Suppr超能文献

经手术切除成功治疗的纤维板层型肝细胞癌:一例报告

Fibrolamellar hepatocellular carcinoma that was successfully treated with surgical resection: a case report.

作者信息

Na Seong Kyun

机构信息

Department of Internal Medicine, Jeju National University College of Medicine, Jeju, Korea.

出版信息

J Liver Cancer. 2022 Sep;22(2):178-182. doi: 10.17998/jlc.2022.06.10. Epub 2022 Jun 22.

Abstract

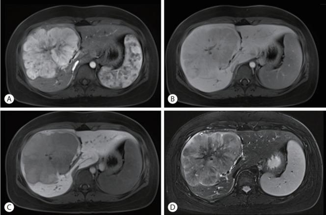
Fibrolamellar hepatocellular carcinoma (FLHCC) is a rare malignant hepatic cancer with characteristics that differ from those of typical hepatocellular carcinoma (HCC). Unlike conventional HCC, FLHCC is common in young patients without any underlying liver disease and is known to be associated with a unique gene mutation. This cancer type is rare in Asia, with only a few cases being reported in Korea. We report a case of FLHCC in a young woman that successfully underwent surgical resection. The efficacy of alternative treatments, such as transarterial chemoembolization or systemic chemotherapies, has not yet been established. To conclude, early diagnosis and appropriate surgical resection are important for the treatment of FLHCC.

摘要

纤维板层型肝细胞癌(FLHCC)是一种罕见的恶性肝癌,其特征与典型肝细胞癌(HCC)不同。与传统HCC不同,FLHCC在无任何潜在肝脏疾病的年轻患者中较为常见,且已知与一种独特的基因突变有关。这种癌症类型在亚洲很罕见,韩国仅报告了少数病例。我们报告了一例年轻女性FLHCC患者成功接受手术切除的病例。经动脉化疗栓塞或全身化疗等替代治疗的疗效尚未确定。总之,早期诊断和适当的手术切除对FLHCC的治疗很重要。

https://cdn.ncbi.nlm.nih.gov/pmc/blobs/41fe/10035731/71e4a2870e69/jlc-2022-06-10f1.jpg

文献AI研究员

20分钟写一篇综述,助力文献阅读效率提升50倍。

立即体验

用中文搜PubMed

大模型驱动的PubMed中文搜索引擎

马上搜索

文档翻译

学术文献翻译模型,支持多种主流文档格式。

立即体验