMNC transplantation decreased glial cell activation and VEGF expression in ischemic retina.

CONCLUSIONS

Our results indicate that intravitreal injection of BMMNC reduces neural and vascular damages and results in recovered retinal function in rat model of ROP. Ease of extraction without in vitro processing, besides the therapeutic effects of BMMNCs, make this source of cells as a new choice of therapy for ROP or other retinal ischemic diseases.

摘要

引言

早产儿视网膜病变(ROP)是一种血管增殖性疾病,会改变视网膜血管系统未成熟的早产儿的视网膜血管模式。本研究旨在探讨骨髓单个核细胞(BMMNC)细胞治疗对ROP大鼠模型神经和血管损伤的影响。

方法

将10只新生Wistar大鼠随机分为对照组和氧诱导性视网膜病变(OIR)组。OIR组动物置于氧舱中诱导视网膜病变。OIR组动物的一只眼睛接受BMMNC悬液注射(治疗眼),对侧眼睛注射相同体积的生理盐水。然后,所有动物均接受眼底检查、血管造影、视网膜电图、组织病理学和免疫组织化学评估。

结果

眼底检查显示,与注射生理盐水组相比,接受BMMNC治疗的眼睛血管迂曲程度较轻,动静脉管径相对相同。治疗组眼睛的明视和暗视B波振幅显著升高。与未治疗的眼睛相比,治疗组视网膜内层的新生血管形成和神经视网膜细胞凋亡明显减少。此外,BMMNC移植降低了缺血视网膜中胶质细胞的活化和VEGF表达。

结论

我们的结果表明,玻璃体腔内注射BMMNC可减少神经和血管损伤,并使ROP大鼠模型的视网膜功能恢复。BMMNC易于提取且无需体外处理,除了其治疗效果外,使其成为ROP或其他视网膜缺血性疾病治疗的新选择。

https://cdn.ncbi.nlm.nih.gov/pmc/blobs/1e65/10276165/97710bd66ecc/gr1.jpg

文献AI研究员

20分钟写一篇综述,助力文献阅读效率提升50倍。

立即体验

用中文搜PubMed

大模型驱动的PubMed中文搜索引擎

马上搜索

文档翻译

学术文献翻译模型,支持多种主流文档格式。

立即体验