Suppr超能文献

一名29岁男性患者的肝内胆管癌伴肺转移:病例报告

Intrahepatic Cholangiocarcinoma With Lung Metastasis in a 29-Year-Old Male Patient: A Case Report.

作者信息

Calle Prado Marco A, Casanova Rivera Maria F, Vasquez Cedeño Diego A

机构信息

Faculty of Medicine, Universidad Católica de Santiago de Guayaquil, Guayaquil, ECU.

出版信息

Cureus. 2023 May 31;15(5):e39787. doi: 10.7759/cureus.39787. eCollection 2023 May.

Abstract

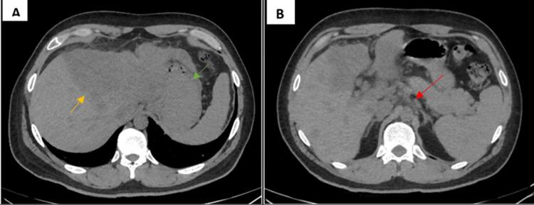
Cholangiocarcinoma (CCA) is an uncommon biliary neoplasm that is more frequent in male patients. CCA is categorized into intrahepatic cholangiocarcinoma (iCCA) and extrahepatic cholangiocarcinoma (eCCA) associated with the anatomical origin location. The clinical presentation is non-specific and varies depending on the origin, iCCA is generally asymptomatic until advanced disease is present therefore this neoplasm presents a poor prognosis with a survival rate of two years. We present a case of iCCA with lung metastasis in a 29-year-old male patient with no risk factors for this malignancy.

摘要

胆管癌(CCA)是一种不常见的胆道肿瘤,在男性患者中更为常见。CCA根据解剖学起源部位分为肝内胆管癌(iCCA)和肝外胆管癌(eCCA)。其临床表现不具有特异性,且因起源部位而异,iCCA在疾病进展之前通常无症状,因此这种肿瘤预后较差,生存率为两年。我们报告一例29岁男性iCCA伴肺转移的病例,该患者无此恶性肿瘤的危险因素。

https://cdn.ncbi.nlm.nih.gov/pmc/blobs/cd1d/10313214/fc6956aa647c/cureus-0015-00000039787-i01.jpg

文献AI研究员

20分钟写一篇综述,助力文献阅读效率提升50倍。

立即体验

用中文搜PubMed

大模型驱动的PubMed中文搜索引擎

马上搜索

文档翻译

学术文献翻译模型,支持多种主流文档格式。

立即体验