Suppr超能文献

体外膜肺氧合作为麻醉后监护病房中负压性肺水肿的急性抢救治疗:一例报告

Extracorporeal membrane oxygenation as acute rescue therapy for negative pressure pulmonary edema in the post anesthesia care unit: A case report.

作者信息

Augustin Katrina J, Creel-Bulos Christina M, Budhrani Gaurav F, Miller Casey F, Fiza Babar

机构信息

Department of Anesthesiology, Division of Critical Care Medicine Emory University Atlanta Georgia USA.

Department of Emergency Medicine Emory University Atlanta Georgia USA.

出版信息

Clin Case Rep. 2023 Jun 30;11(7):e7606. doi: 10.1002/ccr3.7606. eCollection 2023 Jul.

Abstract

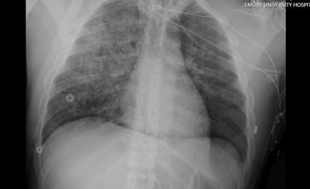
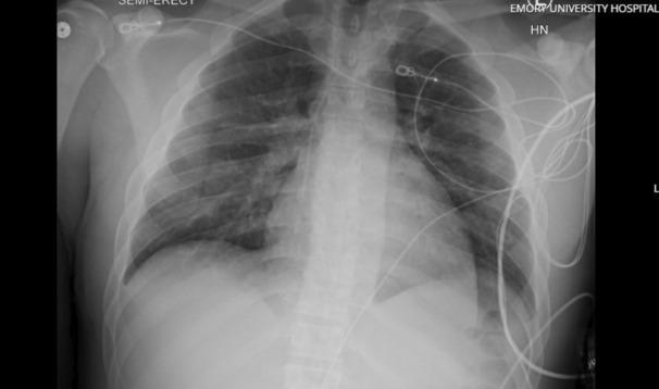
Negative pressure pulmonary edema (NPPE) may result in respiratory failure refractory to conventional management strategies. Venovenous extracorporeal membrane oxygenation (VV ECMO) can serve as a rescue therapy in cases of severe respiratory failure. Rapid initiation of VV ECMO can decrease morbidity and mortality while facilitating early liberation from mechanical ventilation and promoting early rehabilitation. We describe the successful utilization of VV ECMO as rescue therapy for severe NPPE-induced hypoxic respiratory failure and peri-arrest state in the postanesthesia care unit (PACU) in a patient with postextubation airway obstruction after undergoing patellar tendon repair.

摘要

负压性肺水肿(NPPE)可能导致对传统治疗策略无效的呼吸衰竭。静脉-静脉体外膜肺氧合(VV ECMO)可作为严重呼吸衰竭病例的一种挽救治疗方法。快速启动VV ECMO可降低发病率和死亡率,同时有助于早期脱离机械通气并促进早期康复。我们描述了在一名接受髌腱修复术后拔管后气道梗阻的患者中,成功将VV ECMO用作麻醉后护理单元(PACU)中严重NPPE引起的低氧性呼吸衰竭和濒死状态的挽救治疗方法。

https://cdn.ncbi.nlm.nih.gov/pmc/blobs/c342/10314190/3855e175ee07/CCR3-11-e7606-g002.jpg

文献AI研究员

20分钟写一篇综述,助力文献阅读效率提升50倍。

立即体验

用中文搜PubMed

大模型驱动的PubMed中文搜索引擎

马上搜索

文档翻译

学术文献翻译模型,支持多种主流文档格式。

立即体验