Abdelsalam Ahmed, Ramsay Ian A, Ehiemua Uche, Thompson John W, Fountain Hayes B, Eatz Tiffany, Wu Eva M, Bhatia Rita G, Lam Byron L, Tse David T, Starke Robert M
Department of Neurological Surgery, University of Miami Health System, Miami, United States.
Department of Radiology, University of Miami Health System, Miami, United States.
Surg Neurol Int. 2023 Jun 2;14:186. doi: 10.25259/SNI_236_2023. eCollection 2023.
Orbital varices are rare, accounting for only 0-1.3% of orbital masses. They can be found incidentally or cause mild to serious sequelae, including hemorrhage and optic nerve compression.
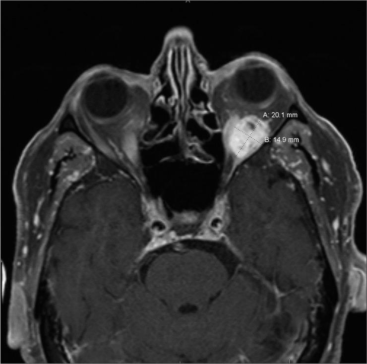
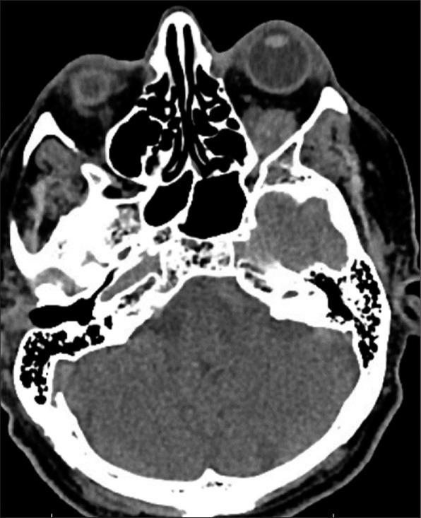
We report a case of a 74-year-old male with progressively painful unilateral proptosis. Imaging revealed the presence of an orbital mass compatible with a thrombosed orbital varix of the inferior ophthalmic vein in the left inferior intraconal space. The patient was medically managed. On a follow-up outpatient clinic visit, he demonstrated remarkable clinical recovery and denied experiencing any symptoms. Follow-up computed tomography scan showed a stable mass with decreased proptosis in the left orbit consistent with the previously diagnosed orbital varix. One-year follow-up orbital magnetic resonance imaging without contrast showed slight increase in the intraconal mass.
An orbital varix may present with mild to severe symptoms and management, depending on case severity, ranges from medical treatment to escalated surgical innervation. Our case is one of few progressive unilateral proptosis caused by a thrombosed varix of the inferior ophthalmic vein described in the literature. We encourage further investigation into the causes and epidemiology of orbital varices.
眼眶静脉曲张较为罕见,仅占眼眶肿物的0 - 1.3%。它们可能偶然被发现,也可能导致从轻到重的一系列后果,包括出血和视神经受压。
我们报告一例74岁男性,患有进行性疼痛性单侧眼球突出。影像学检查显示在左眼眶锥内下间隙存在一个与眼静脉血栓形成的眼眶静脉曲张相符的眼眶肿物。该患者接受了药物治疗。在门诊随访时,他临床恢复显著,否认有任何症状。随访计算机断层扫描显示肿块稳定,左眼眶眼球突出减轻,与先前诊断的眼眶静脉曲张相符。一年的无对比剂眼眶磁共振成像显示锥内肿物略有增大。
眼眶静脉曲张可能表现出从轻到重的症状,治疗方法根据病例严重程度而异,从药物治疗到更积极的手术干预不等。我们的病例是文献中少数由眼静脉血栓形成导致进行性单侧眼球突出的病例之一。我们鼓励对眼眶静脉曲张的病因和流行病学进行进一步研究。