Hardison Edward H, Sunthankar Sudeep D, Chew Joshua D, Weiner Jeffrey G
Department of Internal Medicine and Pediatrics, Vanderbilt University Medical Center, Nashville, Tennessee.
Division of Pediatric Cardiology, Department of Pediatrics, Monroe Carrell Jr. Children's Hospital at Vanderbilt, Nashville, Tennessee.
CASE (Phila). 2023 Apr 18;7(6):250-253. doi: 10.1016/j.case.2023.02.006. eCollection 2023 Jun.
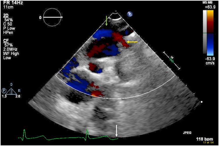
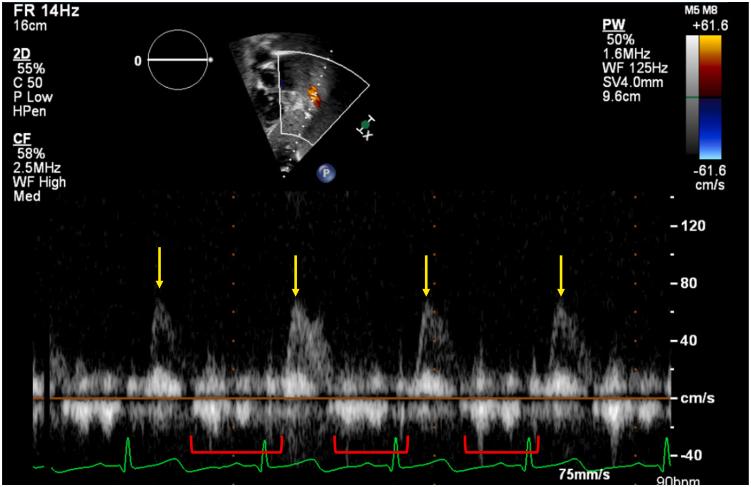
• Most AVFs present with a continuous murmur with radiation to the back. • There is little evidence to guide management of thoracic AVF. • Management options include surgical repair, embolization, or conservative management. • Conservative management is a reasonable approach in asymptomatic patients.