Suppr超能文献

首例以阑尾残端炎形式出现的原发性阑尾结核。

First case of primary appendiceal tuberculosis presented as stump appendicitis.

作者信息

Mathew Midhun, Mathew Tony, Joseph Elizabeth

机构信息

Masters of Surgery in Surgical Science and Practice, Royal College of Surgeons in Ireland, Dublin 2 D02 YN77, Ireland.

Department of General Surgery, Believers Church Medical College Hospital, Thiruvalla, Kerala 689103, India.

出版信息

J Surg Case Rep. 2023 Jun 27;2023(6):rjad373. doi: 10.1093/jscr/rjad373. eCollection 2023 Jun.

Abstract

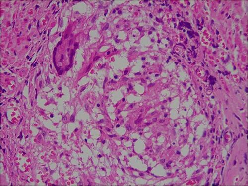
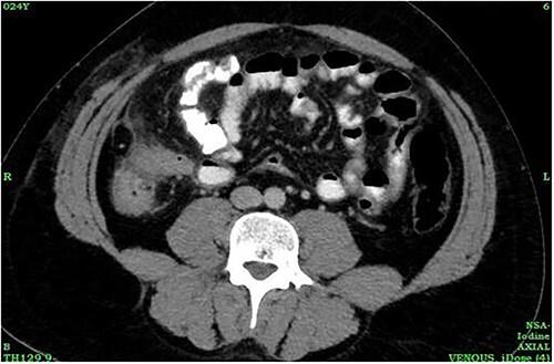
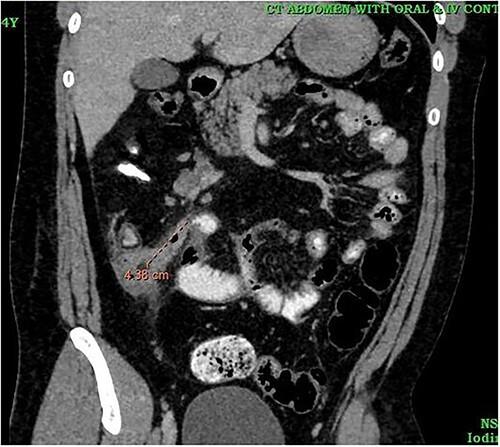
Tuberculosis (TB) remains as a significant global public health issue, especially in developing and underdeveloped nations. Extrapulmonary TB comprises 20% of the TB cases; of which 34.4% were in the lymphatics, 25.2% pleural, followed by 12.8% gastrointestinal and 9.4% in the central nervous system. Ileocecal involvement is the most common among gastrointestinal TB. Although it can cause secondary damage to the appendix, primary type of appendicular TB is rare and can occur with no other signs of the disease. A high index of suspicion is necessary for early diagnosis and treatment of TB. Similarly, stump appendicitis (SA) is a rare and delayed complication of appendectomy. Here we report a case of primary appendicular TB in a patient presented to a multi-specialty hospital in Kerala, India, with SA.

摘要

结核病(TB)仍然是一个重大的全球公共卫生问题,尤其是在发展中国家和不发达国家。肺外结核占结核病病例的20%;其中34.4%发生在淋巴管,25.2%在胸膜,其次是12.8%在胃肠道,9.4%在中枢神经系统。回盲部受累是胃肠道结核中最常见的。虽然它可导致阑尾继发性损害,但原发性阑尾结核很少见,且可在无其他疾病体征的情况下发生。对于结核病的早期诊断和治疗,高度的怀疑指数是必要的。同样,残端阑尾炎(SA)是阑尾切除术后一种罕见的延迟并发症。在此,我们报告一例原发性阑尾结核患者的病例,该患者在印度喀拉拉邦的一家多专科医院就诊,患有残端阑尾炎。

https://cdn.ncbi.nlm.nih.gov/pmc/blobs/5634/10299906/df821423e312/rjad373f1.jpg

相似文献

1
First case of primary appendiceal tuberculosis presented as stump appendicitis.
J Surg Case Rep. 2023 Jun 27;2023(6):rjad373. doi: 10.1093/jscr/rjad373. eCollection 2023 Jun.
2
[Acute perforated appendicitis secondary to tuberculosis as a cause of postpartum infection].
Rev Chilena Infectol. 2020 Apr;37(2):186-189. doi: 10.4067/s0716-10182020000200186.
3
Primary tuberculosis of the appendix: A common disease with rare location - a rare case report from rural India.
North Clin Istanb. 2020 Apr 13;7(3):298-301. doi: 10.14744/nci.2019.93797. eCollection 2020.
5
[A case of stump appendicitis after appendectomy].
Korean J Gastroenterol. 2008 Jan;51(1):45-7.
7
Stump appendicitis after laparoscopic appendectomy; laparoscopic management and literature review.
Int J Surg Case Rep. 2021 Jul;84:106156. doi: 10.1016/j.ijscr.2021.106156. Epub 2021 Jul 1.
8
High-volume center analysis and systematic review of stump appendicitis: solving the pending issue.
Eur J Trauma Emerg Surg. 2022 Jun;48(3):1663-1672. doi: 10.1007/s00068-021-01707-y. Epub 2021 Jun 3.
9
A rare clinical entity: stump appendicitis. Case report and complete review of literature.
Clin Ter. 2019 Nov-Dec;170(6):e409-e417. doi: 10.7417/CT.2019.2167.
10
Perforated tuberculous appendicitis: a rare case report.
Int Med Case Rep J. 2018 May 29;11:129-131. doi: 10.2147/IMCRJ.S158074. eCollection 2018.

引用本文的文献

1
A Rare Case of Tuberculosis Revealed by Acute Appendicitis: A Case Report.
Cureus. 2024 Jan 6;16(1):e51733. doi: 10.7759/cureus.51733. eCollection 2024 Jan.

本文引用的文献

1
WHO's Global Tuberculosis Report 2022.
Lancet Microbe. 2023 Jan;4(1):e20. doi: 10.1016/S2666-5247(22)00359-7. Epub 2022 Dec 12.
2
Tuberculous appendicitis: A review of reported cases over the past 10 years.
J Clin Tuberc Other Mycobact Dis. 2021 Mar 18;23:100228. doi: 10.1016/j.jctube.2021.100228. eCollection 2021 May.
3
Stump appendicitis: a retrospective review of 3130 consecutive appendectomy cases.
World J Emerg Surg. 2018 May 24;13:22. doi: 10.1186/s13017-018-0182-5. eCollection 2018.
4
Primary tuberculous appendicitis presented with caecal perforation: a case report.
Asian Pac J Trop Med. 2012 Oct;5(10):834-6. doi: 10.1016/S1995-7645(12)60154-0.
5
Tuberculous appendicitis.
Saudi J Gastroenterol. 2011 Jul-Aug;17(4):287-8. doi: 10.4103/1319-3767.82587.
6
TUBERCULOSIS OF THE APPENDIX.
Ann Surg. 1920 Feb;71(2):139-48. doi: 10.1097/00000658-192002000-00005.
7
TUBERCULOSIS OF THE APPENDIX.
Ann Surg. 1917 Dec;66(6):648-53. doi: 10.1097/00000658-191712000-00004.
8
Tubercular appendicitis--a case report.
World J Emerg Surg. 2006 Jul 26;1:22. doi: 10.1186/1749-7922-1-22.
10
Stump appendicitis.
Am Surg. 2000 Aug;66(8):739-41.

文献AI研究员

20分钟写一篇综述,助力文献阅读效率提升50倍。

立即体验

用中文搜PubMed

大模型驱动的PubMed中文搜索引擎

马上搜索

文档翻译

学术文献翻译模型,支持多种主流文档格式。

立即体验