Suppr超能文献

聚乙二醇化 pH 响应性肽-mRNA 纳米自组装体增强了雾化 mRNA 的肺部递送效率和安全性。

PEGylated pH-responsive peptide-mRNA nano self-assemblies enhance the pulmonary delivery efficiency and safety of aerosolized mRNA.

机构信息

School of Pharmacy, Fujian Medical University, Fuzhou, China.

State Key Laboratory of Marine Environmental Science, Xiamen University, Xiamen, China.

出版信息

Drug Deliv. 2023 Dec;30(1):2219870. doi: 10.1080/10717544.2023.2219870.

Abstract

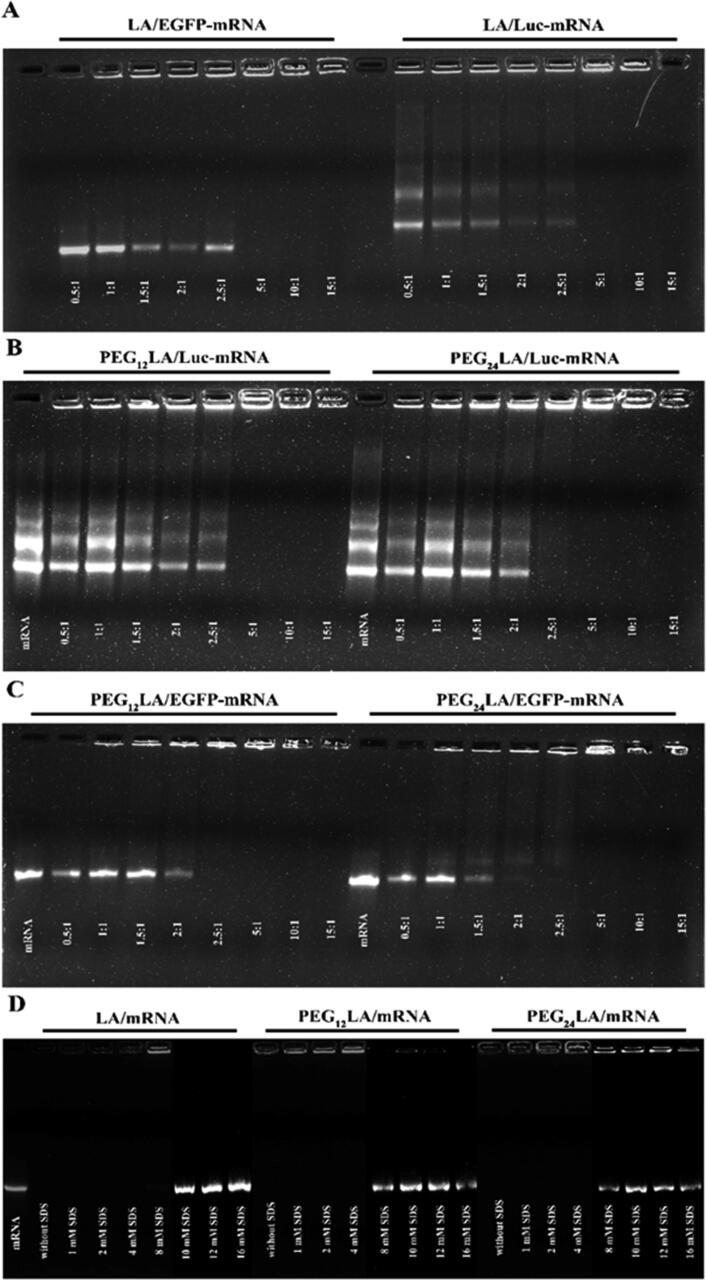
Inhalable messenger RNA (mRNA) has demonstrated great potential in therapy and vaccine development to confront various lung diseases. However, few gene vectors could overcome the airway mucus and intracellular barriers for successful pulmonary mRNA delivery. Apart from the low pulmonary gene delivery efficiency, nonnegligible toxicity is another common problem that impedes the clinical application of many non-viral vectors. PEGylated cationic peptide-based mRNA delivery vector is a prospective approach to enhance the pulmonary delivery efficacy and safety of aerosolized mRNA by oral inhalation administration. In this study, different lengths of hydrophilic PEG chains were covalently linked to an amphiphilic, water-soluble pH-responsive peptide, and the peptide/mRNA nano self-assemblies were characterized by dynamic light scattering (DLS) and transmission electron microscopy (TEM). The mRNA binding and release, cellular uptake, transfection, and cytotoxicity were studied, and finally, a proper PEGylated peptide with enhanced pulmonary mRNA delivery efficiency and improved safety in mice was identified. These results showed that a proper N-terminus PEGylation strategy using 12-monomer linear monodisperse PEG could significantly improve the mRNA transfection efficiency and biocompatibility of the non-PEGylated cationic peptide carrier, while a longer PEG chain modification adversely decreased the cellular uptake and transfection on A549 and HepG2 cells, emphasizing the importance of a proper PEG chain length selection. Moreover, the optimized PEGylated peptide showed a significantly enhanced mRNA pulmonary delivery efficiency and ameliorated safety profiles over the non-PEGylated peptide and Lipofectamine 2000 in mice. Our results reveal that the PEGylated peptide could be a promising mRNA delivery vector candidate for inhaled mRNA vaccines and therapeutic applications for the prevention and treatment of different respiratory diseases in the future.

摘要

可吸入信使 RNA(mRNA)在治疗和疫苗开发方面具有巨大潜力,可用于对抗各种肺部疾病。然而,很少有基因载体能够克服气道黏液和细胞内屏障,实现有效的肺部 mRNA 传递。除了肺部基因传递效率低之外,不可忽视的毒性是阻碍许多非病毒载体临床应用的另一个常见问题。聚乙二醇化阳离子肽基 mRNA 递药载体是一种有前途的方法,可以通过口服吸入给药来增强雾化 mRNA 的肺部递药效率和安全性。在这项研究中,将不同长度的亲水性聚乙二醇链共价连接到两亲性、水溶性 pH 响应肽上,并通过动态光散射(DLS)和透射电子显微镜(TEM)对肽/mRNA 纳米自组装体进行了表征。研究了 mRNA 结合和释放、细胞摄取、转染和细胞毒性,最终确定了一种具有增强肺部 mRNA 递药效率和提高小鼠安全性的合适聚乙二醇化肽。这些结果表明,使用 12-单体线性单分散聚乙二醇进行适当的 N 端聚乙二醇化策略,可以显著提高非聚乙二醇化阳离子肽载体的 mRNA 转染效率和生物相容性,而较长的聚乙二醇链修饰则会降低 A549 和 HepG2 细胞的细胞摄取和转染效率,这强调了选择适当聚乙二醇链长度的重要性。此外,优化后的聚乙二醇化肽在小鼠体内显著增强了 mRNA 的肺部递药效率,并改善了非聚乙二醇化肽和 Lipofectamine 2000 的安全性。我们的研究结果表明,聚乙二醇化肽可能成为一种有前途的吸入型 mRNA 疫苗递药载体候选物,用于预防和治疗未来的各种呼吸道疾病。

https://cdn.ncbi.nlm.nih.gov/pmc/blobs/b90b/10281356/719b39583bac/IDRD_A_2219870_UF0001_C.jpg

文献检索

告别复杂PubMed语法,用中文像聊天一样搜索,搜遍4000万医学文献。AI智能推荐,让科研检索更轻松。

立即免费搜索

文件翻译

保留排版,准确专业,支持PDF/Word/PPT等文件格式,支持 12+语言互译。

免费翻译文档

深度研究

AI帮你快速写综述,25分钟生成高质量综述,智能提取关键信息,辅助科研写作。

立即免费体验