Suppr超能文献

具有优化力学性能和血管化功能的组织工程气管支架用于气管再生的研究进展

Development of tissue-engineered tracheal scaffold with refined mechanical properties and vascularisation for tracheal regeneration.

作者信息

Khalid Tehreem, Soriano Luis, Lemoine Mark, Cryan Sally-Ann, O'Brien Fergal J, O'Leary Cian

机构信息

School of Pharmacy and Biomolecular Sciences, RCSI University of Medicine and Health Sciences, Dublin, Ireland.

Tissue Engineering Research Group, RCSI University of Medicine and Health Sciences, Dublin, Ireland.

出版信息

Front Bioeng Biotechnol. 2023 Jun 6;11:1187500. doi: 10.3389/fbioe.2023.1187500. eCollection 2023.

Abstract

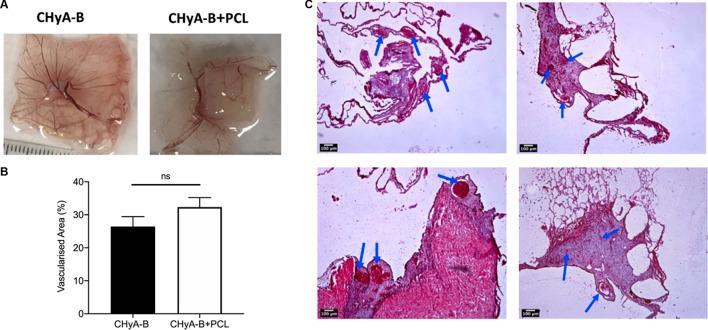
Attempted tracheal replacement efforts thus far have had very little success. Major limiting factors have been the inability to efficiently re-vascularise and mimic the mechanical properties of native tissue. The major objective of this study was to optimise a previously developed collagen-hyaluronic acid scaffold (CHyA-B), which has shown to facilitate the growth of respiratory cells in distinct regions, as a potential tracheal replacement device. A biodegradable thermoplastic polymer was 3D-printed into different designs and underwent multi-modal mechanical assessment. The 3D-printed constructs were incorporated into the CHyA-B scaffolds and subjected to and vascularisation. The polymeric backbone provided sufficient strength to the CHyA-B scaffold, with yield loads of 1.31-5.17 N/mm and flexural moduli of 0.13-0.26 MPa. Angiogenic growth factor release (VEGF and bFGF) and angiogenic gene upregulation (KDR, TEK-2 and ANG-1) was detected in composite scaffolds and remained sustainable up to 14 days. Confocal microscopy and histological sectioning confirmed the presence of infiltrating blood vessel throughout composite scaffolds both and . By addressing both the mechanical and physiological requirements of tracheal scaffolds, this work has begun to pave the way for a new therapeutic option for large tracheal defects.

摘要

迄今为止,气管置换的尝试成效甚微。主要限制因素在于无法有效地进行血管再形成以及模拟天然组织的力学性能。本研究的主要目标是优化先前开发的胶原蛋白 - 透明质酸支架(CHyA - B),该支架已显示出能促进不同区域呼吸细胞的生长,将其作为一种潜在的气管置换装置。一种可生物降解的热塑性聚合物被3D打印成不同设计并进行多模态力学评估。将3D打印构建体整合到CHyA - B支架中,并进行血管化处理。聚合物骨架为CHyA - B支架提供了足够的强度,屈服载荷为1.31 - 5.17 N/mm,弯曲模量为0.13 - 0.26 MPa。在复合支架中检测到血管生成生长因子释放(VEGF和bFGF)以及血管生成基因上调(KDR、TEK - 2和ANG - 1),并且可持续长达14天。共聚焦显微镜和组织切片证实,在体内和体外,复合支架中均存在浸润血管。通过满足气管支架的力学和生理要求,这项工作已开始为大型气管缺损的新治疗选择铺平道路。

https://cdn.ncbi.nlm.nih.gov/pmc/blobs/3815/10281188/bc8f27b9d32b/fbioe-11-1187500-g001.jpg

文献AI研究员

20分钟写一篇综述,助力文献阅读效率提升50倍。

立即体验

用中文搜PubMed

大模型驱动的PubMed中文搜索引擎

马上搜索

文档翻译

学术文献翻译模型,支持多种主流文档格式。

立即体验