Suppr超能文献

新生儿克罗诺杆菌脑脓肿与难治性癫痫:癫痫手术的作用。病例说明

Cronobacter brain abscess and refractory epilepsy in a newborn: role of epilepsy surgery. Illustrative case.

作者信息

Yang Meredith, Tsiang John, LoPresti Melissa A, Lam Sandi

机构信息

1Pritzker School of Medicine, University of Chicago, Chicago, Illinois.

2Department of Neurosurgery, Stritch School of Medicine, Loyola University Medical Center, Maywood, Illinois; and.

出版信息

J Neurosurg Case Lessons. 2023 Jun 19;5(25). doi: 10.3171/CASE23140.

Abstract

BACKGROUND

Neonatal meningitis due to Cronobacter is associated with powdered infant formula. Prompt recognition of this rare but aggressive infection is critical.

OBSERVATIONS

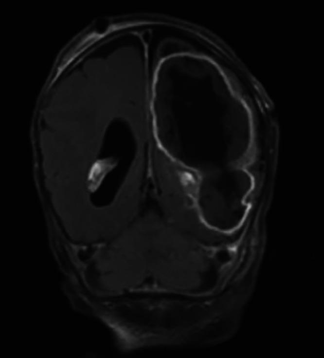
The authors report a unique case of neonatal Cronobacter meningoencephalitis complicated by brain abscess and status epilepticus, requiring surgical intervention in a preterm 4-week-old male and related to contaminated powdered infant formula. They discuss the medical and surgical management in this patient, as well as the role of epilepsy surgery in acute drug-resistant epilepsy. This is paired with a literature review examining Cronobacter infections in infants to provide a summative review of the existing literature.

LESSONS

Cronobacter contamination in powdered infant formula and breast pumps is rare but can cause life-threatening infections. When evaluating patients with Cronobacter central nervous system infections, serial neuroimaging, infection control, and prompt surgical management are essential. Future studies are needed regarding the role of epilepsy surgery in the acute infectious period.

摘要

背景

阪崎肠杆菌引起的新生儿脑膜炎与婴儿配方奶粉有关。及时识别这种罕见但侵袭性强的感染至关重要。

观察结果

作者报告了一例独特的新生儿阪崎肠杆菌脑膜脑炎病例,该病例并发脑脓肿和癫痫持续状态,一名4周大的早产男婴需要手术干预,且与受污染的婴儿配方奶粉有关。他们讨论了该患者的内科和外科治疗,以及癫痫手术在急性耐药性癫痫中的作用。同时进行了一项文献综述,研究婴儿中的阪崎肠杆菌感染情况,以对现有文献进行总结性回顾。

经验教训

婴儿配方奶粉和吸奶器中的阪崎肠杆菌污染虽罕见,但可导致危及生命的感染。在评估阪崎肠杆菌中枢神经系统感染患者时,连续的神经影像学检查、感染控制和及时的外科治疗至关重要。关于癫痫手术在急性感染期的作用,还需要进一步的研究。

https://cdn.ncbi.nlm.nih.gov/pmc/blobs/c727/10550530/f198da003b48/CASE23140f1.jpg

相似文献

2
Cronobacter spp. in powdered infant formula.
J Food Prot. 2012 Mar;75(3):607-20. doi: 10.4315/0362-028X.JFP-11-285.
3
Species in Powdered Infant Formula and Their Detection Methods.
Korean J Food Sci Anim Resour. 2018 Apr;38(2):376-390. doi: 10.5851/kosfa.2018.38.2.376. Epub 2018 Apr 30.
5
Cronobacter species isolation in two infants - New Mexico, 2008.
MMWR Morb Mortal Wkly Rep. 2009 Oct 30;58(42):1179-83.
6
Prevention of invasive Cronobacter infections in young infants fed powdered infant formulas.
Pediatrics. 2012 Nov;130(5):e1076-84. doi: 10.1542/peds.2011-3855. Epub 2012 Oct 8.
7
My 40-Year History with Cronobacter/Enterobacter sakazakii - Lessons Learned, Myths Debunked, and Recommendations.
Front Pediatr. 2015 Nov 27;3:84. doi: 10.3389/fped.2015.00084. eCollection 2015.
8
Cronobacter spp. as emerging causes of healthcare-associated infection.
J Hosp Infect. 2014 Mar;86(3):169-77. doi: 10.1016/j.jhin.2013.09.011. Epub 2013 Oct 16.
9
Meningitis and brain abscess formation caused by Cronobacter malonaticus sequence type 440 in a full-term neonate.
J Infect Chemother. 2021 Nov;27(11):1648-1652. doi: 10.1016/j.jiac.2021.06.002. Epub 2021 Jun 25.
10
Epidemiology of invasive neonatal Cronobacter (Enterobacter sakazakii) infections.
Eur J Clin Microbiol Infect Dis. 2009 Nov;28(11):1297-304. doi: 10.1007/s10096-009-0779-4. Epub 2009 Aug 7.

本文引用的文献

1
Ensuring a Safe and Reliable Supply of Infant Formula in the US.
JAMA Health Forum. 2022 Jun 3;3(6):e222542. doi: 10.1001/jamahealthforum.2022.2542.
2
Meningitis and brain abscess formation caused by Cronobacter malonaticus sequence type 440 in a full-term neonate.
J Infect Chemother. 2021 Nov;27(11):1648-1652. doi: 10.1016/j.jiac.2021.06.002. Epub 2021 Jun 25.
5
Food Safety and Invasive Cronobacter Infections during Early Infancy, 1961-2018.
Emerg Infect Dis. 2020 May;26(5):857-65. doi: 10.3201/eid2605.190858.
6
Brain abscess in pediatric age: a review.
Childs Nerv Syst. 2019 Jul;35(7):1117-1128. doi: 10.1007/s00381-019-04182-4. Epub 2019 May 6.
7
8
Case 4: Poor Feeding and Lethargy in a 32-day-old Infant.
Pediatr Rev. 2018 Feb;39(2):95. doi: 10.1542/pir.2016-0159.
10
Epilepsy after cerebral infection: review of the literature and the potential for surgery.
Epileptic Disord. 2017 Jun 1;19(2):117-136. doi: 10.1684/epd.2017.0916.

文献AI研究员

20分钟写一篇综述,助力文献阅读效率提升50倍。

立即体验

用中文搜PubMed

大模型驱动的PubMed中文搜索引擎

马上搜索

文档翻译

学术文献翻译模型,支持多种主流文档格式。

立即体验