• 文献检索
  • 文档翻译
  • 深度研究
  • 学术资讯
  • Suppr Zotero 插件Zotero 插件
  • 邀请有礼
  • 套餐&价格
  • 历史记录
应用&插件
Suppr Zotero 插件Zotero 插件浏览器插件Mac 客户端Windows 客户端微信小程序
定价
高级版会员购买积分包购买API积分包
服务
文献检索文档翻译深度研究API 文档MCP 服务
关于我们
关于 Suppr公司介绍联系我们用户协议隐私条款
关注我们

Suppr 超能文献

核心技术专利:CN118964589B侵权必究
粤ICP备2023148730 号-1Suppr @ 2026

文献检索

告别复杂PubMed语法,用中文像聊天一样搜索,搜遍4000万医学文献。AI智能推荐,让科研检索更轻松。

立即免费搜索

文件翻译

保留排版,准确专业,支持PDF/Word/PPT等文件格式,支持 12+语言互译。

免费翻译文档

深度研究

AI帮你快速写综述,25分钟生成高质量综述,智能提取关键信息,辅助科研写作。

立即免费体验

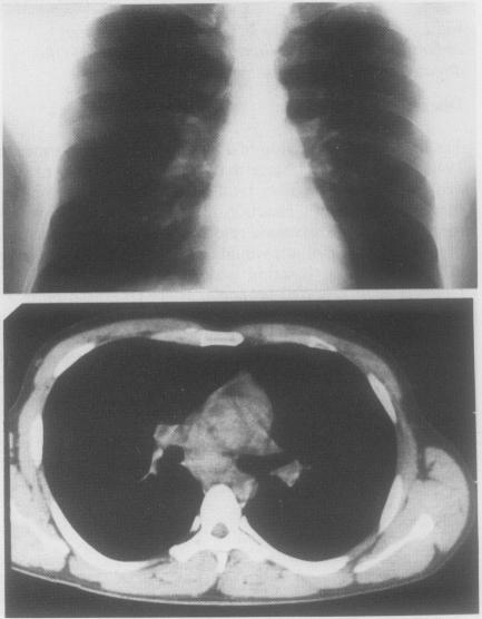
Diagnosis and treatment of a bronchogenic cyst using transbronchial needle aspiration.

作者信息

Schwartz A R, Fishman E K, Wang K P

出版信息

Thorax. 1986 Apr;41(4):326-7. doi: 10.1136/thx.41.4.326.

DOI:10.1136/thx.41.4.326
PMID:3738852
原文链接:https://pmc.ncbi.nlm.nih.gov/articles/PMC460320/
Abstract
摘要
https://cdn.ncbi.nlm.nih.gov/pmc/blobs/2183/460320/5ab1623572cc/thorax00244-0070-b.jpg
https://cdn.ncbi.nlm.nih.gov/pmc/blobs/2183/460320/75a696988c40/thorax00244-0070-a.jpg
https://cdn.ncbi.nlm.nih.gov/pmc/blobs/2183/460320/5ab1623572cc/thorax00244-0070-b.jpg
https://cdn.ncbi.nlm.nih.gov/pmc/blobs/2183/460320/75a696988c40/thorax00244-0070-a.jpg
https://cdn.ncbi.nlm.nih.gov/pmc/blobs/2183/460320/5ab1623572cc/thorax00244-0070-b.jpg

相似文献

1
Diagnosis and treatment of a bronchogenic cyst using transbronchial needle aspiration.经支气管针吸活检术诊断和治疗支气管源性囊肿
Thorax. 1986 Apr;41(4):326-7. doi: 10.1136/thx.41.4.326.
2
Mediastinal cysts: diagnosis by CT and needle aspiration.
AJR Am J Roentgenol. 1988 Jan;150(1):75-8. doi: 10.2214/ajr.150.1.75.
3
Mediastinal bronchogenic cyst's recurrence treated with EBUS-FNA with a long-term follow-up.经支气管超声引导针吸活检术治疗纵隔支气管源性囊肿复发并长期随访
Eur J Cardiothorac Surg. 2006 Apr;29(4):627-9; discussion 629. doi: 10.1016/j.ejcts.2005.12.052. Epub 2006 Feb 14.
4
Foregut cyst of the mediastinum: fluid re-accumulation after transbronchial needle aspiration.纵隔前肠囊肿:经支气管针吸术后液体再积聚
Br J Radiol. 1989 Jun;62(738):558-60. doi: 10.1259/0007-1285-62-738-558.
5
Mediastinal duplication cyst. Percutaneous aspiration and cystography for diagnosis and treatment.纵隔重复囊肿。经皮穿刺抽吸及囊肿造影用于诊断和治疗。
Chest. 1986 Nov;90(5):772-3. doi: 10.1378/chest.90.5.772.
6
Fine needle mediastinal cyst aspiration--a new therapeutic approach.细针纵隔囊肿抽吸术——一种新的治疗方法。
Br J Radiol. 1985 Jul;58(691):679-81. doi: 10.1259/0007-1285-58-691-679.
7
Mediastinal bronchogenic cyst treated by mediastinoscopic drainage.经纵隔镜引流治疗的纵隔支气管源性囊肿
Surg Endosc. 2003 Dec;17(12):2028-31. doi: 10.1007/s00464-003-4207-z. Epub 2003 Oct 28.
8
Transbronchial fine needle aspiration of bronchogenic cysts.
Chest. 1985 Oct;88(4):573-5. doi: 10.1378/chest.88.4.573.
9
Radiograph of the month. Mediastinal bronchogenic cyst.
Del Med J. 1993 Jun;65(6):381-2.
10
Intrapericardial bronchogenic cyst: CT and MR demonstration.心包内支气管源性囊肿:CT与MR表现
Eur J Radiol. 1992 Jul-Aug;15(1):4-6. doi: 10.1016/0720-048x(92)90192-c.

引用本文的文献

1
Conventional transbronchial needle aspiration in community practice.社区医疗实践中的传统经支气管针吸活检术。
J Thorac Dis. 2015 Dec;7(Suppl 4):S256-65. doi: 10.3978/j.issn.2072-1439.2015.11.54.
2
Use of ultrasound-guided percutaneous needle biopsy in the diagnosis of mediastinal tumors.超声引导下经皮穿刺针吸活检在纵隔肿瘤诊断中的应用。
Surg Today. 1996;26(12):990-2. doi: 10.1007/BF00309959.
3
Transcarinal needle aspiration in the diagnosis of mediastinal adenitis in a patient infected with the human immunodeficiency virus.

本文引用的文献

1
Bronchiogenic Cysts of the Mediastinum.纵隔支气管源性囊肿
Ann Surg. 1948 Mar;127(3):476-502. doi: 10.1097/00000658-194803000-00010.
2
Mediastinal carinal bronchogenic cysts.纵隔气管旁支气管囊肿
Radiology. 1956 Sep;67(3):391-5. doi: 10.1148/67.3.391.
3
Transbronchial needle aspiration in the diagnosis and staging of bronchogenic carcinoma.经支气管针吸活检术在支气管源性癌诊断及分期中的应用
经气管针吸活检术在诊断人类免疫缺陷病毒感染患者纵隔炎中的应用
Thorax. 1990 May;45(5):414-5. doi: 10.1136/thx.45.5.414.
Am Rev Respir Dis. 1983 Mar;127(3):344-7. doi: 10.1164/arrd.1983.127.3.344.
4
Flexible transbronchial needle aspiration. Technical considerations.
Ann Otol Rhinol Laryngol. 1984 May-Jun;93(3 Pt 1):233-6. doi: 10.1177/000348948409300309.
5
Transbronchial needle aspiration of a mediastinal mass: therapeutic implications.经支气管针吸纵隔肿物:治疗意义
Thorax. 1983 Jul;38(7):556-7. doi: 10.1136/thx.38.7.556.
6
The role of transcarinal needle aspiration in the staging of bronchogenic carcinoma.经隆突针吸活检在支气管源性癌分期中的作用。
Chest. 1984 Nov;86(5):693-6. doi: 10.1378/chest.86.5.693.
7
Cystic intrathoracic derivatives of the foregut and their complications.前肠的胸腔内囊性衍生物及其并发症。
Thorax. 1973 Jul;28(4):424-8. doi: 10.1136/thx.28.4.424.