Suppr超能文献

新生儿高胆红素血症中胆红素诱导的转录组印记

Bilirubin-Induced Transcriptomic Imprinting in Neonatal Hyperbilirubinemia.

作者信息

Llido John Paul, Fioriti Emanuela, Pascut Devis, Giuffrè Mauro, Bottin Cristina, Zanconati Fabrizio, Tiribelli Claudio, Gazzin Silvia

机构信息

Liver Brain Unit "Rita Moretti", Fondazione Italiana Fegato-Onlus, Bldg. Q, AREA Science Park, 34149 Basovizza, Italy.

Department of Science and Technology, Philippine Council for Health Research and Development, Bicutan, Taguig City 1631, Philippines.

出版信息

Biology (Basel). 2023 Jun 8;12(6):834. doi: 10.3390/biology12060834.

Abstract

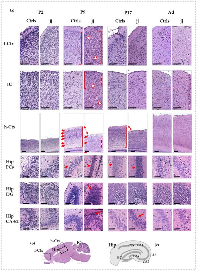
Recent findings indicated aberrant epigenetic control of the central nervous system (CNS) development in hyperbilirubinemic Gunn rats as an additional cause of cerebellar hypoplasia, the landmark of bilirubin neurotoxicity in rodents. Because the symptoms in severely hyperbilirubinemic human neonates suggest other regions as privileged targets of bilirubin neurotoxicity, we expanded the study of the potential impact of bilirubin on the control of postnatal brain development to regions correlating with human symptoms. Histology, transcriptomic, gene correlation, and behavioral studies were performed. The histology revealed widespread perturbation 9 days after birth, restoring in adulthood. At the genetic level, regional differences were noticed. Bilirubin affected synaptogenesis, repair, differentiation, energy, extracellular matrix development, etc., with transient alterations in the hippocampus (memory, learning, and cognition) and inferior colliculi (auditory functions) but permanent changes in the parietal cortex. Behavioral tests confirmed the presence of a permanent motor disability. The data correlate well both with the clinic description of neonatal bilirubin-induced neurotoxicity, as well as with the neurologic syndromes reported in adults that suffered neonatal hyperbilirubinemia. The results pave the way for better deciphering the neurotoxic features of bilirubin and evaluating deeply the efficacy of new therapeutic approaches against the acute and long-lasting sequels of bilirubin neurotoxicity.

摘要

最近的研究结果表明,高胆红素血症的Gunn大鼠中枢神经系统(CNS)发育存在异常的表观遗传调控,这是小脑发育不全的另一个原因,而小脑发育不全是啮齿动物胆红素神经毒性的标志性特征。由于重度高胆红素血症人类新生儿的症状表明其他区域是胆红素神经毒性的优先靶点,我们将胆红素对出生后大脑发育控制的潜在影响研究扩展到与人类症状相关的区域。进行了组织学、转录组学、基因相关性和行为学研究。组织学显示出生后9天出现广泛紊乱,成年后恢复。在基因水平上,注意到了区域差异。胆红素影响突触发生、修复、分化、能量、细胞外基质发育等,在海马体(记忆、学习和认知)和下丘(听觉功能)有短暂改变,但在顶叶皮质有永久性变化。行为测试证实存在永久性运动障碍。这些数据与新生儿胆红素诱导的神经毒性的临床描述以及成年后患有新生儿高胆红素血症的患者报告的神经综合征密切相关。这些结果为更好地解读胆红素的神经毒性特征以及深入评估针对胆红素神经毒性急性和长期后遗症的新治疗方法的疗效铺平了道路。

https://cdn.ncbi.nlm.nih.gov/pmc/blobs/640b/10295065/eb09d70e9e6c/biology-12-00834-g001.jpg

文献AI研究员

20分钟写一篇综述,助力文献阅读效率提升50倍。

立即体验

用中文搜PubMed

大模型驱动的PubMed中文搜索引擎

马上搜索

文档翻译

学术文献翻译模型,支持多种主流文档格式。

立即体验