• 文献检索
  • 文档翻译
  • 深度研究
  • 学术资讯
  • Suppr Zotero 插件Zotero 插件
  • 邀请有礼
  • 套餐&价格
  • 历史记录
应用&插件
Suppr Zotero 插件Zotero 插件浏览器插件Mac 客户端Windows 客户端微信小程序
定价
高级版会员购买积分包购买API积分包
服务
文献检索文档翻译深度研究API 文档MCP 服务
关于我们
关于 Suppr公司介绍联系我们用户协议隐私条款
关注我们

Suppr 超能文献

核心技术专利:CN118964589B侵权必究
粤ICP备2023148730 号-1Suppr @ 2026

文献检索

告别复杂PubMed语法,用中文像聊天一样搜索,搜遍4000万医学文献。AI智能推荐,让科研检索更轻松。

立即免费搜索

文件翻译

保留排版,准确专业,支持PDF/Word/PPT等文件格式,支持 12+语言互译。

免费翻译文档

深度研究

AI帮你快速写综述,25分钟生成高质量综述,智能提取关键信息,辅助科研写作。

立即免费体验

环境空气会影响犁鼻器的状况吗?集约化养殖的小鼠模型。

Does the Environmental Air Impact the Condition of the Vomeronasal Organ? A Mouse Model for Intensive Farming.

作者信息

Mechin Violaine, Pageat Patrick, Boutry Marion, Teruel Eva, Portalier Céline, Asproni Pietro

机构信息

Tissular Biology and Chemical Communication Department, IRSEA, Institute of Research in Semiochemistry and Applied Ethology, 84400 Apt, France.

Research and Education Board, IRSEA, Institute of Research in Semiochemisrty and Applied Ethology, 84400 Apt, France.

出版信息

Animals (Basel). 2023 Jun 7;13(12):1902. doi: 10.3390/ani13121902.

DOI:10.3390/ani13121902
PMID:37370413
原文链接:https://pmc.ncbi.nlm.nih.gov/articles/PMC10294897/
Abstract

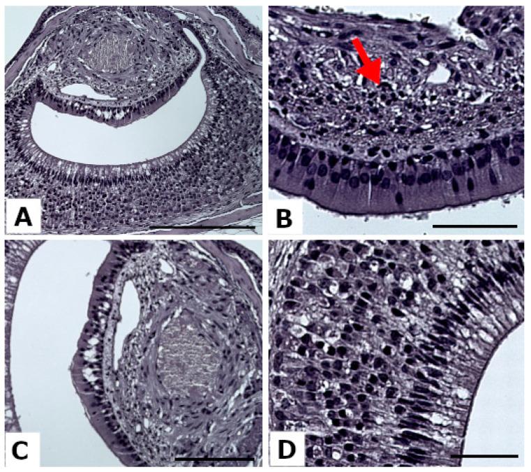
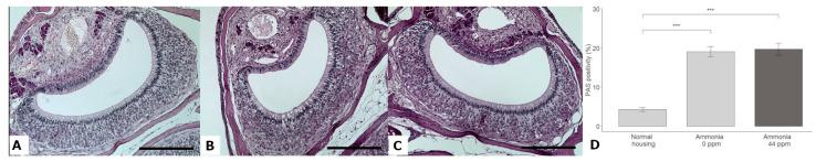
Chemical communication in mammals is ensured by exchanging chemical signals through the vomeronasal organ (VNO) and its ability to detect pheromones. The alteration of this organ has been proven to impact animal life, participating in the onset of aggressive behaviors in social groups. To date, few studies have highlighted the possible causes leading to these alterations, and the farming environment has not been investigated, even though irritant substances such as ammonia are known to induce serious damage in the respiratory tract. The goal of this study was to investigate the environmental impact on the VNO structure. Thirty mice were split into three groups, one housed in normal laboratory conditions and the other two in confined environments, with or without the release of litter ammonia. VNOs were analyzed using histology and immunohistochemistry to evaluate the effect of different environments on their condition. Both restricted conditions induced VNO alterations ( = 0.0311), soft-tissue alteration ( = 0.0480), and nonsensory epithelium inflammation ( = 0.0024). There was glycogen accumulation ( < 0.0001), the olfactory marker protein was underexpressed ( < 0.0001), and Gαi2 positivity remained unchanged while Gαo expression was upregulated in confined conditions. VNO conditions seemed to worsen with ammonia, even if not always significantly. These murine model results suggest that the housing environment can strongly impact VNO conditions, providing novel insights for improving indoor farming systems.

摘要

哺乳动物通过犁鼻器(VNO)交换化学信号及其检测信息素的能力来确保化学通讯。已证实该器官的改变会影响动物的生活,参与社会群体中攻击性行为的发生。迄今为止,很少有研究强调导致这些改变的可能原因,并且即使已知氨等刺激性物质会对呼吸道造成严重损害,养殖环境也尚未得到研究。本研究的目的是调查环境对犁鼻器结构的影响。将30只小鼠分为三组,一组饲养在正常实验室条件下,另外两组饲养在密闭环境中,一组有垫料氨释放,另一组没有。使用组织学和免疫组织化学分析犁鼻器,以评估不同环境对其状况的影响。两种受限条件均导致犁鼻器改变(P = 0.0311)、软组织改变(P = 0.0480)和非感觉上皮炎症(P = 0.0024)。存在糖原积累(P < 0.0001),嗅觉标记蛋白表达不足(P < 0.0001),在受限条件下Gαi2阳性保持不变,而Gαo表达上调。即使不总是显著,犁鼻器状况似乎会因氨而恶化。这些小鼠模型结果表明,饲养环境会强烈影响犁鼻器状况,为改善室内养殖系统提供了新的见解。

https://cdn.ncbi.nlm.nih.gov/pmc/blobs/7dd6/10294897/44a35d8c8aaa/animals-13-01902-g011.jpg
https://cdn.ncbi.nlm.nih.gov/pmc/blobs/7dd6/10294897/51548bac9c9f/animals-13-01902-g003.jpg
https://cdn.ncbi.nlm.nih.gov/pmc/blobs/7dd6/10294897/405111540f13/animals-13-01902-g004.jpg
https://cdn.ncbi.nlm.nih.gov/pmc/blobs/7dd6/10294897/5714cc369df0/animals-13-01902-g005.jpg
https://cdn.ncbi.nlm.nih.gov/pmc/blobs/7dd6/10294897/324d91814f91/animals-13-01902-g006.jpg
https://cdn.ncbi.nlm.nih.gov/pmc/blobs/7dd6/10294897/e26d2dafcb16/animals-13-01902-g007.jpg
https://cdn.ncbi.nlm.nih.gov/pmc/blobs/7dd6/10294897/5c3ec6e12f71/animals-13-01902-g008.jpg
https://cdn.ncbi.nlm.nih.gov/pmc/blobs/7dd6/10294897/4d94a0d97c76/animals-13-01902-g009.jpg
https://cdn.ncbi.nlm.nih.gov/pmc/blobs/7dd6/10294897/0d37ef717901/animals-13-01902-g010.jpg
https://cdn.ncbi.nlm.nih.gov/pmc/blobs/7dd6/10294897/44a35d8c8aaa/animals-13-01902-g011.jpg
https://cdn.ncbi.nlm.nih.gov/pmc/blobs/7dd6/10294897/51548bac9c9f/animals-13-01902-g003.jpg
https://cdn.ncbi.nlm.nih.gov/pmc/blobs/7dd6/10294897/405111540f13/animals-13-01902-g004.jpg
https://cdn.ncbi.nlm.nih.gov/pmc/blobs/7dd6/10294897/5714cc369df0/animals-13-01902-g005.jpg
https://cdn.ncbi.nlm.nih.gov/pmc/blobs/7dd6/10294897/324d91814f91/animals-13-01902-g006.jpg
https://cdn.ncbi.nlm.nih.gov/pmc/blobs/7dd6/10294897/e26d2dafcb16/animals-13-01902-g007.jpg
https://cdn.ncbi.nlm.nih.gov/pmc/blobs/7dd6/10294897/5c3ec6e12f71/animals-13-01902-g008.jpg
https://cdn.ncbi.nlm.nih.gov/pmc/blobs/7dd6/10294897/4d94a0d97c76/animals-13-01902-g009.jpg
https://cdn.ncbi.nlm.nih.gov/pmc/blobs/7dd6/10294897/0d37ef717901/animals-13-01902-g010.jpg
https://cdn.ncbi.nlm.nih.gov/pmc/blobs/7dd6/10294897/44a35d8c8aaa/animals-13-01902-g011.jpg

相似文献

1
Does the Environmental Air Impact the Condition of the Vomeronasal Organ? A Mouse Model for Intensive Farming.环境空气会影响犁鼻器的状况吗?集约化养殖的小鼠模型。
Animals (Basel). 2023 Jun 7;13(12):1902. doi: 10.3390/ani13121902.
2
Does the Farming Method Influence the Porcine Vomeronasal Organ Condition? A Histological Study.养殖方法会影响猪的犁鼻器状况吗?一项组织学研究。
Animals (Basel). 2024 Jul 18;14(14):2105. doi: 10.3390/ani14142105.
3
Morphological and immunohistochemical study of the rabbit vomeronasal organ.兔犁鼻器的形态学和免疫组织化学研究。
J Anat. 2018 Dec;233(6):814-827. doi: 10.1111/joa.12884. Epub 2018 Sep 25.
4
Histological and Immunohistochemical Characterization of Vomeronasal Organ Aging in Mice.小鼠犁鼻器衰老的组织学和免疫组织化学特征
Animals (Basel). 2021 Apr 22;11(5):1211. doi: 10.3390/ani11051211.
5
Inflammation interferes with chemoreception in pigs by altering the neuronal layout of the vomeronasal sensory epithelium.炎症通过改变犁鼻器感觉上皮的神经元布局来干扰猪的化学感受。
Front Vet Sci. 2022 Sep 12;9:936838. doi: 10.3389/fvets.2022.936838. eCollection 2022.
6
Ontogenetic observations on the vomeronasal organ in two species of tamarins using neuron-specific beta-tubulin III.使用神经元特异性β-微管蛋白III对两种绢毛猴犁鼻器的个体发育观察。
Anat Rec A Discov Mol Cell Evol Biol. 2004 May;278(1):409-18. doi: 10.1002/ar.a.20035.
7
Mechanisms underlying pre- and postnatal development of the vomeronasal organ.嗅球前、后发育的机制。
Cell Mol Life Sci. 2021 Jun;78(12):5069-5082. doi: 10.1007/s00018-021-03829-3. Epub 2021 Apr 19.
8
Gαi2 vomeronasal neurons govern the initial outcome of an acute social competition.嗅球神经元支配急性社会竞争的初始结果。
Sci Rep. 2020 Jan 21;10(1):894. doi: 10.1038/s41598-020-57765-6.
9
Expression of neuron-specific markers by the vomeronasal neuroepithelium in six species of primates.六种灵长类动物犁鼻神经上皮中神经元特异性标志物的表达
Anat Rec A Discov Mol Cell Evol Biol. 2004 Nov;281(1):1190-200. doi: 10.1002/ar.a.20124.
10
The human vomeronasal organ. Part II: prenatal development.人类犁鼻器。第二部分:产前发育。
J Anat. 2000 Oct;197 Pt 3(Pt 3):421-36. doi: 10.1046/j.1469-7580.2000.19730421.x.

引用本文的文献

1
Does the Farming Method Influence the Porcine Vomeronasal Organ Condition? A Histological Study.养殖方法会影响猪的犁鼻器状况吗?一项组织学研究。
Animals (Basel). 2024 Jul 18;14(14):2105. doi: 10.3390/ani14142105.

本文引用的文献

1
Inflammation interferes with chemoreception in pigs by altering the neuronal layout of the vomeronasal sensory epithelium.炎症通过改变犁鼻器感觉上皮的神经元布局来干扰猪的化学感受。
Front Vet Sci. 2022 Sep 12;9:936838. doi: 10.3389/fvets.2022.936838. eCollection 2022.
2
Glycogen metabolism reprogramming promotes inflammation in coal dust-exposed lung.糖原代谢重编程促进煤尘暴露肺的炎症。
Ecotoxicol Environ Saf. 2022 Sep 1;242:113913. doi: 10.1016/j.ecoenv.2022.113913. Epub 2022 Jul 27.
3
Is There a Link between Vomeronasalitis and Aggression in Stable Social Groups of Female Pigs?
在稳定的雌性猪社会群体中,犁鼻器炎与攻击性之间是否存在关联?
Animals (Basel). 2022 Jan 26;12(3):303. doi: 10.3390/ani12030303.
4
Histological and Immunohistochemical Characterization of Vomeronasal Organ Aging in Mice.小鼠犁鼻器衰老的组织学和免疫组织化学特征
Animals (Basel). 2021 Apr 22;11(5):1211. doi: 10.3390/ani11051211.
5
Respiratory and Systemic Toxicity of Inhaled Artificial Asian Sand Dust in Pigs.猪吸入人工亚洲沙尘的呼吸及全身毒性
Life (Basel). 2021 Jan 4;11(1):25. doi: 10.3390/life11010025.
6
Metabolic effects of air pollution exposure and reversibility.空气污染暴露与可逆转性的代谢影响。
J Clin Invest. 2020 Nov 2;130(11):6034-6040. doi: 10.1172/JCI137315.
7
Ambient Air Pollution Increases the Risk of Cerebrovascular and Neuropsychiatric Disorders through Induction of Inflammation and Oxidative Stress.环境空气污染通过诱导炎症和氧化应激增加脑血管和神经精神疾病的风险。
Int J Mol Sci. 2020 Jun 17;21(12):4306. doi: 10.3390/ijms21124306.
8
Emissions of ammonia and hydrogen sulfide from typical dairy barns in central China and major factors influencing the emissions.中国中部典型奶牛舍氨气和硫化氢排放及主要影响因素。
Sci Rep. 2019 Sep 25;9(1):13821. doi: 10.1038/s41598-019-50269-y.
9
Central role of G protein Gαi2 and Gαi2 vomeronasal neurons in balancing territorial and infant-directed aggression of male mice.G 蛋白 Gαi2 和 Gαi2 犁鼻神经元在平衡雄性小鼠的领地和母婴指向性攻击中的核心作用。
Proc Natl Acad Sci U S A. 2019 Mar 12;116(11):5135-5143. doi: 10.1073/pnas.1821492116. Epub 2019 Feb 25.
10
New perspectives on corpora amylacea in the human brain.脑内类脂褐素小体的新视角。
Sci Rep. 2017 Feb 3;7:41807. doi: 10.1038/srep41807.