• 文献检索
  • 文档翻译
  • 深度研究
  • 学术资讯
  • Suppr Zotero 插件Zotero 插件
  • 邀请有礼
  • 套餐&价格
  • 历史记录
应用&插件
Suppr Zotero 插件Zotero 插件浏览器插件Mac 客户端Windows 客户端微信小程序
定价
高级版会员购买积分包购买API积分包
服务
文献检索文档翻译深度研究API 文档MCP 服务
关于我们
关于 Suppr公司介绍联系我们用户协议隐私条款
关注我们

Suppr 超能文献

核心技术专利:CN118964589B侵权必究
粤ICP备2023148730 号-1Suppr @ 2026

文献检索

告别复杂PubMed语法,用中文像聊天一样搜索,搜遍4000万医学文献。AI智能推荐,让科研检索更轻松。

立即免费搜索

文件翻译

保留排版,准确专业,支持PDF/Word/PPT等文件格式,支持 12+语言互译。

免费翻译文档

深度研究

AI帮你快速写综述,25分钟生成高质量综述,智能提取关键信息,辅助科研写作。

立即免费体验

新辅助厄洛替尼治疗对肿瘤微环境的调节及其对可手术 EGFR 突变型非小细胞肺癌的临床影响。

Tumor Microenvironment Modulation by Neoadjuvant Erlotinib Therapy and Its Clinical Impact on Operable EGFR-Mutant Non-Small Cell Lung Cancer.

机构信息

Center for Lung Cancer, Division of Hematology and Oncology, Department of Internal Medicine, Research Institute and Hospital, National Cancer Center, Goyang, Korea.

Research Institute, National Cancer Center, Goyang, Korea.

出版信息

Cancer Res Treat. 2024 Jan;56(1):70-80. doi: 10.4143/crt.2023.482. Epub 2023 Jun 21.

DOI:10.4143/crt.2023.482
PMID:37340841
原文链接:https://pmc.ncbi.nlm.nih.gov/articles/PMC10789966/
Abstract

PURPOSE

Epidermal growth factor receptor (EGFR) tyrosine kinase inhibitors have greatly improved survival in EGFR-mutant (EGFRm) non-small cell lung cancer (NSCLC); however, their effects on the tumor microenvironment (TME) are unknown. We assessed the changes induced by neoadjuvant erlotinib therapy (NE) in the TME of operable EGFRm NSCLC.

MATERIALS AND METHODS

This was a single-arm phase II trial for neoadjuvant/adjuvant erlotinib therapy in patients with stage II/IIIA EGFRm NSCLC (EGFR exon 19 deletion or L858R mutations). Patients received up to 2 cycles of NE (150 mg/day) for 4 weeks, followed by surgery and adjuvant erlotinib or vinorelbine plus cisplatin therapy depending on observed NE response. TME changes were assessed based on gene expression analysis and mutation profiling.

RESULTS

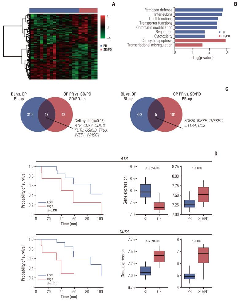
A total of 26 patients were enrolled; the median age was 61, 69% were female, 88% were stage IIIA, and 62% had L858R mutation. Among 25 patients who received NE, the objective response rate was 72% (95% confidence interval [CI], 52.4 to 85.7). The median disease-free and overall survival (OS) were 17.9 (95% CI, 10.5 to 25.4) and 84.7 months (95% CI, 49.7 to 119.8), respectively. Gene set enrichment analysis in resected tissues revealed upregulation of interleukin, complement, cytokine, transforming growth factor β, and hedgehog pathways. Patients with upregulated pathogen defense, interleukins, and T-cell function pathways at baseline exhibited partial response to NE and longer OS. Patients with upregulated cell cycle pathways at baseline exhibited stable/progressive disease after NE and shorter OS.

CONCLUSION

NE modulated the TME in EGFRm NSCLC. Upregulation of immune-related pathways was associated with better outcomes.

摘要

目的

表皮生长因子受体(EGFR)酪氨酸激酶抑制剂(TKI)显著改善了 EGFR 突变(EGFRm)非小细胞肺癌(NSCLC)患者的生存;然而,它们对肿瘤微环境(TME)的影响尚不清楚。我们评估了新辅助厄洛替尼治疗(NE)对可手术 EGFRm NSCLC 患者 TME 的影响。

材料和方法

这是一项单臂 II 期临床试验,用于 EGFRm NSCLC (EGFR 外显子 19 缺失或 L858R 突变)的新辅助/辅助厄洛替尼治疗。患者接受 2 个周期的 NE(每天 150mg)治疗 4 周,然后根据观察到的 NE 反应进行手术和辅助厄洛替尼或长春瑞滨加顺铂治疗。根据基因表达分析和突变分析评估 TME 变化。

结果

共纳入 26 例患者;中位年龄为 61 岁,69%为女性,88%为 IIIA 期,62%为 L858R 突变。在接受 NE 的 25 例患者中,客观缓解率为 72%(95%可信区间,52.4%至 85.7%)。无疾病进展和总生存(OS)的中位时间分别为 17.9 个月(95%可信区间,10.5 至 25.4)和 84.7 个月(95%可信区间,49.7 至 119.8)。切除组织中的基因集富集分析显示白细胞介素、补体、细胞因子、转化生长因子β和 hedgehog 通路的上调。基线时上调病原体防御、白细胞介素和 T 细胞功能途径的患者对 NE 有部分缓解和更长的 OS。基线时上调细胞周期途径的患者在 NE 后表现为稳定/进展性疾病和较短的 OS。

结论

NE 调节了 EGFRm NSCLC 的 TME。免疫相关途径的上调与更好的结果相关。

https://cdn.ncbi.nlm.nih.gov/pmc/blobs/9f0e/10789966/cdbf409c78c0/crt-2023-482f4.jpg
https://cdn.ncbi.nlm.nih.gov/pmc/blobs/9f0e/10789966/93d9f84ab1aa/crt-2023-482f1.jpg
https://cdn.ncbi.nlm.nih.gov/pmc/blobs/9f0e/10789966/3b5eaa50c56a/crt-2023-482f2.jpg
https://cdn.ncbi.nlm.nih.gov/pmc/blobs/9f0e/10789966/472f7c1a8ac9/crt-2023-482f3.jpg
https://cdn.ncbi.nlm.nih.gov/pmc/blobs/9f0e/10789966/cdbf409c78c0/crt-2023-482f4.jpg
https://cdn.ncbi.nlm.nih.gov/pmc/blobs/9f0e/10789966/93d9f84ab1aa/crt-2023-482f1.jpg
https://cdn.ncbi.nlm.nih.gov/pmc/blobs/9f0e/10789966/3b5eaa50c56a/crt-2023-482f2.jpg
https://cdn.ncbi.nlm.nih.gov/pmc/blobs/9f0e/10789966/472f7c1a8ac9/crt-2023-482f3.jpg
https://cdn.ncbi.nlm.nih.gov/pmc/blobs/9f0e/10789966/cdbf409c78c0/crt-2023-482f4.jpg

相似文献

1
Tumor Microenvironment Modulation by Neoadjuvant Erlotinib Therapy and Its Clinical Impact on Operable EGFR-Mutant Non-Small Cell Lung Cancer.新辅助厄洛替尼治疗对肿瘤微环境的调节及其对可手术 EGFR 突变型非小细胞肺癌的临床影响。
Cancer Res Treat. 2024 Jan;56(1):70-80. doi: 10.4143/crt.2023.482. Epub 2023 Jun 21.
2
Erlotinib Versus Gemcitabine Plus Cisplatin as Neoadjuvant Treatment of Stage IIIA-N2 -Mutant Non-Small-Cell Lung Cancer (EMERGING-CTONG 1103): A Randomized Phase II Study.厄洛替尼对比吉西他滨联合顺铂用于 IIIA-N2 期突变型非小细胞肺癌的新辅助治疗(EMERGING-CTONG 1103):一项随机 II 期研究。
J Clin Oncol. 2019 Sep 1;37(25):2235-2245. doi: 10.1200/JCO.19.00075. Epub 2019 Jun 13.
3
Erlotinib versus vinorelbine plus cisplatin as adjuvant therapy in Chinese patients with stage IIIA EGFR mutation-positive non-small-cell lung cancer (EVAN): a randomised, open-label, phase 2 trial.厄洛替尼对比长春瑞滨联合顺铂用于表皮生长因子受体突变阳性的 IIIA 期非小细胞肺癌中国患者的辅助治疗(EVAN):一项随机、开放标签、二期临床试验。
Lancet Respir Med. 2018 Nov;6(11):863-873. doi: 10.1016/S2213-2600(18)30277-7. Epub 2018 Aug 24.
4
Gefitinib versus vinorelbine plus cisplatin as adjuvant treatment for stage II-IIIA (N1-N2) EGFR-mutant NSCLC (ADJUVANT/CTONG1104): a randomised, open-label, phase 3 study.吉非替尼对比长春瑞滨联合顺铂作为 EGFR 突变型 II-IIIA 期(N1-N2)可切除 NSCLC(ADJUVANT/CTONG1104)的辅助治疗:一项随机、开放标签、III 期研究。
Lancet Oncol. 2018 Jan;19(1):139-148. doi: 10.1016/S1470-2045(17)30729-5. Epub 2017 Nov 21.
5
Erlotinib versus standard chemotherapy as first-line treatment for European patients with advanced EGFR mutation-positive non-small-cell lung cancer (EURTAC): a multicentre, open-label, randomised phase 3 trial.厄洛替尼对比标准化疗用于治疗欧洲晚期 EGFR 突变阳性非小细胞肺癌患者的一线治疗(EURTAC):一项多中心、开放标签、随机、3 期临床试验。
Lancet Oncol. 2012 Mar;13(3):239-46. doi: 10.1016/S1470-2045(11)70393-X. Epub 2012 Jan 26.
6
Erlotinib versus gemcitabine plus cisplatin as neoadjuvant treatment of stage IIIA-N2 EGFR-mutant non-small-cell lung cancer: final overall survival analysis of the EMERGING-CTONG 1103 randomised phase II trial.厄洛替尼对比吉西他滨联合顺铂用于 IIIA-N2 期 EGFR 突变非小细胞肺癌新辅助治疗:CTONG1103 随机 II 期试验的最终总生存分析。
Signal Transduct Target Ther. 2023 Feb 24;8(1):76. doi: 10.1038/s41392-022-01286-3.
7
Erlotinib as Neoadjuvant Therapy in Stage IIIA (N2) Mutation-Positive Non-Small Cell Lung Cancer: A Prospective, Single-Arm, Phase II Study.厄洛替尼作为 IIIA(N2)期突变阳性非小细胞肺癌新辅助治疗的前瞻性、单臂、Ⅱ期研究。
Oncologist. 2019 Feb;24(2):157-e64. doi: 10.1634/theoncologist.2018-0120. Epub 2018 Aug 29.
8
SELECT: A Phase II Trial of Adjuvant Erlotinib in Patients With Resected Epidermal Growth Factor Receptor-Mutant Non-Small-Cell Lung Cancer.选择:表皮生长因子受体突变型非小细胞肺癌患者术后辅助厄洛替尼的 II 期临床试验。
J Clin Oncol. 2019 Jan 10;37(2):97-104. doi: 10.1200/JCO.18.00131. Epub 2018 Nov 16.
9
Non-small cell lung cancer harbouring non-resistant uncommon EGFR mutations: Mutation patterns, effectiveness of epidermal growth factor receptor-tyrosine kinase inhibitors and prognostic factors.非小细胞肺癌中不耐药的罕见 EGFR 突变:突变模式、表皮生长因子受体酪氨酸激酶抑制剂的有效性和预后因素。
Eur J Cancer. 2019 Sep;119:77-86. doi: 10.1016/j.ejca.2019.06.025. Epub 2019 Aug 16.
10
Updated Overall Survival and Exploratory Analysis From Randomized, Phase II EVAN Study of Erlotinib Versus Vinorelbine Plus Cisplatin Adjuvant Therapy in Stage IIIA Epidermal Growth Factor Receptor+ Non-Small-Cell Lung Cancer.埃罗替尼对比长春瑞滨联合顺铂辅助治疗表皮生长因子受体阳性 IIIA 期非小细胞肺癌的随机 II 期 EVAN 研究的更新总生存和探索性分析。
J Clin Oncol. 2022 Dec 1;40(34):3912-3917. doi: 10.1200/JCO.22.00428. Epub 2022 Aug 26.

本文引用的文献

1
Changes of tumor microenvironment in non-small cell lung cancer after TKI treatments.TKI 治疗后非小细胞肺癌肿瘤微环境的变化。
Front Immunol. 2023 Mar 6;14:1094764. doi: 10.3389/fimmu.2023.1094764. eCollection 2023.
2
TGF-β Signaling and Resistance to Cancer Therapy.转化生长因子-β信号传导与癌症治疗耐药性
Front Cell Dev Biol. 2021 Nov 30;9:786728. doi: 10.3389/fcell.2021.786728. eCollection 2021.
3
Treatment with immune checkpoint inhibitors after EGFR-TKIs in EGFR-mutated lung cancer.表皮生长因子受体突变型肺癌中表皮生长因子受体酪氨酸激酶抑制剂治疗后的免疫检查点抑制剂治疗。
Thorac Cancer. 2022 Feb;13(3):386-393. doi: 10.1111/1759-7714.14267. Epub 2021 Dec 13.
4
KIR3DL3-HHLA2 is a human immunosuppressive pathway and a therapeutic target.KIR3DL3-HHLA2 是人体免疫抑制途径和治疗靶点。
Sci Immunol. 2021 Jul 9;6(61). doi: 10.1126/sciimmunol.abf9792.
5
Global Cancer Statistics 2020: GLOBOCAN Estimates of Incidence and Mortality Worldwide for 36 Cancers in 185 Countries.《全球癌症统计数据 2020:全球 185 个国家和地区 36 种癌症的发病率和死亡率估计》。
CA Cancer J Clin. 2021 May;71(3):209-249. doi: 10.3322/caac.21660. Epub 2021 Feb 4.
6
Targeting TGFβ signal transduction for cancer therapy.针对 TGFβ 信号转导的癌症治疗。
Signal Transduct Target Ther. 2021 Jan 8;6(1):8. doi: 10.1038/s41392-020-00436-9.
7
Gefitinib Versus Vinorelbine Plus Cisplatin as Adjuvant Treatment for Stage II-IIIA (N1-N2) EGFR-Mutant NSCLC: Final Overall Survival Analysis of CTONG1104 Phase III Trial.吉非替尼对比长春瑞滨联合顺铂用于 II-IIIA 期(N1-N2)表皮生长因子受体突变型非小细胞肺癌的辅助治疗:CTONG1104 期 III 临床试验最终总生存分析。
J Clin Oncol. 2021 Mar 1;39(7):713-722. doi: 10.1200/JCO.20.01820. Epub 2020 Dec 17.
8
KIR3DL3 Is an Inhibitory Receptor for HHLA2 that Mediates an Alternative Immunoinhibitory Pathway to PD1.KIR3DL3 是 HHLA2 的抑制性受体,介导 PD1 的替代免疫抑制途径。
Cancer Immunol Res. 2021 Feb;9(2):156-169. doi: 10.1158/2326-6066.CIR-20-0315. Epub 2020 Nov 23.
9
Osimertinib in Resected -Mutated Non-Small-Cell Lung Cancer.奥希替尼治疗可切除突变型非小细胞肺癌。
N Engl J Med. 2020 Oct 29;383(18):1711-1723. doi: 10.1056/NEJMoa2027071. Epub 2020 Sep 19.
10
Potential prognostic value of delta-like protein 3 in small cell lung cancer: a meta-analysis.δ样蛋白3在小细胞肺癌中的潜在预后价值:一项荟萃分析。
World J Surg Oncol. 2020 Aug 26;18(1):226. doi: 10.1186/s12957-020-02004-5.