Suppr超能文献

采用多重逆转录-聚合酶链反应检测法同时快速检测小型家禽的呼吸道疾病。

Simultaneous and rapid detection of avian respiratory diseases of small poultry using multiplex reverse transcription-Polymerase Chain Reaction assay.

机构信息

Biotechnology Research Center, Shahrekord Branch, Islamic Azad University, Shahrekord, Iran; Department of Biology, Faculty of Biological Sciences, East Tehran Branch, Islamic Azad University, Tehran, Iran.

Department of Cell and Molecular Biology, Faculty of Biological Sciences, Kharazmi University, Tehran, Iran.

出版信息

Poult Sci. 2023 Aug;102(8):102852. doi: 10.1016/j.psj.2023.102852. Epub 2023 Jun 8.

Abstract

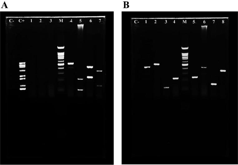
Major viral infections, such as Newcastle disease virus, infectious bronchitis virus, avian influenza virus, and infectious bursal disease virus, inflict significant injury to small poultry and tremendous economic damage to the poultry sector. This research aims to develop a multiplex reverse transcriptase polymerase chain reaction (m-RT-PCR) approach to simultaneously determine these important viral pathogens. The conserved segment of various viral genetic sequences was used to design and synthesize specific primers. Moreover, as positive controls, recombinant vectors were synthesized in this investigation. The d-optimal approach was used to improve PCR conditions in this investigation. Positive controls and clinical samples were used to assess the m-PCR assay's specificity, sensitivity, repeatability, and reproducibility. According to the sensitivity test findings, the m-PCR technique could generate the 8 target genes from viral genomes using 1 × 102. In addition, 8 viral pathogens were detected from the infected samples. The findings also suggest that live animal oral swabs were not significantly different from tissue sampling of a dead animal (P < 0.05), and this kit had a high sensitivity for analyzing both types of samples. The suggested m-PCR test may detect and evaluate viral infection in birds with excellent specificity, sensitivity, and throughput.

摘要

主要的病毒性感染,如新城疫病毒、传染性支气管炎病毒、禽流感病毒和传染性法氏囊病病毒,会对小型家禽造成严重伤害,并给家禽业带来巨大的经济损失。本研究旨在开发一种多重逆转录聚合酶链反应(m-RT-PCR)方法,以同时确定这些重要的病毒病原体。各种病毒遗传序列的保守片段被用于设计和合成特异性引物。此外,在本研究中还合成了重组载体作为阳性对照。在本研究中,使用 d-最优方法来改进 PCR 条件。使用阳性对照和临床样本来评估 m-PCR 检测的特异性、灵敏度、重复性和再现性。根据灵敏度测试结果,m-PCR 技术可以使用 1×102 从病毒基因组中生成 8 个靶基因。此外,从感染样本中检测到 8 种病毒病原体。研究结果还表明,活禽口腔拭子与死禽组织采样无显著差异(P<0.05),该试剂盒对两种类型的样本均具有较高的灵敏度。建议的 m-PCR 检测方法具有良好的特异性、灵敏度和通量,可用于检测和评估禽类的病毒感染。

https://cdn.ncbi.nlm.nih.gov/pmc/blobs/625e/10404739/00f796c0e962/gr1.jpg

文献AI研究员

20分钟写一篇综述,助力文献阅读效率提升50倍。

立即体验

用中文搜PubMed

大模型驱动的PubMed中文搜索引擎

马上搜索

文档翻译

学术文献翻译模型,支持多种主流文档格式。

立即体验